• 文献检索
  • 文档翻译
  • 深度研究
  • 学术资讯
  • Suppr Zotero 插件Zotero 插件
  • 邀请有礼
  • 套餐&价格
  • 历史记录
应用&插件
Suppr Zotero 插件Zotero 插件浏览器插件Mac 客户端Windows 客户端微信小程序
定价
高级版会员购买积分包购买API积分包
服务
文献检索文档翻译深度研究API 文档MCP 服务
关于我们
关于 Suppr公司介绍联系我们用户协议隐私条款
关注我们

Suppr 超能文献

核心技术专利:CN118964589B侵权必究
粤ICP备2023148730 号-1Suppr @ 2026

文献检索

告别复杂PubMed语法,用中文像聊天一样搜索,搜遍4000万医学文献。AI智能推荐,让科研检索更轻松。

立即免费搜索

文件翻译

保留排版,准确专业,支持PDF/Word/PPT等文件格式,支持 12+语言互译。

免费翻译文档

深度研究

AI帮你快速写综述,25分钟生成高质量综述,智能提取关键信息,辅助科研写作。

立即免费体验

一名艾滋病患者的暴发性志贺菌病

Fulminant Shigellosis in a HIV Patient.

作者信息

Ooi Siang Mei Sally

机构信息

Liverpool Hospital, Elizabeth Street, Liverpool, NSW 2170, Australia.

出版信息

Case Rep Infect Dis. 2015;2015:128104. doi: 10.1155/2015/128104. Epub 2015 Mar 4.

DOI:10.1155/2015/128104
PMID:25821609
原文链接:https://pmc.ncbi.nlm.nih.gov/articles/PMC4364011/
Abstract

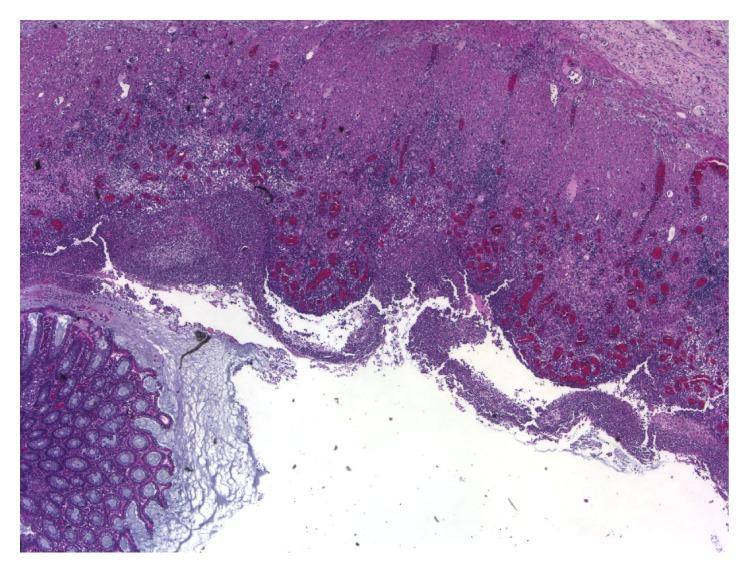
Infectious enterocolitis caused by shigella is usually self-limiting and seldom requires antibiotics treatment. It is uncommon to develop fulminant shigellosis requiring surgery. We report a rare case of fulminant shigellosis in a HIV patient with recurring infection which could not be managed with intravenous antibiotics. CT reviewed extensive colonic wall thickening and stranding with evidence of pneumatosis coli. The patient eventually required a Hartmann procedure. Although fulminant shigellosis is uncommon, thorough assessment and vigilant management are warranted in immunosuppressed patient.

摘要

志贺氏菌引起的感染性小肠结肠炎通常为自限性,很少需要抗生素治疗。发展为需要手术治疗的暴发性志贺氏菌病并不常见。我们报告了一例罕见的暴发性志贺氏菌病病例,该病例发生在一名反复感染的艾滋病毒患者身上,静脉使用抗生素无法控制感染。CT检查显示结肠壁广泛增厚和条索状改变,并伴有结肠积气。该患者最终需要进行哈特曼手术。尽管暴发性志贺氏菌病并不常见,但对于免疫抑制患者,仍需要进行全面评估和密切管理。

https://cdn.ncbi.nlm.nih.gov/pmc/blobs/e745/4364011/3451552f7f81/CRIID2015-128104.003.jpg
https://cdn.ncbi.nlm.nih.gov/pmc/blobs/e745/4364011/bc7370c5bd19/CRIID2015-128104.001.jpg
https://cdn.ncbi.nlm.nih.gov/pmc/blobs/e745/4364011/fba72bb233a8/CRIID2015-128104.002.jpg
https://cdn.ncbi.nlm.nih.gov/pmc/blobs/e745/4364011/3451552f7f81/CRIID2015-128104.003.jpg
https://cdn.ncbi.nlm.nih.gov/pmc/blobs/e745/4364011/bc7370c5bd19/CRIID2015-128104.001.jpg
https://cdn.ncbi.nlm.nih.gov/pmc/blobs/e745/4364011/fba72bb233a8/CRIID2015-128104.002.jpg
https://cdn.ncbi.nlm.nih.gov/pmc/blobs/e745/4364011/3451552f7f81/CRIID2015-128104.003.jpg

