• 文献检索
  • 文档翻译
  • 深度研究
  • 学术资讯
  • Suppr Zotero 插件Zotero 插件
  • 邀请有礼
  • 套餐&价格
  • 历史记录
应用&插件
Suppr Zotero 插件Zotero 插件浏览器插件Mac 客户端Windows 客户端微信小程序
定价
高级版会员购买积分包购买API积分包
服务
文献检索文档翻译深度研究API 文档MCP 服务
关于我们
关于 Suppr公司介绍联系我们用户协议隐私条款
关注我们

Suppr 超能文献

核心技术专利:CN118964589B侵权必究
粤ICP备2023148730 号-1Suppr @ 2026

文献检索

告别复杂PubMed语法,用中文像聊天一样搜索,搜遍4000万医学文献。AI智能推荐,让科研检索更轻松。

立即免费搜索

文件翻译

保留排版,准确专业,支持PDF/Word/PPT等文件格式,支持 12+语言互译。

免费翻译文档

深度研究

AI帮你快速写综述,25分钟生成高质量综述,智能提取关键信息,辅助科研写作。

立即免费体验

接受血液透析患者椎管内肿瘤性病变的鉴别诊断

Differential diagnosis of tumoral lesions in the spinal canal in patients undergoing hemodialysis.

作者信息

Wada Keiji, Murata Yasuaki, Kato Yoshiharu

机构信息

Department of Orthopedic Surgery, Tokyo Women's Medical University, Tokyo, Japan.

出版信息

Asian Spine J. 2015 Apr;9(2):194-9. doi: 10.4184/asj.2015.9.2.194. Epub 2015 Apr 15.

DOI:10.4184/asj.2015.9.2.194
PMID:25901229
原文链接:https://pmc.ncbi.nlm.nih.gov/articles/PMC4404532/
Abstract

STUDY DESIGN

A retrospective study.

PURPOSE

To clarify the features useful for the differential diagnosis of spinal canal tumoral lesions in patients undergoing hemodialysis.

OVERVIEW OF LITERATURE

Tumoral lesions in the spinal canal are rarely found in hemodialysis patients. Therefore, the differential diagnosis of tumoral lesions in the spinal canal in hemodialysis patients has been very difficult.

METHODS

Spinal canal tumors in 17 patients undergoing hemodialysis or continuous ambulatory peritoneal dialysis were investigated. Histopathological analysis was conducted for all specimens obtained during surgery. The tumoral lesions were categorized into 3 groups on the basis of histopathology: spinal cord tumor, amyloidoma, and other. Patient medical history and diagnostic images of each group were reviewed.

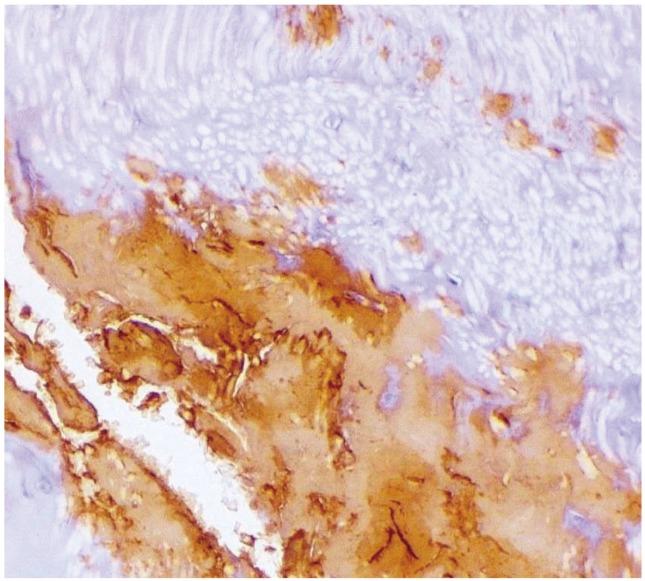
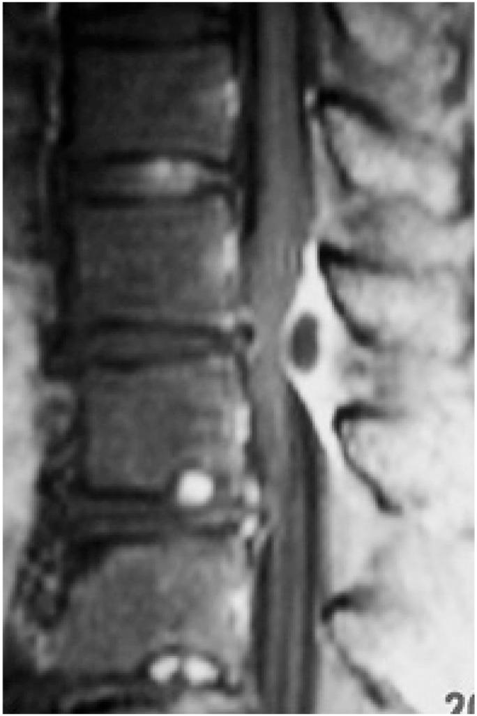
RESULTS

Eight of 17 cases were histopathologically diagnosed as spinal cord tumors and were neurinomas, 6 were amyloidomas, and 3 were classified as other. The rate of spinal cord tumors was 47.1% (8 of 17 cases), which revealed the most frequent lesion type. The rate of amyloidomas and other types was 35.3% (6 of 17 cases) and 17.6% (3 of 17cases), respectively. In the amyloidoma group, the mean duration of hemodialysis (24.3 years) was longer than that of spinal cord tumors and other types (9.2 years and 8.6 years, respectively). All spinal cord tumors were intradural extramedullary, whereas all amyloidomas and other types were extradural.

