• 文献检索
  • 文档翻译
  • 深度研究
  • 学术资讯
  • Suppr Zotero 插件Zotero 插件
  • 邀请有礼
  • 套餐&价格
  • 历史记录
应用&插件
Suppr Zotero 插件Zotero 插件浏览器插件Mac 客户端Windows 客户端微信小程序
定价
高级版会员购买积分包购买API积分包
服务
文献检索文档翻译深度研究API 文档MCP 服务
关于我们
关于 Suppr公司介绍联系我们用户协议隐私条款
关注我们

Suppr 超能文献

核心技术专利:CN118964589B侵权必究
粤ICP备2023148730 号-1Suppr @ 2026

文献检索

告别复杂PubMed语法,用中文像聊天一样搜索,搜遍4000万医学文献。AI智能推荐,让科研检索更轻松。

立即免费搜索

文件翻译

保留排版,准确专业,支持PDF/Word/PPT等文件格式,支持 12+语言互译。

免费翻译文档

深度研究

AI帮你快速写综述,25分钟生成高质量综述,智能提取关键信息,辅助科研写作。

立即免费体验

GK-1 增强了负载 MAGE-AX 的骨髓树突状细胞在黑色素瘤小鼠中诱导的免疫应答。

GK-1 improves the immune response induced by bone marrow dendritic cells loaded with MAGE-AX in mice with melanoma.

机构信息

Laboratorio de Inmunoterapia e Ingeniería de Tejidos, Departamento de Biología Celular y Tisular, Facultad de Medicina, Universidad Nacional Autónoma de México Edificio A, Sexto Piso, Ciudad Universitaria, Avenida Universidad No. 3000, Ciudad de México 04510DF, Mexico.

出版信息

J Immunol Res. 2014;2014:158980. doi: 10.1155/2014/158980. Epub 2014 Oct 29.

DOI:10.1155/2014/158980
PMID:25759825
原文链接:https://pmc.ncbi.nlm.nih.gov/articles/PMC4230216/
Abstract

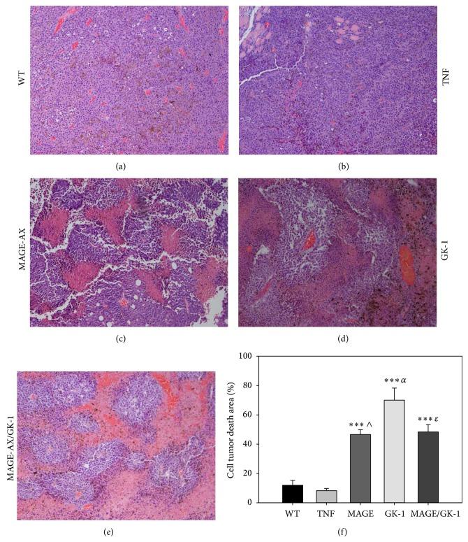
The aim of dendritic cell (DC) vaccination in cancer is to induce tumor-specific effector T cells that may reduce and control tumor mass. Immunostimulants that could drive a desired immune response are necessary to be found in order to generate a long lasting tumor immune response. GK-1 peptide, derived from Taenia crassiceps, induces not only increase in TNFα, IFNγ, and MCP-1 production in cocultures of DCs and T lymphocytes but also immunological protection against influenza virus. Moreover, the aim of this investigation is the use of GK-1 as a bone marrow DCs (BMDCs) immunostimulant targeted with MAGE antigen; thus, BMDC may be used as immunotherapy against murine melanoma. GK-1 induced in BMDCs a meaningful increment of CD86 and IL-12. In addition, the use of BMDCs TNFα/GK-1/MAGE-AX induced the highest survival and the smallest tumors in mice. Besides, the treatment helped to increase CD8 lymphocytes levels and to produce IFNγ in lymph nodes. Moreover, the histopathological analysis showed that BMDCs treated with GK-1/TNFα and loaded with MAGE-AX induced the apparition of more apoptotic and necrotic areas in tumors than in mice without treatment. These results highlight the properties of GK-1 as an immunostimulant of DCs and suggest as a potential candidate the use of this immunotherapy against cancer disease.