相似文献

1
Fulminant Shigellosis in a HIV Patient.一名艾滋病患者的暴发性志贺菌病
Case Rep Infect Dis. 2015;2015:128104. doi: 10.1155/2015/128104. Epub 2015 Mar 4.
2
Case-control study of shigellosis in San Francisco: the role of sexual transmission and HIV infection.旧金山志贺氏菌病的病例对照研究:性传播与艾滋病毒感染的作用
Clin Infect Dis. 2007 Feb 1;44(3):327-34. doi: 10.1086/510593. Epub 2006 Dec 29.
3
Incidence, clinical implications and impact on public health of infections with Shigella spp. and entero-invasive Escherichia coli (EIEC): results of a multicenter cross-sectional study in the Netherlands during 2016-2017.2016-2017 年荷兰多中心横断面研究显示志贺菌属和侵袭性大肠杆菌(EIEC)感染的发生率、临床意义及其对公共卫生的影响。
BMC Infect Dis. 2019 Dec 9;19(1):1037. doi: 10.1186/s12879-019-4659-y.
4
Shigellosis.志贺氏菌病
J Microbiol. 2005 Apr;43(2):133-43.
5
Death from multi-resistant shigellosis in Fiji Islands.斐济群岛多重耐药志贺氏菌病致死病例
Pac Health Dialog. 2001 Mar;8(1):99-102.
6
Shigellosis with bacteremia: a report of two cases and a review of the literature.志贺氏菌病合并菌血症:两例报告及文献复习
Pediatr Infect Dis. 1983 Jan-Feb;2(1):21-6.
7
Shigellosis.志贺菌病。
Lancet. 2018 Feb 24;391(10122):801-812. doi: 10.1016/S0140-6736(17)33296-8. Epub 2017 Dec 16.
8
Shigellosis in neonates and young infants.新生儿和小婴儿的志贺菌病
J Pediatr. 1994 Jul;125(1):14-22. doi: 10.1016/s0022-3476(94)70115-6.
9
Shigellosis caused by Shigella boydii in a preterm neonate, masquerading as necrotizing enterocolitis.一名早产新生儿感染鲍氏志贺菌引起志贺菌病,临床表现酷似坏死性小肠结肠炎。
Pediatr Infect Dis J. 2005 Feb;24(2):184-5. doi: 10.1097/01.inf.0000151043.77959.b6.
10
Death from multi-resistant shigelloses: a case study from Fiji.多重耐药志贺菌病致死:斐济的一个案例研究
Pac Health Dialog. 2006 Sep;13(2):111-4.

引用本文的文献

1
The Challenge of Pneumatosis Intestinalis: A Contemporary Systematic Review.肠壁积气的挑战:一项当代系统评价
J Pers Med. 2024 Jan 31;14(2):167. doi: 10.3390/jpm14020167.

本文引用的文献

1
Antibiotic therapy for Shigella dysentery.志贺氏菌痢疾的抗生素治疗。
Cochrane Database Syst Rev. 2009 Oct 7(4):CD006784. doi: 10.1002/14651858.CD006784.pub2.
2
Case-control study of shigellosis in San Francisco: the role of sexual transmission and HIV infection.旧金山志贺氏菌病的病例对照研究:性传播与艾滋病毒感染的作用
Clin Infect Dis. 2007 Feb 1;44(3):327-34. doi: 10.1086/510593. Epub 2006 Dec 29.
3
Shigellosis with bacteremia: a report of two cases and a review of the literature.志贺氏菌病合并菌血症:两例报告及文献复习
Pediatr Infect Dis. 1983 Jan-Feb;2(1):21-6.
4
Colonic perforation in Shigella dysenteriae 1 infection.痢疾志贺菌1型感染中的结肠穿孔
Pediatr Infect Dis. 1986 Jan-Feb;5(1):103-4. doi: 10.1097/00006454-198601000-00019.
5
Inoculum size in shigellosis and implications for expected mode of transmission.志贺氏菌病中的接种量及其对预期传播方式的影响。
J Infect Dis. 1989 Jun;159(6):1126-8. doi: 10.1093/infdis/159.6.1126.
6
The association of Shiga toxin and other cytotoxins with the neurologic manifestations of shigellosis.志贺毒素及其他细胞毒素与志贺氏菌病神经学表现的关联。
J Infect Dis. 1990 May;161(5):961-5. doi: 10.1093/infdis/161.5.961.
7
Potentially lethal complications of shigellosis.
Rev Infect Dis. 1991 Mar-Apr;13 Suppl 4:S319-24. doi: 10.1093/clinids/13.supplement_4.s319.
8
Morphology of rectal mucosa of patients with shigellosis.
Rev Infect Dis. 1991 Mar-Apr;13 Suppl 4:S314-8. doi: 10.1093/clinids/13.supplement_4.s314.
9
Superiority of MacConkey's agar over salmonella-shigella agar for isolation of Shigella dysenteriae type 1.麦康凯琼脂在分离1型痢疾志贺菌方面优于沙门菌-志贺菌琼脂。
J Infect Dis. 1975 Jun;131(6):700-3. doi: 10.1093/infdis/131.6.700.