Suppr超能文献

标准达克斯猎犬中的颈椎软骨脊索瘤:病例报告。

Cervical chondroid chordoma in a standard dachshund: a case report.

机构信息

Department of Companion Animal Clinical Sciences, Norwegian School of Veterinary Science, PO Box 8146, NO-0033 Oslo, Norway.

出版信息

Acta Vet Scand. 2011 Oct 21;53(1):55. doi: 10.1186/1751-0147-53-55.

Abstract

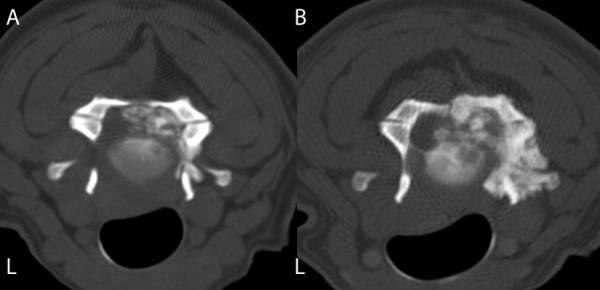
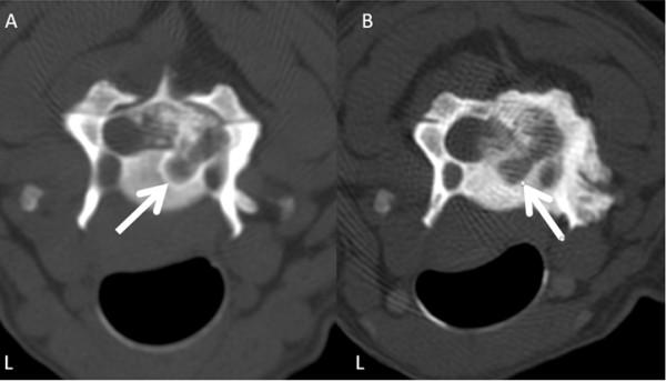
A ten-year-old male standard dachshund was presented with a history of neck pain and progressive gait disturbances. Following a neurological examination and diagnostic imaging, including CT, a neoplastic lesion involving the third and fourth cervical vertebrae was suspected. The lesion included an extradural mass on the right side of the spinal canal causing a local compression of the cervical cord. Surgery, using a modified dorsal laminectomy procedure, was performed in order to decompress the cervical spinal cord. Histopathological examination of the extradural mass indicated that the tumour was a chondroid chordoma. Following discharge, the quality of life for the dog was very good for a sustained period, but clinical signs recurred at 22 months. The dog was euthanased 25 months post-surgery. On post-mortem examination, a regrowth of neoplastic tissue was found to have infiltrated the bone and spinal cord at C3-C4. This is the first report to show that palliative surgery can offer successful long-lasting treatment of chondroid chordoma of the cervical spine in the dog.

摘要

一只十岁大的雄性标准贵宾犬,出现颈部疼痛和进行性步态障碍的病史。经过神经学检查和包括 CT 在内的诊断影像学检查后,怀疑第三和第四颈椎有肿瘤病变。病变包括椎管右侧的硬膜外肿块,导致颈脊髓局部受压。为了对颈脊髓进行减压,采用改良的背侧椎板切除术进行了手术。硬膜外肿块的组织病理学检查表明肿瘤为软骨脊索瘤。出院后,狗狗的生活质量在很长一段时间内都非常好,但在 22 个月时临床症状再次出现。手术后 25 个月,狗狗被实施了安乐死。尸检时发现,C3-C4 处的骨和脊髓有肿瘤组织再生并浸润。这是首例报道显示姑息性手术可以为犬颈椎软骨脊索瘤提供成功的长期治疗。

https://cdn.ncbi.nlm.nih.gov/pmc/blobs/8de5/3224775/3e1bfb944a62/1751-0147-53-55-1.jpg

文献检索

告别复杂PubMed语法,用中文像聊天一样搜索,搜遍4000万医学文献。AI智能推荐,让科研检索更轻松。

立即免费搜索

文件翻译

保留排版,准确专业,支持PDF/Word/PPT等文件格式,支持 12+语言互译。

免费翻译文档

深度研究

AI帮你快速写综述,25分钟生成高质量综述,智能提取关键信息,辅助科研写作。

立即免费体验