CONCLUSIONS

The rate of each tumoral lesion, the duration of hemodialysis, and the tumoral localization are important features for the differential diagnosis of tumoral lesions in the spinal canal in hemodialysis patients.

摘要

研究设计

一项回顾性研究。

目的

阐明有助于对接受血液透析患者椎管肿瘤性病变进行鉴别诊断的特征。

文献综述

血液透析患者很少发生椎管肿瘤性病变。因此,对血液透析患者椎管肿瘤性病变进行鉴别诊断非常困难。

方法

对17例接受血液透析或持续性非卧床腹膜透析的患者的椎管肿瘤进行了研究。对手术中获取的所有标本进行组织病理学分析。根据组织病理学将肿瘤性病变分为3组:脊髓肿瘤、淀粉样瘤和其他类型。回顾了每组患者的病史和诊断图像。

结果

17例患者中,8例经组织病理学诊断为脊髓肿瘤,均为神经鞘瘤;6例为淀粉样瘤;3例归为其他类型。脊髓肿瘤的发生率为47.1%(17例中的8例),是最常见的病变类型。淀粉样瘤和其他类型的发生率分别为35.3%(17例中的6例)和17.6%(17例中的3例)。在淀粉样瘤组中,血液透析的平均时长(24.3年)长于脊髓肿瘤组和其他类型组(分别为9.2年和8.6年)。所有脊髓肿瘤均为硬膜内髓外肿瘤,而所有淀粉样瘤和其他类型肿瘤均为硬膜外肿瘤。

结论

每种肿瘤性病变的发生率、血液透析时长以及肿瘤定位是血液透析患者椎管肿瘤性病变鉴别诊断的重要特征。

https://cdn.ncbi.nlm.nih.gov/pmc/blobs/8a20/4404532/b6d317822fa6/asj-9-194-g004.jpg
https://cdn.ncbi.nlm.nih.gov/pmc/blobs/8a20/4404532/fbcfab6fc436/asj-9-194-g001.jpg
https://cdn.ncbi.nlm.nih.gov/pmc/blobs/8a20/4404532/102104df3640/asj-9-194-g002.jpg
https://cdn.ncbi.nlm.nih.gov/pmc/blobs/8a20/4404532/6ee26c5ce483/asj-9-194-g003.jpg
https://cdn.ncbi.nlm.nih.gov/pmc/blobs/8a20/4404532/b6d317822fa6/asj-9-194-g004.jpg
https://cdn.ncbi.nlm.nih.gov/pmc/blobs/8a20/4404532/fbcfab6fc436/asj-9-194-g001.jpg
https://cdn.ncbi.nlm.nih.gov/pmc/blobs/8a20/4404532/102104df3640/asj-9-194-g002.jpg
https://cdn.ncbi.nlm.nih.gov/pmc/blobs/8a20/4404532/6ee26c5ce483/asj-9-194-g003.jpg
https://cdn.ncbi.nlm.nih.gov/pmc/blobs/8a20/4404532/b6d317822fa6/asj-9-194-g004.jpg

