Suppr超能文献

微小RNA-199a-3p通过调节AKT/mTOR信号通路抑制胶质瘤细胞增殖。

MicroRNA-199a-3p suppresses glioma cell proliferation by regulating the AKT/mTOR signaling pathway.

作者信息

Shen Liang, Sun Chunming, Li Yanyan, Li Xuetao, Sun Ting, Liu Chuanjin, Zhou Youxin, Du Ziwei

机构信息

Neurosurgery and Brain and Nerve Research Laboratory, The First Affiliated Hospital of Soochow University, 188 Shizi Street, Suzhou, Jiangsu, 215006, People's Republic of China.

出版信息

Tumour Biol. 2015 Sep;36(9):6929-38. doi: 10.1007/s13277-015-3409-z. Epub 2015 Apr 9.

Abstract

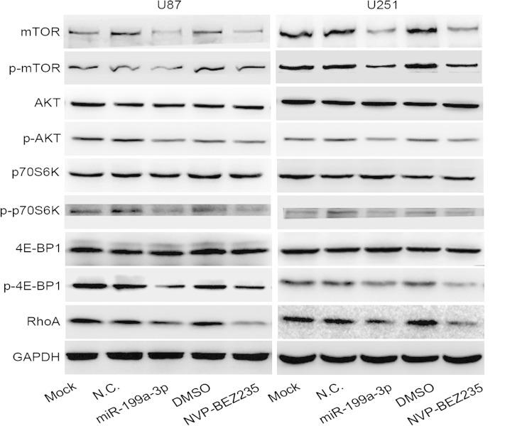
Glioma has been investigated for decades, but the prognosis remains poor because of rapid proliferation, its aggressive potential, and its resistance to chemotherapy or radiotherapy. The mammalian target of rapamycin (mTOR) is highly expressed and regulates cellular proliferation and cell growth. MicroRNAs (miRNAs) are small non-coding RNAs that regulate gene transcription and translation via up-regulating or down-regulating the levels of miRNAs. This study was conducted to explore the molecular functions of miR-199a-3p in glioma. We detected the expression of miR-199a-3p in glioma samples by quantitative PCR (qPCR). Then, we transfected the U87 and U251 cell lines with miR-199a-3p. Cellular proliferation, invasion, and apoptosis were assessed to explain the function of miR-199a-3p. PCR confirmed that the expression of miR-199a-3p was lower in glioma samples combined with normal brain tissues. The over-expression of miR-199a-3p might target mTOR and restrained cellular growth and proliferation but not invasive and apoptosis capability. Results indicated that cellular proliferation was inhibited to regulate the AKT/mTOR signaling pathway by elevating levels of miR-199a-3p. MiR-199a-3p in glioma cell lines has effects similar to the tumor suppressor gene on cellular proliferation via the AKT/mTOR signaling pathway.

摘要

几十年来,胶质瘤一直是研究对象,但由于其快速增殖、侵袭性潜力以及对化疗或放疗的抗性,其预后仍然很差。雷帕霉素的哺乳动物靶点(mTOR)高度表达并调节细胞增殖和细胞生长。微小RNA(miRNA)是小的非编码RNA,通过上调或下调miRNA水平来调节基因转录和翻译。本研究旨在探索miR-199a-3p在胶质瘤中的分子功能。我们通过定量PCR(qPCR)检测了胶质瘤样本中miR-199a-3p的表达。然后,我们用miR-199a-3p转染U87和U251细胞系。评估细胞增殖、侵袭和凋亡以解释miR-199a-3p的功能。PCR证实,与正常脑组织相比,胶质瘤样本中miR-199a-3p的表达较低。miR-199a-3p的过表达可能靶向mTOR并抑制细胞生长和增殖,但不影响侵袭和凋亡能力。结果表明,通过提高miR-199a-3p水平可抑制细胞增殖,从而调节AKT/mTOR信号通路。胶质瘤细胞系中的miR-199a-3p通过AKT/mTOR信号通路对细胞增殖具有类似于肿瘤抑制基因的作用。

https://cdn.ncbi.nlm.nih.gov/pmc/blobs/49d5/4644202/cc25f1b5925c/13277_2015_3409_Fig1_HTML.jpg

文献AI研究员

20分钟写一篇综述,助力文献阅读效率提升50倍。

立即体验

用中文搜PubMed

大模型驱动的PubMed中文搜索引擎

马上搜索

文档翻译

学术文献翻译模型,支持多种主流文档格式。

立即体验