Suppr超能文献

一只孟加拉虎(Panthera tigris tigris)胸椎脊索瘤的计算机断层扫描和磁共振成像

Computed tomography and magnetic resonance imaging of thoracic chordoma in a Bengal tiger (Panthera tigris tigris).

作者信息

Iseri Toshie, Shimizu Junichiro, Akiyoshi Hideo, Kusuda Kayo, Hayashi Akiyoshi, Mie Keiichiro, Izawa Takeshi, Kuwamura Mitsuru, Yamate Jyoji, Fujimoto Yuka, Ohashi Fumihito

机构信息

Department of Veterinary Science, Joint Faculty of Veterinary Medicine, Yamaguchi University, 1677-1 Yoshida, Yamaguchi 753-8515, Japan.

出版信息

J Vet Med Sci. 2015 Jul;77(7):857-60. doi: 10.1292/jvms.14-0694. Epub 2015 Mar 3.

Abstract

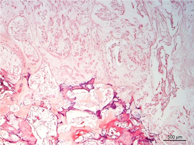
A Bengal tiger was presented for evaluation of weakness, ataxia and inappetance. Computed tomography (CT) and magnetic resonance imaging (MRI) revealed a mass extending from the T7-8 vertebral body to the left rib and compressing the spinal cord. On CT, the bone destruction and sequestrum were shown. On MRI, the multilobulated mass appeared hypo- to isointense in T1-weighted and hyperintense in T2-weighted images. The tiger died after imaging, most likely from renal failure. Chordoma without metastasis was diagnosed on necropsy. The imaging characteristics were similar to those found in chordoma in humans. This report describes the use of CT and MRI in an exotic species.

摘要

一只孟加拉虎因虚弱、共济失调和食欲不振前来接受评估。计算机断层扫描(CT)和磁共振成像(MRI)显示一个肿块从T7 - 8椎体延伸至左肋骨并压迫脊髓。在CT上,显示出骨质破坏和死骨。在MRI上,多叶状肿块在T1加权像上呈低至等信号,在T2加权像上呈高信号。这只老虎在成像检查后死亡,最有可能死于肾衰竭。尸检诊断为无转移的脊索瘤。其影像学特征与人类脊索瘤相似。本报告描述了CT和MRI在一个外来物种中的应用。

https://cdn.ncbi.nlm.nih.gov/pmc/blobs/25c6/4527510/8e786c174fc6/jvms-77-857-g001.jpg

文献检索

告别复杂PubMed语法,用中文像聊天一样搜索,搜遍4000万医学文献。AI智能推荐,让科研检索更轻松。

立即免费搜索

文件翻译

保留排版,准确专业,支持PDF/Word/PPT等文件格式,支持 12+语言互译。

免费翻译文档

深度研究

AI帮你快速写综述,25分钟生成高质量综述,智能提取关键信息,辅助科研写作。

立即免费体验