摘要

树突状细胞 (DC) 疫苗接种在癌症中的目的是诱导可能减少和控制肿瘤体积的肿瘤特异性效应 T 细胞。为了产生持久的肿瘤免疫反应,有必要找到能够驱动所需免疫反应的免疫刺激剂。来自阔节裂头绦虫的 GK-1 肽不仅诱导 DC 和 T 淋巴细胞共培养物中 TNFα、IFNγ 和 MCP-1 的产生增加,而且还具有针对流感病毒的免疫保护作用。此外,本研究的目的是将 GK-1 用作针对 MAGE 抗原的骨髓树突状细胞 (BMDC) 的免疫刺激剂;因此,BMDC 可用于治疗鼠黑色素瘤的免疫疗法。GK-1 在 BMDC 中诱导 CD86 和 IL-12 的显著增加。此外,使用 TNFα/GK-1/MAGE-AX 处理的 BMDC 诱导小鼠的存活率最高,肿瘤最小。此外,该治疗有助于增加淋巴结中 CD8 淋巴细胞的水平并产生 IFNγ。此外,组织病理学分析显示,用 GK-1/TNFα 处理并负载 MAGE-AX 的 BMDC 诱导肿瘤中出现更多凋亡和坏死区域,而未经治疗的小鼠则没有。这些结果突出了 GK-1 作为 DC 免疫刺激剂的特性,并表明该免疫疗法是治疗癌症的潜在候选方法。

https://cdn.ncbi.nlm.nih.gov/pmc/blobs/04cb/4230216/9721de35db0f/JIR2014-158980.006.jpg
https://cdn.ncbi.nlm.nih.gov/pmc/blobs/04cb/4230216/97a85c46d9f6/JIR2014-158980.001.jpg
https://cdn.ncbi.nlm.nih.gov/pmc/blobs/04cb/4230216/8cd3367a011f/JIR2014-158980.002.jpg
https://cdn.ncbi.nlm.nih.gov/pmc/blobs/04cb/4230216/0bcb55d9b894/JIR2014-158980.003.jpg
https://cdn.ncbi.nlm.nih.gov/pmc/blobs/04cb/4230216/5c8b64ccefd7/JIR2014-158980.004.jpg
https://cdn.ncbi.nlm.nih.gov/pmc/blobs/04cb/4230216/9e8a33890fad/JIR2014-158980.005.jpg
https://cdn.ncbi.nlm.nih.gov/pmc/blobs/04cb/4230216/9721de35db0f/JIR2014-158980.006.jpg
https://cdn.ncbi.nlm.nih.gov/pmc/blobs/04cb/4230216/97a85c46d9f6/JIR2014-158980.001.jpg
https://cdn.ncbi.nlm.nih.gov/pmc/blobs/04cb/4230216/8cd3367a011f/JIR2014-158980.002.jpg
https://cdn.ncbi.nlm.nih.gov/pmc/blobs/04cb/4230216/0bcb55d9b894/JIR2014-158980.003.jpg
https://cdn.ncbi.nlm.nih.gov/pmc/blobs/04cb/4230216/5c8b64ccefd7/JIR2014-158980.004.jpg
https://cdn.ncbi.nlm.nih.gov/pmc/blobs/04cb/4230216/9e8a33890fad/JIR2014-158980.005.jpg
https://cdn.ncbi.nlm.nih.gov/pmc/blobs/04cb/4230216/9721de35db0f/JIR2014-158980.006.jpg

