Guerra Ana C, Batista Dário, Aleixo Maria J, Saraiva Paulo, Aguas Maria J
Infectious Diseases Department, Garcia de Orta Hospital, Avenida Torrado da Silva, 2801-951 Almada, Portugal.
Internal Medicine Department, Garcia de Orta Hospital, Avenida Torrado da Silva, 2801-951 Almada, Portugal.
Case Rep Infect Dis. 2015;2015:260640. doi: 10.1155/2015/260640. Epub 2015 Mar 2.
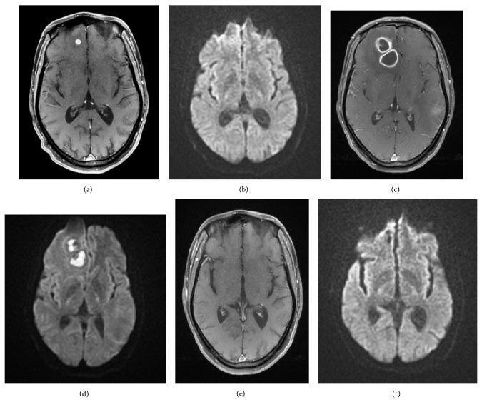
Background. Nocardiosis is a rare disease that mainly affects severely immunocompromised patients. Symptoms are nonspecific and microbiological isolation is difficult, hiding the diagnosis. Treatment should be guided by species and susceptibility testing. Findings. We report a clinical case of a disseminated nocardiosis in a patient with HIV and HVB infections. Interpretation. Diagnosis should be presumed early and microbiological conditions should be optimized, in order to identify the species and achieve antibiotic susceptibility testing. This is a very important step to choose an effective therapeutic regimen or alternative options.
背景。诺卡菌病是一种罕见疾病,主要影响严重免疫功能低下的患者。症状不具有特异性,微生物分离困难,从而掩盖了诊断。治疗应依据菌种和药敏试验来指导。研究结果。我们报告了一例合并人类免疫缺陷病毒(HIV)和乙型肝炎病毒(HVB)感染患者发生播散性诺卡菌病的临床病例。解读。应尽早做出诊断并优化微生物学检测条件,以便鉴定菌种并进行抗生素药敏试验。这是选择有效治疗方案或替代方案的非常重要的一步。