Suppr超能文献

经骨膜的脑膜瘤侵犯窦汇、上矢状窦、横窦、颅骨和头皮的手术治疗

Surgical management of a transosseous meningioma with invasion of torcula, superior sagittal sinus, transverse sinus, calvaria, and scalp.

作者信息

Mazur Marcus D, Neil Jayson A, Agarwal Cori, Jensen Randy L, Couldwell William T

机构信息

Department of Neurosurgery, Clinical Neurosciences Center, University of Utah, 175 N, Medical Drive East, Salt Lake City, Utah 84132, USA.

Department of Plastic and Reconstructive Surgery, University of Utah, 100 N, Medical Drive, Salt Lake City, Utah 84132, USA.

出版信息

Surg Neurol Int. 2015 Mar 20;6:40. doi: 10.4103/2152-7806.153708. eCollection 2015.

Abstract

BACKGROUND

Meningiomas involving both intradural and extradural structures are rare tumors. We report the complete resection of a massive complex transosseous meningioma that had invaded the torcula, superior sagittal sinus, occipital bone, and scalp.

CASE DESCRIPTION

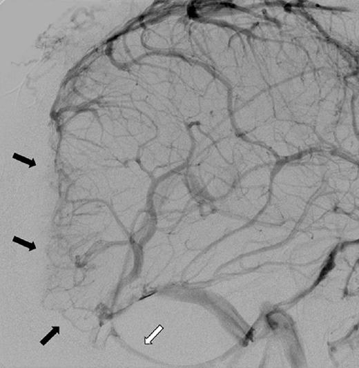
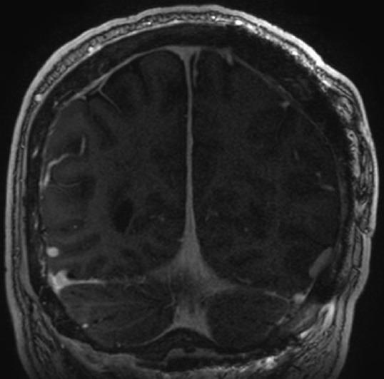
A 48-year-old male presented after 3 days of worsening headaches and blurry vision. Preoperative imaging demonstrated an 11 × 5-cm extra-axial mass that avidly enhanced with gadolinium in the region of the torcula. Angiography demonstrated occlusion of the involved portions of the superior sagittal sinus, torcula, and proximal left transverse sinus. Cortical drainage occurred via the veins of Labbι and deep drainage via an occipital sinus. Using image-guided stereotaxy, a wide-excision scalp resection and craniectomy with sinus exploration was planned for complete tumor removal. Parasitized cortical veins were preserved. Occluded portions of the superior sagittal sinus and left transverse sinus were resected along with the invaded parts of the falx and tentorium. The walls of the straight sinus, torcula, and right transverse sinus were repaired primarily to facilitate deep drainage. A latissimus dorsi free flap was used to reconstruct the scalp defect. Routine follow-up magnetic resonance imaging (MRI) at 18 months demonstrated no evidence of recurrence or regrowth.

CONCLUSIONS

This case illustrates the importance of identifying aberrant venous drainage pathways when considering ligation and resection of major sinuses and discusses the management of calvarial and scalp invasion.

摘要

背景

累及硬膜内和硬膜外结构的脑膜瘤是罕见肿瘤。我们报告了一例巨大复杂性经骨脑膜瘤的完整切除,该肿瘤侵犯了窦汇、上矢状窦、枕骨和头皮。

病例描述

一名48岁男性在头痛和视力模糊加重3天后就诊。术前影像学检查显示一个11×5厘米的轴外肿块,在窦汇区域钆增强明显。血管造影显示上矢状窦、窦汇和左侧横窦近端受累部分闭塞。皮质引流通过Labbe静脉进行,深部引流通过枕窦进行。采用影像引导立体定向技术,计划进行广泛的头皮切除和颅骨切除术并探查窦,以完整切除肿瘤。保留寄生的皮质静脉。切除上矢状窦和左侧横窦的闭塞部分以及镰和小脑幕的受累部分。直接修复直窦、窦汇和右侧横窦的壁以促进深部引流。使用背阔肌游离皮瓣修复头皮缺损。18个月的常规随访磁共振成像(MRI)显示无复发或再生长迹象。

结论

本病例说明了在考虑结扎和切除主要静脉窦时识别异常静脉引流途径的重要性,并讨论了颅骨和头皮侵犯的处理方法。

https://cdn.ncbi.nlm.nih.gov/pmc/blobs/3b96/4392537/8c55636bf974/SNI-6-40-g001.jpg

文献AI研究员

20分钟写一篇综述,助力文献阅读效率提升50倍。

立即体验

用中文搜PubMed

大模型驱动的PubMed中文搜索引擎

马上搜索

文档翻译

学术文献翻译模型,支持多种主流文档格式。

立即体验