Suppr超能文献

小鼠伤口愈合的比较实验研究:Pelnac与Integra对比

Comparative experimental study of wound healing in mice: Pelnac versus Integra.

作者信息

Wosgrau Ana Carolina Câmara, Jeremias Talita da Silva, Leonardi Dilmar Francisco, Pereima Maurício José, Di Giunta Gabriella, Trentin Andrea Gonçalves

机构信息

Departamento de Biologia Celular, Embriologia e Genética, Centro de Ciências Biológicas, Universidade Federal de Santa Catarina Florianópolis, Santa Catarina, Brasil; Serviço de Pediatria, Hospital Universitário, Universidade Federal de Santa Catarina, Florianópolis, Santa Catarina, Brasil.

Departamento de Biologia Celular, Embriologia e Genética, Centro de Ciências Biológicas, Universidade Federal de Santa Catarina Florianópolis, Santa Catarina, Brasil.

出版信息

PLoS One. 2015 Mar 23;10(3):e0120322. doi: 10.1371/journal.pone.0120322. eCollection 2015.

Abstract

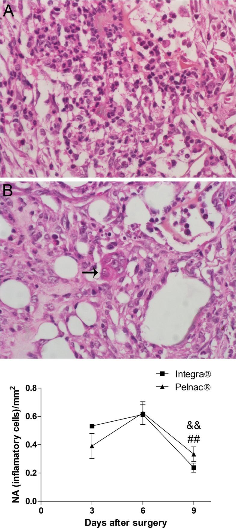
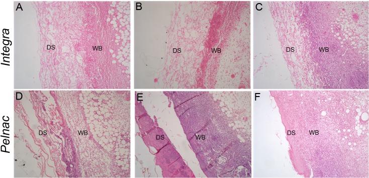
Strategies for skin regeneration have been developed to provide effective treatment for cutaneous wounds and disease. Dermal substitutes have been used to cover the lesion to facilitate cell colonization, thereby promoting dermal regeneration. However, very little is known about Pelnac matrix especially at histological level. Therefore, the present work carried out an experimental in vivo comparative analysis between Pelnac and Integra, the most used dermal templates, in a mouse model of full-thickness skin wounds. Histological sections performed at the 3rd, 6th and 9th days after surgery were analyzed with regard to inflammatory response and vascularization. Both templates were completely incorporated in all animals at the end of the analyzed period. Pelnac-treated animals displayed reduced granulation tissue during the first 6 days of treatment compared to the animals treated with Integra at the same time period. The number of inflammatory cells (neutrophils) was similar in both groups during the period, significantly reducing at the end of inflammatory phase (9th day of treatment) consistent with the progression of healing process. In addition, the density of blood vessels was also statistically similar in both matrices. Therefore, the two dermal templates displayed comparable biological behavior in tissue repair. It is noteworthy that this is the first experimental study comparing Pelnac and Integra dermal templates with focus on full-thickness skin wounds.

摘要

为皮肤创伤和疾病提供有效治疗的皮肤再生策略已被开发出来。真皮替代物已被用于覆盖病变部位,以促进细胞定植,从而促进真皮再生。然而,关于Pelnac基质,尤其是在组织学层面,人们了解甚少。因此,本研究在全层皮肤伤口的小鼠模型中,对Pelnac和最常用的真皮模板Integra进行了体内实验比较分析。对术后第3天、第6天和第9天的组织学切片进行了炎症反应和血管化分析。在分析期结束时,两种模板在所有动物中均完全整合。与同期接受Integra治疗的动物相比,接受Pelnac治疗的动物在治疗的前6天肉芽组织减少。在此期间,两组炎症细胞(中性粒细胞)数量相似,在炎症期结束时(治疗第9天)显著减少,这与愈合过程的进展一致。此外,两种基质中的血管密度在统计学上也相似。因此,两种真皮模板在组织修复中表现出相似的生物学行为。值得注意的是,这是第一项比较Pelnac和Integra真皮模板并聚焦于全层皮肤伤口的实验研究。

https://cdn.ncbi.nlm.nih.gov/pmc/blobs/0bed/4370513/88f00cd75a4d/pone.0120322.g001.jpg

文献检索

告别复杂PubMed语法,用中文像聊天一样搜索,搜遍4000万医学文献。AI智能推荐,让科研检索更轻松。

立即免费搜索

文件翻译

保留排版,准确专业,支持PDF/Word/PPT等文件格式,支持 12+语言互译。

免费翻译文档

深度研究

AI帮你快速写综述,25分钟生成高质量综述,智能提取关键信息,辅助科研写作。

立即免费体验