相似文献

1
GK-1 improves the immune response induced by bone marrow dendritic cells loaded with MAGE-AX in mice with melanoma.GK-1 增强了负载 MAGE-AX 的骨髓树突状细胞在黑色素瘤小鼠中诱导的免疫应答。
J Immunol Res. 2014;2014:158980. doi: 10.1155/2014/158980. Epub 2014 Oct 29.
2
Allogeneic GM-CSF-secreting tumor cell immunotherapies generate potent anti-tumor responses comparable to autologous tumor cell immunotherapies.分泌粒细胞-巨噬细胞集落刺激因子的异基因肿瘤细胞免疫疗法可产生与自体肿瘤细胞免疫疗法相当的强效抗肿瘤反应。
Clin Immunol. 2009 Nov;133(2):184-97. doi: 10.1016/j.clim.2009.07.008. Epub 2009 Aug 7.
3
Lentiviral vector-mediated autonomous differentiation of mouse bone marrow cells into immunologically potent dendritic cell vaccines.慢病毒载体介导的小鼠骨髓细胞自主分化为具有免疫活性的树突状细胞疫苗
Mol Ther. 2007 May;15(5):971-80. doi: 10.1038/mt.sj.6300126. Epub 2007 Mar 20.
4
Activated natural killer cell-mediated immunity is required for the inhibition of tumor metastasis by dendritic cell vaccination.树突状细胞疫苗抑制肿瘤转移需要活化的自然杀伤细胞介导的免疫。
Exp Mol Med. 2004 Oct 31;36(5):428-43. doi: 10.1038/emm.2004.55.
5
Dendritic cells stimulated with outer membrane protein A (OmpA) of Salmonella typhimurium generate effective anti-tumor immunity.经鼠伤寒沙门氏菌外膜蛋白 A(OmpA)刺激的树突状细胞可产生有效的抗肿瘤免疫。
Vaccine. 2011 Mar 16;29(13):2400-10. doi: 10.1016/j.vaccine.2011.01.036. Epub 2011 Jan 26.
6
Melanoma-infiltrating dendritic cells induce protective antitumor responses mediated by T cells.黑色素瘤浸润性树突状细胞诱导由T细胞介导的保护性抗肿瘤反应。
Melanoma Res. 2007 Jun;17(3):169-76. doi: 10.1097/CMR.0b013e3281844531.
7
Dendritic cells loaded with killed allogeneic melanoma cells can induce objective clinical responses and MART-1 specific CD8+ T-cell immunity.负载灭活同种异体黑色素瘤细胞的树突状细胞可诱导客观临床反应和MART-1特异性CD8 + T细胞免疫。
J Immunother. 2006 Sep-Oct;29(5):545-57. doi: 10.1097/01.cji.0000211309.90621.8b.
8
Blood dendritic cells generated with Flt3 ligand and CD40 ligand prime CD8+ T cells efficiently in cancer patients.使用Flt3配体和CD40配体生成的血液树突状细胞能有效地激活癌症患者的CD8+T细胞。
J Immunother. 2006 Sep-Oct;29(5):499-511. doi: 10.1097/01.cji.0000211299.29632.8c.
9
Antitumor immune response of dendritic cells (DCs) expressing tumor-associated antigens derived from induced pluripotent stem cells: in comparison to bone marrow-derived DCs.诱导多能干细胞来源的肿瘤相关抗原表达的树突状细胞(DC)的抗肿瘤免疫反应:与骨髓来源的 DC 比较。
Int J Cancer. 2014 Jan 15;134(2):332-41. doi: 10.1002/ijc.28367. Epub 2013 Aug 1.
10
Increased numbers of monocyte-derived dendritic cells during successful tumor immunotherapy with immune-activating agents.在免疫激活剂进行成功的肿瘤免疫治疗期间,单核细胞衍生的树突状细胞的数量增加。
J Immunol. 2013 Aug 15;191(4):1984-92. doi: 10.4049/jimmunol.1301135. Epub 2013 Jul 15.

引用本文的文献

1
Chitosan Microparticles Coupled with MAGE-AX and CpGs as a Treatment for Murine Melanoma.壳聚糖微粒联合MAGE-AX和CpG用于治疗小鼠黑色素瘤
Pharmaceutics. 2025 Jul 19;17(7):932. doi: 10.3390/pharmaceutics17070932.
2
Pro-inflammatory responses after peptide-based cancer immunotherapy.基于肽的癌症免疫治疗后的促炎反应。
Heliyon. 2024 May 31;10(11):e32249. doi: 10.1016/j.heliyon.2024.e32249. eCollection 2024 Jun 15.
3
Suppression of the growth and metastasis of mouse melanoma by and tapeworms.抑制小鼠黑色素瘤的生长和转移。

