• 文献检索
  • 文档翻译
  • 深度研究
  • 学术资讯
  • Suppr Zotero 插件Zotero 插件
  • 邀请有礼
  • 套餐&价格
  • 历史记录
应用&插件
Suppr Zotero 插件Zotero 插件浏览器插件Mac 客户端Windows 客户端微信小程序
定价
高级版会员购买积分包购买API积分包
服务
文献检索文档翻译深度研究API 文档MCP 服务
关于我们
关于 Suppr公司介绍联系我们用户协议隐私条款
关注我们

Suppr 超能文献

核心技术专利:CN118964589B侵权必究
粤ICP备2023148730 号-1Suppr @ 2026

文献检索

告别复杂PubMed语法,用中文像聊天一样搜索,搜遍4000万医学文献。AI智能推荐,让科研检索更轻松。

立即免费搜索

文件翻译

保留排版,准确专业,支持PDF/Word/PPT等文件格式,支持 12+语言互译。

免费翻译文档

深度研究

AI帮你快速写综述,25分钟生成高质量综述,智能提取关键信息,辅助科研写作。

立即免费体验

1,25-二羟维生素D3下调Toll样受体4介导的炎症通路并改善糖尿病大鼠的肝损伤。

1,25(OH)2D3 downregulates the Toll-like receptor 4-mediated inflammatory pathway and ameliorates liver injury in diabetic rats.

作者信息

Wang H, Zhang Q, Chai Y, Liu Y, Li F, Wang B, Zhu C, Cui J, Qu H, Zhu M

机构信息

Department of Endocrinology, Tianjin Medical University General Hospital, Tianjin, 300052, China.

Division of Epidemiology, Human Genetics and Environmental Sciences, University of Texas School of Public Health, Houston, TX, 77030, USA.

出版信息

J Endocrinol Invest. 2015 Oct;38(10):1083-91. doi: 10.1007/s40618-015-0287-6. Epub 2015 Apr 24.

DOI:10.1007/s40618-015-0287-6
PMID:25906757
原文链接:https://pmc.ncbi.nlm.nih.gov/articles/PMC4768236/
Abstract

BACKGROUND

Fatty acid deposition in the liver can activate a number of pro-inflammatory signaling pathways such as the Toll-like receptor 4 (TLR4) pathway, which may be important in the pathogenesis of nonalcoholic steatohepatitis. 1,25(OH)2D3 downregulates the expression of TLR4 and may represent a novel treatment strategy for reducing hepatocyte injury. Therefore, in this study, we investigated the protective effects of 1,25(OH)2D3 on diabetic liver injury in vivo.

METHODS

Streptozotocin (STZ)-induced diabetic rats were randomly divided into five groups and treated with low-dose 1,25(OH)2D3 (0.025 μg/kg/day), medium-dose 1,25(OH)2D3 (0.15 μg/kg/day), high-dose 1,25(OH)2D3 (0.3 μg/kg/day), insulin (protamine zinc insulin 16 U/kg/day, subcutaneous injection), or no intervention (the control group). Sixteen weeks later, the rats were killed, and blood samples were obtained to test lipid profiles and hepatic function. The infiltration of inflammatory cells, the level of fibrosis, and the expression levels of TLR4, nuclear factor-kappa B (NF-κB), and tumor necrosis factor-α (TNF-α) in the liver were analyzed. The hepatocytes were treated with vehicle control, LPS (100 ng), high fat [DMEM + FFA (0.1 mM: palmitic acid, oleic acid, 1:2)], LPS + high fat, vehicle + 1,25(OH)2D3 (10(-7) M), LPS + 1,25(OH)2D3, high fat + 1,25(OH)2D3, or LPS + high fat + 1,25(OH)2D3. RNA and protein were extracted to detect the expression of TLR4 and downstream inflammatory factors such as NF-ΚB, TNF-α, and IL-6. Groups of data were compared by single factor variance analysis.

