Suppr超能文献

继发于急性播散性脑脊髓炎的持续性假性球麻痹。

Persistent pseudobulbar affect secondary to acute disseminated encephalomyelitis.

作者信息

Li Zhendong, Luo Shijian, Ou Jianying, Huang Rihe, Wang Ying

机构信息

Department of Neurology, The Fifth Affiliated Hospital of Sun Yat-Sen University, Zhuhai, China;

Department of Neurology, The Fifth Affiliated Hospital of Sun Yat-Sen University, Zhuhai, China.

出版信息

Socioaffect Neurosci Psychol. 2015 Mar 18;5:26210. doi: 10.3402/snp.v5.26210. eCollection 2015.

Abstract

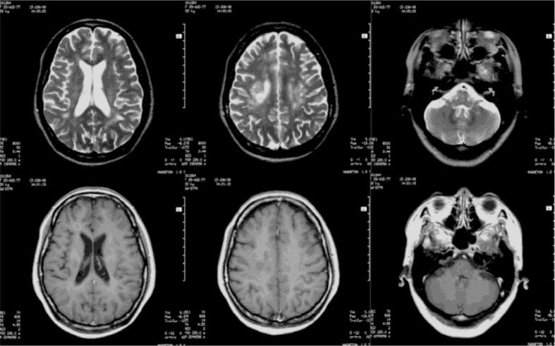
Pseudobulbar affect (PBA) is a common complication of central nervous system diseases such as stroke, multiple sclerosis, and other neurological diseases, but it remains under-recognized and under-treated in the clinic. PBA caused by acute disseminated encephalomyelitis (ADEM) has rarely been reported. Here, we report a 30-year-old Chinese woman who has experienced PBA from ADEM for 7 years. The patient's principal manifestations were extreme emotions or tears when she saw, heard, or spoke about sad news or other sad things; the durations of these unmanageable emotions were often less than 30 sec, and they occurred at frequencies that ranged from one to several times a day. Occasionally, she laughed uncontrollably while people were talking despite a lack of funny or sad stimuli in the conversation or the surrounding environment. Thus, her social functioning was impaired. This case indicates that the long-term PBA can occur secondarily to ADEM, and this possibility should be considered clinically to ensure timely identification and treatment.

摘要

假性延髓情绪(PBA)是中风、多发性硬化症等中枢神经系统疾病以及其他神经疾病的常见并发症,但在临床上仍未得到充分认识和治疗。急性播散性脑脊髓炎(ADEM)引起的PBA鲜有报道。在此,我们报告一名30岁的中国女性,她患ADEM引发的PBA已达7年。患者的主要表现为在看到、听到或谈论悲伤消息或其他悲伤事情时出现极端情绪或流泪;这些难以控制的情绪持续时间通常少于30秒,每天发生频率为1至几次。偶尔,在人们交谈时,尽管对话或周围环境中没有有趣或悲伤的刺激因素,她也会 uncontrollably 大笑。因此,她的社交功能受到了损害。该病例表明,长期PBA可继发于ADEM,临床上应考虑到这种可能性,以确保及时识别和治疗。 (注:原文中“uncontrollably”未翻译完整,应是“无法控制地”,但按照要求未添加解释)

https://cdn.ncbi.nlm.nih.gov/pmc/blobs/b77c/4366481/565f32b8921b/SNP-5-26210-g001.jpg

文献检索

告别复杂PubMed语法,用中文像聊天一样搜索,搜遍4000万医学文献。AI智能推荐,让科研检索更轻松。

立即免费搜索

文件翻译

保留排版,准确专业,支持PDF/Word/PPT等文件格式,支持 12+语言互译。

免费翻译文档

深度研究

AI帮你快速写综述,25分钟生成高质量综述,智能提取关键信息,辅助科研写作。

立即免费体验