Suppr超能文献

一种新型的布氏嗜碘吸虫的细菌病原体:一种控制血吸虫病的潜在武器?

A novel bacterial pathogen of Biomphalaria glabrata: a potential weapon for schistosomiasis control?

机构信息

CNRS, UMR 5244, Ecologie et Evolution des Interactions (2EI), Perpignan, France; Université de Perpignan Via Domitia, Perpignan, France.

CNRS, UMR 5244, Ecologie et Evolution des Interactions (2EI), Perpignan, France; Laboratoire de Chimie des Biomolécules et de l'Environnement (LCBE, EA 4215), Perpignan, France.

出版信息

PLoS Negl Trop Dis. 2015 Feb 26;9(2):e0003489. doi: 10.1371/journal.pntd.0003489. eCollection 2015 Feb.

Abstract

BACKGROUND

Schistosomiasis is the second-most widespread tropical parasitic disease after malaria. Various research strategies and treatment programs for achieving the objective of eradicating schistosomiasis within a decade have been recommended and supported by the World Health Organization. One of these approaches is based on the control of snail vectors in endemic areas. Previous field studies have shown that competitor or predator introduction can reduce snail numbers, but no systematic investigation has ever been conducted to identify snail microbial pathogens and evaluate their molluscicidal effects.

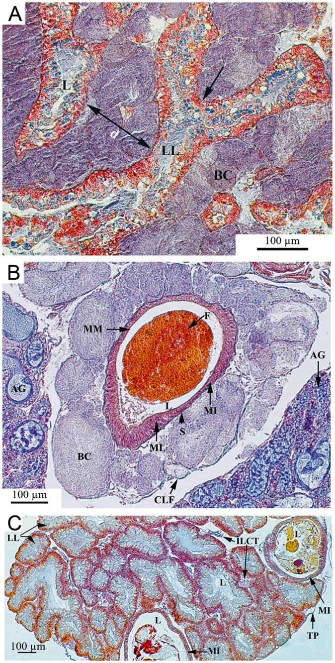
METHODOLOGY/PRINCIPAL FINDINGS: In populations of Biomphalaria glabrata snails experiencing high mortalities, white nodules were visible on snail bodies. Infectious agents were isolated from such nodules. Only one type of bacteria, identified as a new species of Paenibacillus named Candidatus Paenibacillus glabratella, was found, and was shown to be closely related to P. alvei through 16S and Rpob DNA analysis. Histopathological examination showed extensive bacterial infiltration leading to overall tissue disorganization. Exposure of healthy snails to Paenibacillus-infected snails caused massive mortality. Moreover, eggs laid by infected snails were also infected, decreasing hatching but without apparent effects on spawning. Embryonic lethality was correlated with the presence of pathogenic bacteria in eggs.

CONCLUSIONS/SIGNIFICANCE: This is the first account of a novel Paenibacillus strain, Ca. Paenibacillus glabratella, as a snail microbial pathogen. Since this strain affects both adult and embryonic stages and causes significant mortality, it may hold promise as a biocontrol agent to limit schistosomiasis transmission in the field.

摘要

背景

血吸虫病是继疟疾之后第二大流行的热带寄生虫病。世界卫生组织推荐并支持了各种旨在实现十年内消灭血吸虫病目标的研究策略和治疗方案。其中一种方法是基于控制流行地区的钉螺媒介。先前的实地研究表明,引入竞争者或捕食者可以减少蜗牛的数量,但从未进行过系统的调查来确定蜗牛微生物病原体并评估其灭螺效果。

方法/主要发现:在死亡率较高的光滑双脐螺种群中,蜗牛体上可见白色结节。从这些结节中分离出了感染因子。只发现了一种细菌,被鉴定为一种名为候选芽孢杆菌光滑亚种(Caenibacillus glabratella)的新物种,通过 16S 和 Rpob DNA 分析表明,它与 P. alvei 密切相关。组织病理学检查显示广泛的细菌渗透导致组织整体紊乱。将健康蜗牛暴露于感染了芽孢杆菌的蜗牛中会导致大量死亡。此外,受感染蜗牛产下的卵也受到感染,孵化率降低,但对产卵没有明显影响。胚胎致死性与卵中存在致病性细菌有关。

结论/意义:这是首例报道的新型芽孢杆菌菌株,候选芽孢杆菌光滑亚种(Ca. Paenibacillus glabratella)作为一种蜗牛微生物病原体。由于该菌株同时影响成虫和胚胎阶段,并导致显著的死亡率,因此它可能有望成为一种生物控制剂,以限制现场血吸虫病的传播。

https://cdn.ncbi.nlm.nih.gov/pmc/blobs/b842/4342248/b9ea3ad59d96/pntd.0003489.g001.jpg

文献AI研究员

20分钟写一篇综述,助力文献阅读效率提升50倍。

立即体验

用中文搜PubMed

大模型驱动的PubMed中文搜索引擎

马上搜索

文档翻译

学术文献翻译模型,支持多种主流文档格式。

立即体验