• 文献检索
  • 文档翻译
  • 深度研究
  • 学术资讯
  • Suppr Zotero 插件Zotero 插件
  • 邀请有礼
  • 套餐&价格
  • 历史记录
应用&插件
Suppr Zotero 插件Zotero 插件浏览器插件Mac 客户端Windows 客户端微信小程序
定价
高级版会员购买积分包购买API积分包
服务
文献检索文档翻译深度研究API 文档MCP 服务
关于我们
关于 Suppr公司介绍联系我们用户协议隐私条款
关注我们

Suppr 超能文献

核心技术专利:CN118964589B侵权必究
粤ICP备2023148730 号-1Suppr @ 2026

文献检索

告别复杂PubMed语法,用中文像聊天一样搜索,搜遍4000万医学文献。AI智能推荐,让科研检索更轻松。

立即免费搜索

文件翻译

保留排版,准确专业,支持PDF/Word/PPT等文件格式,支持 12+语言互译。

免费翻译文档

深度研究

AI帮你快速写综述,25分钟生成高质量综述,智能提取关键信息,辅助科研写作。

立即免费体验

后肾腺瘤的影像学特征:一例病例报告及文献复习

The imaging features of metanephric adenoma: a case report and review of literature.

作者信息

Hu Yu-Chuan, Wu Lang, Yan Lin-Feng, Zhang Wei, Cui Guang-Bin

机构信息

Department of Radiology, Tangdu Hospital, the Fourth Military Medical University, Xi'an, People's Republic of China.

Center for Clinical and Translational Science, Mayo Clinic, Rochester, MN, USA.

出版信息

Onco Targets Ther. 2015 Feb 13;8:445-9. doi: 10.2147/OTT.S68819. eCollection 2015.

DOI:10.2147/OTT.S68819
PMID:25709478
原文链接:https://pmc.ncbi.nlm.nih.gov/articles/PMC4335625/
Abstract

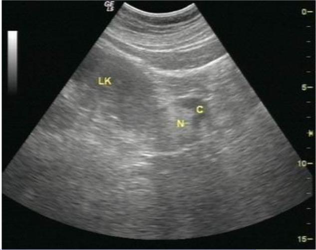
Metanephric adenoma (MA) is a rare epithelial tumor of the kidney with a characteristic histology. To date, the imaging features of the tumor have not been clearly described. Until now, MA was considered to be benign, but the majority of MA cases underwent nephrectomy. Here, we report a case of MA confirmed by surgical pathology, and we will analyze the ultrasound and computed tomography findings. The radiological features of MA are presented along with a brief review of the pertinent literature to deepen the understanding of MA's imaging features.

摘要

后肾腺瘤(MA)是一种罕见的具有特征性组织学表现的肾脏上皮性肿瘤。迄今为止,该肿瘤的影像学特征尚未得到明确描述。在此之前,MA被认为是良性的,但大多数MA病例都接受了肾切除术。在此,我们报告一例经手术病理证实的MA病例,并分析其超声和计算机断层扫描结果。本文展示了MA的影像学特征,并对相关文献进行简要回顾,以加深对MA影像学特征的理解。

https://cdn.ncbi.nlm.nih.gov/pmc/blobs/6e0a/4335625/3be90a775552/ott-8-445Fig3.jpg
https://cdn.ncbi.nlm.nih.gov/pmc/blobs/6e0a/4335625/64d071ff5cbf/ott-8-445Fig1.jpg
https://cdn.ncbi.nlm.nih.gov/pmc/blobs/6e0a/4335625/f1f5fe31e7f5/ott-8-445Fig2.jpg
https://cdn.ncbi.nlm.nih.gov/pmc/blobs/6e0a/4335625/3be90a775552/ott-8-445Fig3.jpg
https://cdn.ncbi.nlm.nih.gov/pmc/blobs/6e0a/4335625/64d071ff5cbf/ott-8-445Fig1.jpg
https://cdn.ncbi.nlm.nih.gov/pmc/blobs/6e0a/4335625/f1f5fe31e7f5/ott-8-445Fig2.jpg
https://cdn.ncbi.nlm.nih.gov/pmc/blobs/6e0a/4335625/3be90a775552/ott-8-445Fig3.jpg

