• 文献检索
  • 文档翻译
  • 深度研究
  • 学术资讯
  • Suppr Zotero 插件Zotero 插件
  • 邀请有礼
  • 套餐&价格
  • 历史记录
应用&插件
Suppr Zotero 插件Zotero 插件浏览器插件Mac 客户端Windows 客户端微信小程序
定价
高级版会员购买积分包购买API积分包
服务
文献检索文档翻译深度研究API 文档MCP 服务
关于我们
关于 Suppr公司介绍联系我们用户协议隐私条款
关注我们

Suppr 超能文献

核心技术专利:CN118964589B侵权必究
粤ICP备2023148730 号-1Suppr @ 2026

文献检索

告别复杂PubMed语法,用中文像聊天一样搜索,搜遍4000万医学文献。AI智能推荐,让科研检索更轻松。

立即免费搜索

文件翻译

保留排版,准确专业,支持PDF/Word/PPT等文件格式,支持 12+语言互译。

免费翻译文档

深度研究

AI帮你快速写综述,25分钟生成高质量综述,智能提取关键信息,辅助科研写作。

立即免费体验

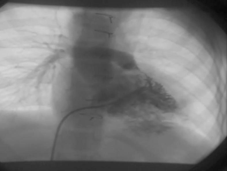
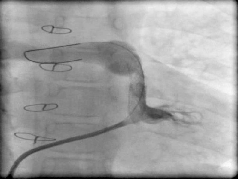
Native right ventricular outflow tract stenting in a child with tetralogy of fallot and absent left pulmonary artery.

作者信息

Molaei Akbar, Meraji Mahmud, Malakan Rad Elaheh

机构信息

Rajaei Cardiovascular & Medical Research Center, Pediatric Cardiology Department, Iran University of Medical Sciences.

Children's Medical Center, Tehran University of Medical Sciences, Tehran, Iran.

出版信息

Iran J Pediatr. 2014 Feb;24(1):119-21. Epub 2013 Nov 30.

PMID:25793059
原文链接:https://pmc.ncbi.nlm.nih.gov/articles/PMC4359597/
Abstract
摘要
https://cdn.ncbi.nlm.nih.gov/pmc/blobs/8c4f/4359597/80da0fe00f82/IJPD-24-119-g002.jpg
https://cdn.ncbi.nlm.nih.gov/pmc/blobs/8c4f/4359597/4a897244fb25/IJPD-24-119-g001.jpg
https://cdn.ncbi.nlm.nih.gov/pmc/blobs/8c4f/4359597/80da0fe00f82/IJPD-24-119-g002.jpg
https://cdn.ncbi.nlm.nih.gov/pmc/blobs/8c4f/4359597/4a897244fb25/IJPD-24-119-g001.jpg
https://cdn.ncbi.nlm.nih.gov/pmc/blobs/8c4f/4359597/80da0fe00f82/IJPD-24-119-g002.jpg

