George Manish M, Goswamy Jay, Penney Susannah E
Department of Otolaryngology-Head and Neck Surgery, Manchester Royal Infirmary, Oxford Road, Manchester, M13 9WL United Kingdom.
Thyroid Res. 2015 Feb 26;8:3. doi: 10.1186/s13044-015-0015-5. eCollection 2015.
The thyroid undergoes a variety of physiological changes during pregnancy. The relatively low iodine levels seen in pregnancy have been implicated in thyroid growth during this time. Management of thyroid cancer in pregnancy is not immediately apparent. Furthermore, acute suppurative thyroiditis is rare and this is attributed to the glands innate immunity. We thoroughly review the evidence regarding management of thyroid abscess and thyroid malignancy during pregnancy and illustrate it via an extremely rare case of an embolic thyroid abscess highlighting an underlying carcinoma in a pregnant woman.
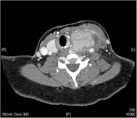
A 29-year old female was found to have a thyroid mass during an antenatal assessment. Following a wound infection from Caesarian section she developed a rapidly progressive thyroid abscess. Incision and drainage of the abscess, and subsequent histology revealed papillary carcinoma. She subsequently underwent both total thyroidectomy with level 6 dissection and radio-iodine ablation post-natally.
The literature is inconsistent regarding pregnancy as a risk factor for thyroid cancer, but overall it has been suggested as equally or slightly more frequent than in the non-pregnant population. Thyroid mass investigation should be as for the non-pregnant population. In the first trimester any endocrine surgery is associated with miscarriage, whereas these risks are reduced in second trimester. Importantly, there is no survival benefit in undergoing papillary carcinoma surgery in the third trimester versus early post partum and the risks of premature labour may outweigh any benefit gained by operating early. Most importantly, acute suppurative thyroiditis is rare entity and clinicians should have a low threshold for suspicion of underlying malignancy in these patients. This is especially true in the pregnant population who may be especially susceptible whilst undergoing hypertrophic thyroid changes.
甲状腺在孕期会经历多种生理变化。孕期碘水平相对较低被认为与此时甲状腺的生长有关。孕期甲状腺癌的管理并不明确。此外,急性化脓性甲状腺炎较为罕见,这归因于甲状腺的固有免疫。我们全面回顾了孕期甲状腺脓肿和甲状腺恶性肿瘤管理的相关证据,并通过一个极为罕见的病例进行说明,该病例为一名孕妇发生栓塞性甲状腺脓肿,同时伴有潜在的甲状腺癌。
一名29岁女性在产前检查时发现甲状腺有肿物。剖宫产术后伤口感染后,她迅速发展为甲状腺脓肿。脓肿切开引流及随后的组织学检查显示为乳头状癌。她随后在产后接受了甲状腺全切及Ⅵ区淋巴结清扫术和放射性碘消融治疗。
关于妊娠是否为甲状腺癌的危险因素,文献观点并不一致,但总体而言,其发生率被认为与非妊娠人群相当或略高。甲状腺肿物的检查应与非妊娠人群相同。在孕早期,任何内分泌手术都与流产有关,而在孕中期这些风险会降低。重要的是,孕晚期进行乳头状癌手术与产后早期手术相比,并无生存获益,且早产风险可能超过早期手术带来的任何益处。最重要的是,急性化脓性甲状腺炎是一种罕见疾病,临床医生对这些患者潜在恶性肿瘤的怀疑阈值应较低。对于处于甲状腺增生性变化且可能特别易患的孕妇人群尤其如此。