相似文献

1
The imaging features of metanephric adenoma: a case report and review of literature.后肾腺瘤的影像学特征:一例病例报告及文献复习
Onco Targets Ther. 2015 Feb 13;8:445-9. doi: 10.2147/OTT.S68819. eCollection 2015.
2
Metanephric Adenoma in the Pediatric Population: Diagnostic Challenges and Follow-up.儿童人群中的后肾腺瘤:诊断挑战与随访
Urology. 2018 Oct;120:211-215. doi: 10.1016/j.urology.2018.06.042. Epub 2018 Jul 10.
3
Metanephric adenoma of the kidney: a case report.肾后肾腺瘤:一例报告
Pediatr Radiol. 1999 Feb;29(2):100-3. doi: 10.1007/s002470050550.
4
Metanephric adenoma in an 8-year-old child: case report and review of the literature.一名8岁儿童的后肾腺瘤:病例报告及文献复习
J Pediatr Surg. 2005 May;40(5):e25-8. doi: 10.1016/j.jpedsurg.2005.02.019.
5
Metanephric adenoma: A report of two cases and review of the literature.后肾腺瘤:两例报告并文献复习
Mol Clin Oncol. 2013 Nov;1(6):1087-1089. doi: 10.3892/mco.2013.184. Epub 2013 Sep 13.
6
The findings of CT and MRI in patients with metanephric adenoma.后肾腺瘤患者的CT和MRI检查结果。
Diagn Pathol. 2016 Oct 27;11(1):104. doi: 10.1186/s13000-016-0535-x.
7
Cytologic features of metanephric adenoma of the kidney: case report and review of the literature.肾后肾腺瘤的细胞学特征:病例报告及文献复习
Lab Med. 2015 Spring;46(2):153-8; quiz e30. doi: 10.1309/LMW2MHDM6EILGQH2.
8
Correlation of radiological and clinical features of metanephric neoplasms in adults.成人后肾肿瘤的影像学与临床特征的相关性
Indian J Cancer. 2004 Jan-Mar;41(1):37-40.
9
CT features of metanephric adenoma: a case report and review of the literature.后肾腺瘤的 CT 特征:病例报告及文献复习。
Quant Imaging Med Surg. 2014 Dec;4(6):505-8. doi: 10.3978/j.issn.2223-4292.2014.07.04.
10
CT and ultrasound findings of metanephric adenoma: a report of two cases and literature review.后肾腺瘤的 CT 和超声表现:两例报告并文献复习。
Br J Radiol. 2011 Mar;84(999):e51-4. doi: 10.1259/bjr/62994226.

引用本文的文献

1
Metanephric Adenoma: A Case Report of a Rare Epithelial Renal Tumor.后肾腺瘤:一例罕见的肾上皮性肿瘤病例报告
Cureus. 2024 Apr 18;16(4):e58545. doi: 10.7759/cureus.58545. eCollection 2024 Apr.
2
Case Report: MRI, CEUS, and CT Imaging Features of Metanephric Adenoma with Histopathological Correlation and Literature Review.病例报告:后肾腺瘤的MRI、CEUS及CT影像特征与组织病理学对照及文献复习
Diagnostics (Basel). 2022 Aug 26;12(9):2071. doi: 10.3390/diagnostics12092071.
3
Experience of diagnosis and management of metanephric adenoma: retrospectively analysis of 10 cases and a literature review.

本文引用的文献

1
Human umbilical cord blood-derived mesenchymal stem cells producing IL15 eradicate established pancreatic tumor in syngeneic mice.产生白细胞介素-15的人脐带血间充质干细胞可根除同基因小鼠体内已形成的胰腺肿瘤。
Mol Cancer Ther. 2014 Aug;13(8):2127-37. doi: 10.1158/1535-7163.MCT-14-0175. Epub 2014 Jun 13.
2
Parity and pancreatic cancer risk: a dose-response meta-analysis of epidemiologic studies.生育状况与胰腺癌风险:流行病学研究的剂量反应荟萃分析
PLoS One. 2014 Mar 21;9(3):e92738. doi: 10.1371/journal.pone.0092738. eCollection 2014.
3
Variants associated with susceptibility to pancreatic cancer and melanoma do not reciprocally affect risk.
后肾腺瘤的诊断与治疗经验:10例回顾性分析并文献复习
Transl Androl Urol. 2020 Aug;9(4):1661-1669. doi: 10.21037/tau-19-912.
4
Renal Tumors of Childhood: Radiologic-Pathologic Correlation Part 2. The 2nd Decade: From the Radiologic Pathology Archives.儿童肾肿瘤:放射学与病理学对照 第2部分。第二个十年:来自放射病理学档案
Radiographics. 2017 Sep-Oct;37(5):1538-1558. doi: 10.1148/rg.2017160189.
与胰腺癌和黑色素瘤易感性相关的变异不会相互影响风险。
Cancer Epidemiol Biomarkers Prev. 2014 Jun;23(6):1121-4. doi: 10.1158/1055-9965.EPI-13-0627. Epub 2014 Mar 18.
4
Metanephric Adenoma: clinical, imaging, and Histological findings.后肾腺瘤:临床、影像学及组织学表现
Clinics (Sao Paulo). 2011;66(2):359-61. doi: 10.1590/s1807-59322011000200030.
5
CT and ultrasound findings of metanephric adenoma: a report of two cases and literature review.后肾腺瘤的 CT 和超声表现:两例报告并文献复习。
Br J Radiol. 2011 Mar;84(999):e51-4. doi: 10.1259/bjr/62994226.
6
Global cancer statistics.全球癌症统计数据。
CA Cancer J Clin. 2011 Mar-Apr;61(2):69-90. doi: 10.3322/caac.20107. Epub 2011 Feb 4.
7
Conservative treatment of metanephric adenoma. A case report and review of the literature.保守治疗后肾腺瘤。病例报告及文献复习。
J Pediatr Urol. 2011 Aug;7(4):399-403. doi: 10.1016/j.jpurol.2010.09.010. Epub 2011 Jan 8.
8
Local resection of metanephric adenoma with kidney preservation.保留肾脏的后肾腺瘤局部切除术。
J Pediatr Surg. 2009 Aug;44(8):E21-3. doi: 10.1016/j.jpedsurg.2009.05.028.
9
Metanephric adenoma: a rare differential diagnosis of renal tumor in children.
J Pediatr Urol. 2007 Aug;3(4):340-1. doi: 10.1016/j.jpurol.2006.10.003. Epub 2006 Nov 28.
10
Reninoma: case report and literature review.肾素瘤:病例报告及文献综述
J Hypertens. 2008 Feb;26(2):368-73. doi: 10.1097/HJH.0b013e3282f283f3.