Suppr超能文献

青少年亚急性骨髓炎的一种罕见病原体:粘质沙雷氏菌。

A rare pathogen for subacute osteomyelitis in adolescent: Serratia marcescens.

作者信息

Turgut Necmettin, Akgul Turgut, Arzu Ufuk, Batıbay Sefa Giray, Ekinci Mehmet, Şen Cengiz, Korkmaz Murat

机构信息

İstanbul University İstanbul Medicine Faculty Orthopaedics and Traumatology Department, Millet Caddesi. Çapa, Fatih/İstanbul, Turkey.

出版信息

Int J Surg Case Rep. 2015;8C:171-4. doi: 10.1016/j.ijscr.2014.11.044. Epub 2014 Nov 18.

Abstract

INTRODUCTION

There are various pathogens reported for osteomyelitis. Osteomyelitis is bone infection which produces pain and fever, also threatens bone instability. It can lead to nonunion. The purpose of this report was to describe a case with union delay of the tibia due to serratia marcescens osteomyelitis. Serratia marcescens is an unexpected pathogen for subacute osteomyelitis in adolescence. Because of difficulty of diagnosis, treatment can be delayed or the situation can cause complications like nonunion or loss of function.

PRESENTATION OF CASE

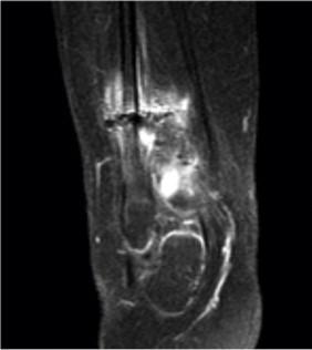
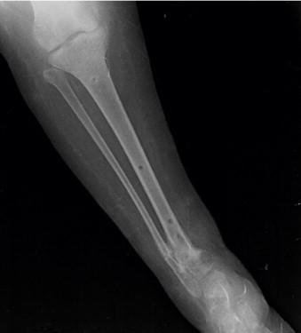
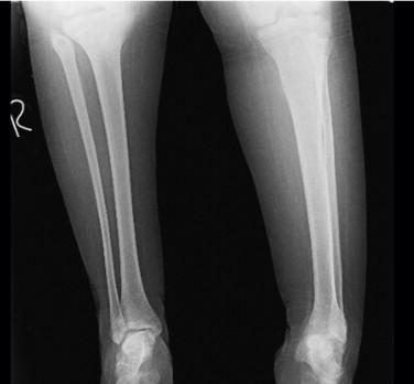
Serratia marcescens is an unexpected pathogen for subacute osteomyelitis in adolescence. Because of difficulty of diagnosis, treatment can be delayed or cause complications like nonunion or loss of function. We present a meningomyelocele female adolescent operated with distal tibia varus osteotomy for correcting ankle valgus deformity. Insufficient healing was determined at osteotomy side on radiographs. The patient's erythrocyte sedimentation rate and CRP level was slightly higher with minimal clinical inflammation. MRI examination showed abscess formation at T2 imaging. Debridement, grafting and circular external fixation was performed. Sulperazon was started for drug therapy. Union was achieved after compression and distraction osteogenesis by circular external fixator. Orthopedic surgeons should be aware of opportunistic infections like serratia and keep in mind as a probable cause of disease.

DISCUSSION

Osteomyelitis is one of our main problems in orthopedics. Serratia does not come to mind as a causative factor when we learn the patient has osteomyelitis. We give treatment for the most expected pathogens like staphylococcus species firstly. This shows us the importance of bone biopsies and wound culture tests. Presented case is diagnosed as serratia osteomyelitis after culture results and given treatment with antibiotics and debridement.

CONCLUSION

Orthopedic surgeons should be aware of opportunistic infections like serratia and keep in mind when diagnosing the unexpected problem.

摘要

引言

有多种病原体被报道可引起骨髓炎。骨髓炎是一种骨感染,会产生疼痛和发热,还会威胁到骨骼的稳定性,可导致骨不连。本报告的目的是描述一例因粘质沙雷氏菌骨髓炎导致胫骨愈合延迟的病例。粘质沙雷氏菌是青少年亚急性骨髓炎中一种意想不到的病原体。由于诊断困难,治疗可能会延迟,或者这种情况可能导致诸如骨不连或功能丧失等并发症。

病例介绍

粘质沙雷氏菌是青少年亚急性骨髓炎中一种意想不到的病原体。由于诊断困难,治疗可能会延迟或导致诸如骨不连或功能丧失等并发症。我们报告一名患有脊髓脊膜膨出的女性青少年,她接受了胫骨远端内翻截骨术以纠正踝外翻畸形。X线片显示截骨部位愈合不佳。患者的红细胞沉降率和CRP水平略有升高,临床炎症轻微。MRI检查在T2成像上显示有脓肿形成。进行了清创、植骨和环形外固定。开始使用舒普深进行药物治疗。通过环形外固定器进行加压和牵张成骨后实现了骨愈合。骨科医生应意识到像粘质沙雷氏菌这样的机会性感染,并将其作为可能的病因牢记在心。

讨论

骨髓炎是骨科的主要问题之一。当得知患者患有骨髓炎时,我们通常不会首先想到粘质沙雷氏菌是致病因素。我们首先针对最常见的病原体如葡萄球菌属进行治疗。这表明了骨活检和伤口培养检查的重要性。本病例经培养结果诊断为粘质沙雷氏菌骨髓炎,并给予抗生素和清创治疗。

结论

骨科医生应意识到像粘质沙雷氏菌这样的机会性感染,并在诊断意外问题时牢记在心。

https://cdn.ncbi.nlm.nih.gov/pmc/blobs/9199/4353985/526958a65726/gr1.jpg

文献AI研究员

20分钟写一篇综述,助力文献阅读效率提升50倍。

立即体验

用中文搜PubMed

大模型驱动的PubMed中文搜索引擎

马上搜索

文档翻译

学术文献翻译模型,支持多种主流文档格式。

立即体验