相似文献

1
Differential diagnosis of tumoral lesions in the spinal canal in patients undergoing hemodialysis.接受血液透析患者椎管内肿瘤性病变的鉴别诊断
Asian Spine J. 2015 Apr;9(2):194-9. doi: 10.4184/asj.2015.9.2.194. Epub 2015 Apr 15.
2
Surgical management of ventral intradural spinal lesions.脊髓腹侧硬脊膜内病变的外科治疗。
J Neurosurg Spine. 2011 Jul;15(1):28-37. doi: 10.3171/2011.3.SPINE1095. Epub 2011 Apr 15.
3
[Localization of spinal tumors by MRI].[脊髓肿瘤的磁共振成像定位]
Rinsho Hoshasen. 1989 Feb;34(2):191-8.
4
Spinal extradural en plaque meningiomas: clinical features and long-term outcomes of 12 cases.脊柱硬膜外片状脑膜瘤:12例临床特征及长期预后
J Neurosurg Spine. 2014 Dec;21(6):892-8. doi: 10.3171/2014.7.SPINE13819. Epub 2014 Sep 19.
5
[Spinal intradural tumors].[脊髓硬膜内肿瘤]
Radiologe. 2004 Dec;44(12):1211-27; quiz 1228. doi: 10.1007/s00117-004-1135-4.
6
Modified paramedian transpedicular approach and spinal reconstruction for intradural tumors of the cervical and cervicothoracic spine: clinical experience.改良旁正中经椎弓根入路及脊柱重建治疗颈段和颈胸段脊髓内肿瘤:临床经验
Spine (Phila Pa 1976). 2007 Mar 15;32(6):E203-10. doi: 10.1097/01.brs.0000257567.91176.76.
7
Accuracy of intraoperative pathological diagnosis using frozen sections of spinal cord lesions.使用脊髓病变冰冻切片进行术中病理诊断的准确性。
Clin Neurol Neurosurg. 2018 Apr;167:117-121. doi: 10.1016/j.clineuro.2018.02.025. Epub 2018 Feb 16.
8
Tumoral calcinosis of the spine: a study of 21 cases.脊柱肿瘤性钙化症:21例研究
Spine (Phila Pa 1976). 2001 Aug 1;26(15):1673-9. doi: 10.1097/00007632-200108010-00009.
9
Differentiated plasma cell myeloma presenting as a solitary spinal amyloidoma: a case report, possible pitfall and review to the literature.表现为孤立性脊柱淀粉样瘤的分化型浆细胞骨髓瘤:一例报告、可能的陷阱及文献复习
Clin Neurol Neurosurg. 2015 Oct;137:1-4. doi: 10.1016/j.clineuro.2015.05.027. Epub 2015 Jun 10.
10
Anatomic Basis for Minimally Invasive Resection of Intradural Extramedullary Lesions in Thoracic Spine.胸椎管内硬脊膜外肿瘤微创切除的解剖学基础。
World Neurosurg. 2018 Jan;109:e770-e777. doi: 10.1016/j.wneu.2017.10.078. Epub 2017 Nov 21.

本文引用的文献

1
Disorders of tumoral calcification of the spine: illustrative case study and review of the literature.脊柱肿瘤性钙化症:病例分析及文献综述
J Spinal Disord Tech. 2007 Feb;20(1):97-103. doi: 10.1097/01.bsd.0000211278.83647.9e.
2
beta(2)-Microglobulin amyloidosis caused spinal cord compression in a long-term haemodialysis patient.β2微球蛋白淀粉样变性在一名长期血液透析患者中导致脊髓压迫。
Spinal Cord. 2007 Apr;45(4):322-6. doi: 10.1038/sj.sc.3101969. Epub 2006 Aug 22.
3
Spinal neurinomas: retrospective analysis and long-term outcome of 179 consecutively operated cases and review of the literature.
脊髓神经鞘瘤:179例连续手术病例的回顾性分析及长期预后并文献复习
Surg Neurol. 2004 Jan;61(1):34-43; discussion 44. doi: 10.1016/s0090-3019(03)00537-8.
4
Spinal-cord compression due to extradural amyloidosis of the cervico-occipital hinge, in a hemodialysed patient. A case report.一名接受血液透析患者因枕颈部硬膜外淀粉样变性导致脊髓压迫。病例报告。
J Neurosurg Sci. 2001 Jun;45(2):120-4.
5
Tumoral calcinosis of the spine: a study of 21 cases.脊柱肿瘤性钙化症:21例研究
Spine (Phila Pa 1976). 2001 Aug 1;26(15):1673-9. doi: 10.1097/00007632-200108010-00009.
6
Dialysis-related spinal canal stenosis: a clinicopathological study on amyloid deposition and its AGE modification.透析相关的椎管狭窄:淀粉样蛋白沉积及其晚期糖基化终产物修饰的临床病理研究
J Neurol Sci. 2000 Sep 15;178(2):114-23. doi: 10.1016/s0022-510x(00)00377-4.
7
Pathologic features of spinal disorders in patients treated with long-term hemodialysis.长期血液透析患者脊柱疾病的病理特征
Spine (Phila Pa 1976). 1998 Oct 1;23(19):2127-33. doi: 10.1097/00007632-199810010-00018.
8
Destructive spondylarthropathy in hemodialyzed patients. A new syndrome.血液透析患者的破坏性脊椎关节病。一种新综合征。
Arthritis Rheum. 1984 Apr;27(4):369-75. doi: 10.1002/art.1780270402.
9
Pseudotumor of the craniocervical junction during long-term hemodialysis.长期血液透析期间的颅颈交界区假瘤
Arthritis Rheum. 1990 Oct;33(10):1567-73. doi: 10.1002/art.1780331015.
10
Spinal cord compression revealing a destructive arthropathy of the atlanto-occipital joint associated with beta-2 microglobulin amyloidosis in a haemodialysed patient.一名接受血液透析的患者出现脊髓压迫,提示寰枕关节存在与β2微球蛋白淀粉样变性相关的破坏性关节病。
Br J Rheumatol. 1992 Jun;31(6):427-8. doi: 10.1093/rheumatology/31.6.427.