Wenyuan Ding, Baojun Li, Yong Shen, Wei Zhang, Yingze Zhang
Spine department, the 3rd Hospital of Hebei Medical University, Shijiazhuang, People's Republic of China.
General Orthopaedic Department, the 3rd Hospital of Hebei Medical University, Shijiazhuang, People's Republic of China.
SAS J. 2009 Mar 1;3(1):12-6. doi: 10.1016/SASJ-2008-0026-CR. eCollection 2009.
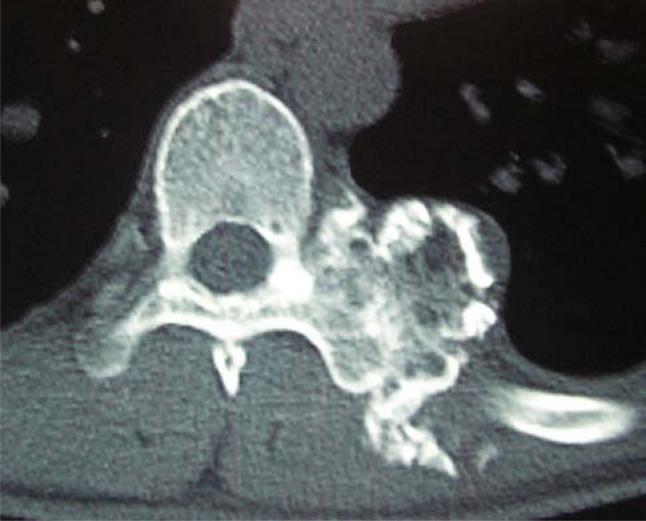
The incidence of osteochondroma is rare and only 2% of such tumors are found in the spine area. When they are found in the vertebral column, less than 1% of all osteochondromas and few tumors occur in the thoracic vertebrae. An osteochondroma arising from the transverse process of the vertebra is even rarer, especially following from the thoracic transverse process. Here we report a giant solitary osteochondroma arising from the thoracic transverse process of T8 vertebra and involving the corresponding transverse process and rib. A 28-year-old man presented with a progressive thoracic node, and neuroradiological evaluation of the spine showed a giant mass lesion involving the transverse process of T8 vertebra and concomitant corresponding facet joint and rib on the left side. At surgery, a firm and cartilaginous tumor originating from the transverse process was radically excised and surgical curettage of the lesion was performed. It is concluded that accurate and prompt diagnosis requires a high index of suspicion followed by surgical treatment to prevent severe morbidity in cases of primary spinal column tumors. The histological examination of this patient revealed the lesion was osteochondroma. The best choice of treatment for spinal osteochondromas is surgical excision or curettage and spinal stabilization, if necessary.
骨软骨瘤的发病率很低,此类肿瘤仅有2%出现在脊柱区域。当在脊柱中发现时,其在所有骨软骨瘤中所占比例不到1%,且很少有肿瘤发生在胸椎。起源于椎体横突的骨软骨瘤更为罕见,尤其是起源于胸段横突的。在此,我们报告一例起源于T8椎体胸段横突并累及相应横突及肋骨的巨大孤立性骨软骨瘤。一名28岁男性因进行性胸段肿物就诊,脊柱神经放射学评估显示一个巨大肿物,累及T8椎体横突及左侧相应的小关节和肋骨。手术中,一个起源于横突的坚实软骨性肿瘤被彻底切除,并对病变进行了手术刮除。结论是,准确及时的诊断需要高度的怀疑指数,随后进行手术治疗,以防止原发性脊柱肿瘤病例出现严重并发症。该患者的组织学检查显示病变为骨软骨瘤。脊柱骨软骨瘤的最佳治疗选择是手术切除或刮除,必要时进行脊柱稳定术。