本文引用的文献

1
Cancer immunotherapy via dendritic cells.通过树突状细胞进行癌症免疫疗法。
Nat Rev Cancer. 2012 Mar 22;12(4):265-77. doi: 10.1038/nrc3258.
2
Type I interferon is selectively required by dendritic cells for immune rejection of tumors.Ⅰ型干扰素通过树突状细胞选择性地需要用于免疫排斥肿瘤。
J Exp Med. 2011 Sep 26;208(10):1989-2003. doi: 10.1084/jem.20101158. Epub 2011 Sep 19.
3
Natural killer cell activation by dendritic cells: balancing inhibitory and activating signals.树突状细胞激活自然杀伤细胞:平衡抑制性和激活信号。
Front Immunol. 2024 Mar 20;15:1376907. doi: 10.3389/fimmu.2024.1376907. eCollection 2024.
4
How tapeworms interact with cancers: a mini-review.绦虫如何与癌症相互作用:小型综述。
PeerJ. 2024 Mar 29;12:e17196. doi: 10.7717/peerj.17196. eCollection 2024.
5
Gelatin/Hyaluronic Acid Scaffold Coupled to CpG and MAGE-A5 as a Treatment against Murine Melanoma.与CpG和MAGE-A5偶联的明胶/透明质酸支架作为抗小鼠黑色素瘤的治疗方法
Polymers (Basel). 2022 Oct 30;14(21):4608. doi: 10.3390/polym14214608.
6
Immunomodulatory Properties of Masticadienonic Acid and 3α-Hydroxy Masticadienoic Acid in Dendritic Cells.乳香酸和 3α-羟基乳香酸在树突状细胞中的免疫调节特性。
Molecules. 2022 Feb 21;27(4):1451. doi: 10.3390/molecules27041451.
7
GK1 Improves the Immune Response Induced by Dendritic Cells of BALB/c Mice Infected with Leishmania mexicana Promastigotes.GK1增强感染墨西哥利什曼原虫前鞭毛体的BALB/c小鼠树突状细胞诱导的免疫反应。
Acta Parasitol. 2020 Mar;65(1):27-35. doi: 10.2478/s11686-019-00125-w. Epub 2019 Sep 30.
8
Dendritic Immunotherapy Improvement for an Optimal Control Murine Model.用于最佳控制小鼠模型的树突状细胞免疫疗法改进
Comput Math Methods Med. 2017;2017:5291823. doi: 10.1155/2017/5291823. Epub 2017 Aug 20.
9
The mitochondrial alternative oxidase Aox1 is needed to cope with respiratory stress but dispensable for pathogenic development in Ustilago maydis.线粒体交替氧化酶Aox1是应对呼吸应激所必需的,但对于玉米黑粉菌的致病发育却是可有可无的。
PLoS One. 2017 Mar 8;12(3):e0173389. doi: 10.1371/journal.pone.0173389. eCollection 2017.
10
Protective Action of Carica papaya on β-Cells in Streptozotocin-Induced Diabetic Rats.番木瓜对链脲佐菌素诱导的糖尿病大鼠β细胞的保护作用。
Int J Environ Res Public Health. 2016 Apr 27;13(5):446. doi: 10.3390/ijerph13050446.
Cell Mol Life Sci. 2011 Nov;68(21):3505-18. doi: 10.1007/s00018-011-0801-8. Epub 2011 Aug 23.
4
Characterization of interferon-γ-treated melanoma tumor cells for use in dendritic cell-based immunotherapy.用树突状细胞为基础的免疫疗法对干扰素-γ处理的黑色素瘤肿瘤细胞进行特征分析。
Cancer Biother Radiopharm. 2011 Jun;26(3):345-51. doi: 10.1089/cbr.2011.0959. Epub 2011 Jun 28.
5
Heterologous prime-boost oral immunization with GK-1 peptide from Taenia crassiceps cysticerci induces protective immunity.用来自肥胖带绦虫囊尾蚴的GK-1肽进行异源初免-加强口服免疫可诱导保护性免疫。
Clin Vaccine Immunol. 2011 Jul;18(7):1067-76. doi: 10.1128/CVI.05030-11. Epub 2011 May 18.
6
Hematopoietic differentiation and production of mature myeloid cells from human pluripotent stem cells.人多能干细胞向造血细胞分化及向成熟髓系细胞生成。
Nat Protoc. 2011 Mar;6(3):296-313. doi: 10.1038/nprot.2010.184. Epub 2011 Feb 17.
7
Dendritic cells and immunity against cancer.树突状细胞与癌症免疫
J Intern Med. 2011 Jan;269(1):64-73. doi: 10.1111/j.1365-2796.2010.02317.x.
8
Toll-like receptor agonists: are they good adjuvants? toll 样受体激动剂:它们是好的佐剂吗?
Cancer J. 2010 Jul-Aug;16(4):382-91. doi: 10.1097/PPO.0b013e3181eaca65.
9
Toll-like receptor agonists in cancer therapy. Toll 样受体激动剂在癌症治疗中的应用。
Immunotherapy. 2009 Nov;1(6):949-64. doi: 10.2217/imt.09.70.
10
Two distinct mechanisms of augmented antitumor activity by modulation of immunostimulatory/inhibitory signals.两种通过调节免疫刺激/抑制信号增强抗肿瘤活性的独特机制。
Clin Cancer Res. 2010 May 15;16(10):2781-91. doi: 10.1158/1078-0432.CCR-09-3243. Epub 2010 May 11.