相似文献

1
Native right ventricular outflow tract stenting in a child with tetralogy of fallot and absent left pulmonary artery.法洛四联症合并左肺动脉缺如患儿的右心室流出道原位支架植入术
Iran J Pediatr. 2014 Feb;24(1):119-21. Epub 2013 Nov 30.
2
A single coronary artery with left circumflex artery crossing right ventricular outflow tract in tetralogy of Fallot with absent left pulmonary artery.法洛四联症合并左肺动脉缺如时,单支冠状动脉伴左旋支跨越右心室流出道。
J Cardiovasc Thorac Res. 2021;13(1):87-89. doi: 10.34172/jcvtr.2020.61. Epub 2020 Dec 23.
3
Stenting of the Right Ventricular Outflow Tract Promotes Better Pulmonary Arterial Growth Compared With Modified Blalock-Taussig Shunt Palliation in Tetralogy of Fallot-Type Lesions.右心室流出道支架置入术与改良 Blalock-Taussig 分流术姑息治疗法洛四联症型病变比较,能更好地促进肺动脉生长。
JACC Cardiovasc Interv. 2017 Sep 11;10(17):1774-1784. doi: 10.1016/j.jcin.2017.06.023.
4
Long-term results of right ventricular outflow tract reconstruction in neonatal cardiac surgery: options and outcomes.新生儿心脏手术中右心室流出道重建的长期结果:选择与结局
J Thorac Cardiovasc Surg. 2009 Oct;138(4):911-6. doi: 10.1016/j.jtcvs.2008.10.058. Epub 2009 Jul 26.
5
Stenting of the right ventricular outflow tract in the symptomatic infant with tetralogy of Fallot.对有症状的法洛四联症婴儿进行右心室流出道支架置入术。
Heart. 2009 Feb;95(2):142-7. doi: 10.1136/hrt.2007.135723. Epub 2008 Mar 10.
6
Left pulmonary artery kinking caused by outflow tract dilatation after transannular patch repair of tetralogy of Fallot.法洛四联症经环带补片修复术后因流出道扩张导致左肺动脉扭曲。
Ann Thorac Surg. 1998 Apr;65(4):1120-6. doi: 10.1016/s0003-4975(98)00112-x.
7
Two-stage approach for surgical treatment of tetralogy of Fallot in underweight children: Clinical and morphological outcomes.
J Card Surg. 2019 May;34(5):293-299. doi: 10.1111/jocs.14031. Epub 2019 Mar 29.
8
Right Ventricular Outflow Tract Stenting in Tetralogy of Fallot Infants With Risk Factors for Early Primary Repair.法洛四联症合并早期一期修复危险因素的婴儿右心室流出道支架置入术
Circ Cardiovasc Interv. 2016 Dec;9(12). doi: 10.1161/CIRCINTERVENTIONS.116.003979.
9
Right ventricular outflow tract stent versus BT shunt palliation in Tetralogy of Fallot.法洛四联症中右心室流出道支架与体肺分流术姑息治疗的比较
Heart. 2017 Dec;103(24):1985-1991. doi: 10.1136/heartjnl-2016-310620. Epub 2017 Aug 16.
10
Right ventricular outflow tract histology post-stenting and in-stent stenosis.支架置入术后及支架内狭窄时的右心室流出道组织学
Ann Pediatr Cardiol. 2022 Mar-Apr;15(2):206-208. doi: 10.4103/apc.apc_231_21. Epub 2022 Aug 19.

本文引用的文献

1
Transventricular balloon dilation and stenting of the RVOT in small infants with tetralogy of fallot with pulmonary atresia.经室间隔球囊扩张和右心室流出道支架置入术治疗小婴儿法洛四联症合并肺动脉闭锁。
Catheter Cardiovasc Interv. 2013 Aug 1;82(2):260-5. doi: 10.1002/ccd.24548. Epub 2013 Apr 5.
2
Stenting right ventricular outflow in an infant with tetralogy of Fallot and well-developed pulmonary arteries.对一名患有法洛四联症且肺动脉发育良好的婴儿进行右心室流出道支架置入术。
Pediatr Cardiol. 2013 Feb;34(2):438-40. doi: 10.1007/s00246-012-0282-z. Epub 2012 Apr 4.
3
Bare metal stenting for obstructed small diameter homograft conduits in the right ventricular outflow tract.
右心室流出道阻塞性小直径同种移植物管道的金属裸支架置入。
Catheter Cardiovasc Interv. 2013 Jan 1;81(1):E44-52. doi: 10.1002/ccd.24369. Epub 2012 Apr 17.
4
A different therapeutic strategy for severe tetralogy of Fallot with origin of the left pulmonary artery from the ascending aorta: stenting of the right ventricular outflow tract before complete repair.一种针对左肺动脉起源于升主动脉的重症法洛四联症的不同治疗策略:在完全修复前对右心室流出道进行支架置入术。
Congenit Heart Dis. 2012 May-Jun;7(3):E1-5. doi: 10.1111/j.1747-0803.2011.00542.x. Epub 2011 Jun 27.