Suppr超能文献

肝细胞特异性Cyp51基因敲除小鼠的研究教训:胆固醇合成受损导致卵圆细胞驱动的肝损伤。

Lessons from hepatocyte-specific Cyp51 knockout mice: impaired cholesterol synthesis leads to oval cell-driven liver injury.

作者信息

Lorbek Gregor, Perše Martina, Jeruc Jera, Juvan Peter, Gutierrez-Mariscal Francisco M, Lewinska Monika, Gebhardt Rolf, Keber Rok, Horvat Simon, Björkhem Ingemar, Rozman Damjana

机构信息

Centre for Functional Genomics and Bio-Chips, Institute of Biochemistry, Faculty of Medicine, University of Ljubljana, Ljubljana, Slovenia.

Medical Experimental Centre, Institute of Pathology, Faculty of Medicine, University of Ljubljana, Ljubljana, Slovenia.

出版信息

Sci Rep. 2015 Mar 5;5:8777. doi: 10.1038/srep08777.

Abstract

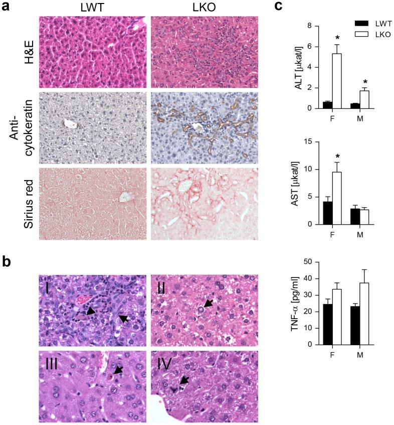
We demonstrate unequivocally that defective cholesterol synthesis is an independent determinant of liver inflammation and fibrosis. We prepared a mouse hepatocyte-specific knockout (LKO) of lanosterol 14α-demethylase (CYP51) from the part of cholesterol synthesis that is already committed to cholesterol. LKO mice developed hepatomegaly with oval cell proliferation, fibrosis and inflammation, but without steatosis. The key trigger was reduced cholesterol esters that provoked cell cycle arrest, senescence-associated secretory phenotype and ultimately the oval cell response, while elevated CYP51 substrates promoted the integrated stress response. In spite of the oval cell-driven fibrosis being histologically similar in both sexes, data indicates a female-biased down-regulation of primary metabolism pathways and a stronger immune response in males. Liver injury was ameliorated by dietary fats predominantly in females, whereas dietary cholesterol rectified fibrosis in both sexes. Our data place defective cholesterol synthesis as a focus of sex-dependent liver pathologies.

摘要

我们明确证明,胆固醇合成缺陷是肝脏炎症和纤维化的独立决定因素。我们制备了一种小鼠肝细胞特异性敲除(LKO)模型,敲除了胆固醇合成中已确定用于合成胆固醇部分的羊毛甾醇14α-去甲基酶(CYP51)。LKO小鼠出现了肝肿大,并伴有卵圆细胞增殖、纤维化和炎症,但无脂肪变性。关键触发因素是胆固醇酯减少,这引发了细胞周期停滞、衰老相关分泌表型,最终导致卵圆细胞反应,而CYP51底物升高则促进了综合应激反应。尽管卵圆细胞驱动的纤维化在两性中组织学上相似,但数据表明,初级代谢途径在女性中存在偏向性下调,而男性的免疫反应更强。膳食脂肪主要改善了雌性小鼠的肝损伤,而膳食胆固醇则纠正了两性的纤维化。我们的数据将胆固醇合成缺陷置于性别依赖性肝脏疾病的焦点位置。

https://cdn.ncbi.nlm.nih.gov/pmc/blobs/66f1/4350092/8e2b8e437878/srep08777-f1.jpg

文献AI研究员

20分钟写一篇综述,助力文献阅读效率提升50倍。

立即体验

用中文搜PubMed

大模型驱动的PubMed中文搜索引擎

马上搜索

文档翻译

学术文献翻译模型,支持多种主流文档格式。

立即体验