Suppr超能文献

结节病因肾血管损伤表现为严重的肾素依赖性高血压。

Sarcoidosis presenting as severe renin-dependent hypertension due to kidney vascular injury.

作者信息

Rafat Cedric, Bobrie Guillaume, Chedid Antoine, Nochy Dominique, Hernigou Anne, Plouin Pierre-François

机构信息

Hypertension Unit , Université Paris Descartes, Assistance Publique-Hôpitaux de Paris, Hôpital Européen Georges Pompidou , Paris Cedex 15 , France.

Department of Pathology , Université Paris Descartes, Assistance Publique-Hôpitaux de Paris, Hôpital Européen Georges Pompidou , Paris Cedex 15 , France.

出版信息

Clin Kidney J. 2014 Aug;7(4):383-6. doi: 10.1093/ckj/sfu060. Epub 2014 Jun 23.

Abstract

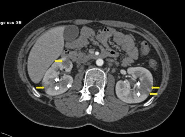
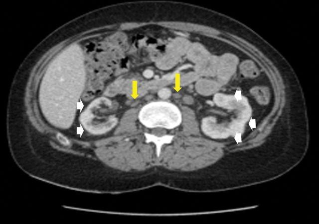
Renal sarcoidosis embraces a wide variety of clinical patterns. Renal vascular involvement has seldom been reported and usually in the setting of systemic vasculitis. We report the case of a 22-year-old patient in whom inaugural manifestation of renal sarcoidosis consisted of severe hypertension associated with bilateral perfusion defects and tumour-like nodules. In the setting of renal sarcoidosis, our case suggests that renin-dependant hypertension may arise from renal ischaemia as a result of extrinsic compression of kidney blood vessels due to severe granulomatous inflammation.

摘要

肾结节病有多种临床类型。肾血管受累鲜有报道,且通常发生在系统性血管炎的背景下。我们报告一例22岁患者,其肾结节病的首发表现为严重高血压,伴有双侧灌注缺损和肿瘤样结节。在肾结节病的情况下,我们的病例提示,肾素依赖性高血压可能源于严重肉芽肿性炎症导致肾血管外部受压引起的肾缺血。

https://cdn.ncbi.nlm.nih.gov/pmc/blobs/ffec/4377806/74fe13119dc9/sfu06001.jpg

文献检索

告别复杂PubMed语法,用中文像聊天一样搜索,搜遍4000万医学文献。AI智能推荐,让科研检索更轻松。

立即免费搜索

文件翻译

保留排版,准确专业,支持PDF/Word/PPT等文件格式,支持 12+语言互译。

免费翻译文档

深度研究

AI帮你快速写综述,25分钟生成高质量综述,智能提取关键信息,辅助科研写作。

立即免费体验