Guimaraes Isabella M, Carvalho Toniana G, Ferguson Stephen Sg, Pereira Grace S, Ribeiro Fabiola M
Departamento de Bioquimica e Imunologia, Instituto de Ciencias Biologicas, Universidade Federal de Minas Gerais, Belo Horizonte, 31270-901, Brazil.
J. Allyn Taylor Centre for Cell Biology, Robarts Research Institute, University of Western Ontario, London, Ontario, N6A 5 K8, Canada.
Mol Brain. 2015 Apr 10;8:24. doi: 10.1186/s13041-015-0113-2.
The metabotropic glutamate receptor 5 (mGluR5) is involved in various brain functions, including memory, cognition and motor behavior. Regarding locomotor activity, we and others have demonstrated that pharmacological antagonism of mGluR5 promotes hyperkinesia in mice. Moreover, increased locomotor activity can also be observed in mice following the genetic deletion of mGluR5. However, it is still unclear which specific brain substrates contribute to mGluR5-mediated regulation of motor function.
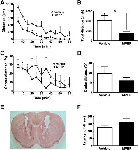
Thus, to better understand the role of mGluR5 in motor control and to determine which neural substrates are involved in this regulation we performed stereotactic microinfusions of the mGluR5 antagonist, MPEP, into specific brain regions and submitted mice to the open field and rotarod apparatus. Our findings indicate that mGluR5 blockage elicits distinct outcomes in terms of locomotor activity and motor coordination depending on the brain region injected with mGluR5 antagonist. MPEP injection into either the dorsal striatum or dorsal hippocampus resulted in increased locomotor activity, whereas MPEP injection into either the ventral striatum or motor cortex resulted in hypokinesia. Moreover, MPEP injected into the olfactory bulb increased the distance mice traveled in the center of the open field arena. With respect to motor coordination on the rotarod, injection of MPEP into the motor cortex and olfactory bulb elicited decreased latency to fall.
Taken together, our data suggest that not only primarily motor neural substrates, but also limbic and sensory structures are involved in mGluR5-mediated motor behavior.
代谢型谷氨酸受体5(mGluR5)参与多种脑功能,包括记忆、认知和运动行为。关于运动活动,我们和其他人已经证明,mGluR5的药理学拮抗作用会促进小鼠的运动亢进。此外,在mGluR5基因缺失的小鼠中也可观察到运动活动增加。然而,尚不清楚哪些特定的脑底物促成了mGluR5介导的运动功能调节。
因此,为了更好地理解mGluR5在运动控制中的作用,并确定哪些神经底物参与了这种调节,我们将mGluR5拮抗剂MPEP立体定向微量注入特定脑区,并将小鼠置于旷场和转棒实验装置中。我们的研究结果表明,根据注射mGluR5拮抗剂的脑区不同,mGluR5阻断在运动活动和运动协调方面会引发不同的结果。向背侧纹状体或背侧海马体注射MPEP会导致运动活动增加,而向腹侧纹状体或运动皮层注射MPEP会导致运动减退。此外,向嗅球注射MPEP会增加小鼠在旷场中央区域的行进距离。关于转棒实验中的运动协调,向运动皮层和嗅球注射MPEP会导致跌落潜伏期缩短。
综上所述,我们的数据表明,不仅主要的运动神经底物,而且边缘和感觉结构都参与了mGluR5介导的运动行为。