RESULTS

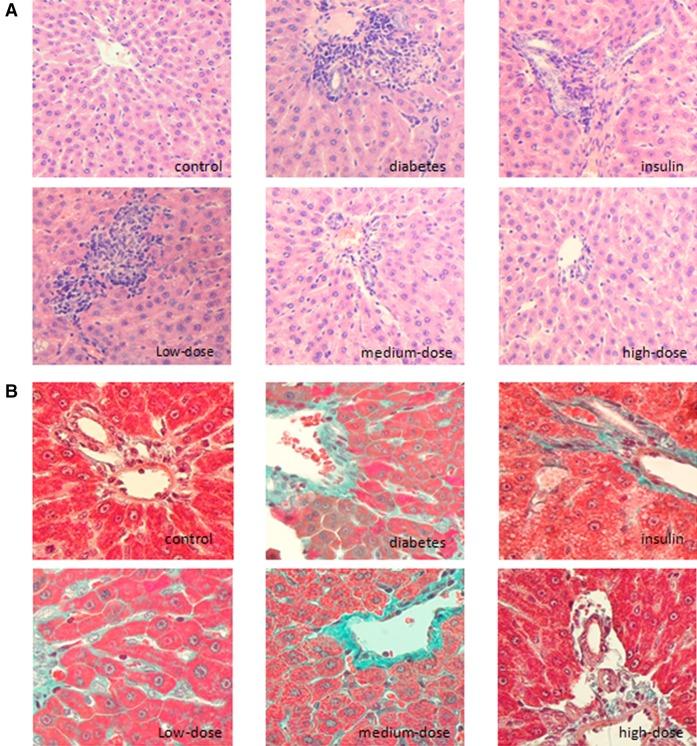
High-dose 1,25(OH)2D3 administration for 16 weeks downregulated the expression of TLR4, NF-κB, and TNF-α in the liver tissue of diabetic rats and attenuated hepatic inflammation and fibrosis, as shown by immunohistochemical staining, hematoxylin and eosin staining, Masson's trichrome staining, reverse transcription polymerase chain reaction (RT-PCR), and western blotting. In vitro, hepatocytes treated with high fat or LPS exhibited significantly increased expression of TLR4, NF-κB, and downstream inflammatory factors (P < 0.05). Intervention with 1,25(OH)2D3 decreased the expression of TLR4, NF-κB, and inflammatory factors (P < 0.05).

CONCLUSIONS

1,25(OH)2D3 exhibited protective effects against diabetes-related liver injury, possibly through downregulation of components of the TLR4 signaling pathway.

摘要

背景

肝脏中的脂肪酸沉积可激活多种促炎信号通路,如Toll样受体4(TLR4)通路,这在非酒精性脂肪性肝炎的发病机制中可能起重要作用。1,25(OH)2D3可下调TLR4的表达,可能代表一种减轻肝细胞损伤的新治疗策略。因此,在本研究中,我们在体内研究了1,25(OH)2D3对糖尿病肝损伤的保护作用。

方法

将链脲佐菌素(STZ)诱导的糖尿病大鼠随机分为五组,分别用低剂量1,25(OH)2D3(0.025μg/kg/天)、中剂量1,25(OH)2D3(0.15μg/kg/天)、高剂量1,25(OH)2D3(0.3μg/kg/天)、胰岛素(精蛋白锌胰岛素16U/kg/天,皮下注射)治疗,或不进行干预(对照组)。16周后,处死大鼠,采集血样检测血脂和肝功能。分析肝脏中炎症细胞浸润、纤维化程度以及TLR4、核因子-κB(NF-κB)和肿瘤坏死因子-α(TNF-α)的表达水平。肝细胞分别用溶剂对照、脂多糖(LPS,100ng)、高脂[DMEM+游离脂肪酸(FFA,0.1mM:棕榈酸、油酸,1:2)]、LPS+高脂、溶剂+1,25(OH)2D3(10⁻⁷M)、LPS+1,25(OH)2D3、高脂+1,25(OH)2D3或LPS+高脂+1,25(OH)2D3处理。提取RNA和蛋白质以检测TLR4及下游炎症因子如NF-ΚB、TNF-α和IL-6的表达。数据组间比较采用单因素方差分析。

结果

高剂量1,25(OH)2D3给药16周可下调糖尿病大鼠肝组织中TLR4、NF-κB和TNF-α的表达,并减轻肝脏炎症和纤维化,免疫组织化学染色、苏木精和伊红染色、Masson三色染色、逆转录聚合酶链反应(RT-PCR)和蛋白质印迹法均显示了这一点。在体外,用高脂或LPS处理的肝细胞中TLR4、NF-κB和下游炎症因子的表达显著增加(P<0.05)。用1,25(OH)2D3干预可降低TLR4、NF-κB和炎症因子的表达(P<0.05)。

结论

1,25(OH)2D3对糖尿病相关肝损伤具有保护作用,可能是通过下调TLR4信号通路的成分来实现的。

https://cdn.ncbi.nlm.nih.gov/pmc/blobs/4120/4768236/5732685279f4/40618_2015_287_Fig4_HTML.jpg
https://cdn.ncbi.nlm.nih.gov/pmc/blobs/4120/4768236/66b24591ff3b/40618_2015_287_Fig1_HTML.jpg
https://cdn.ncbi.nlm.nih.gov/pmc/blobs/4120/4768236/916087696d86/40618_2015_287_Fig2_HTML.jpg
https://cdn.ncbi.nlm.nih.gov/pmc/blobs/4120/4768236/e1be1e3dad56/40618_2015_287_Fig3_HTML.jpg
https://cdn.ncbi.nlm.nih.gov/pmc/blobs/4120/4768236/5732685279f4/40618_2015_287_Fig4_HTML.jpg
https://cdn.ncbi.nlm.nih.gov/pmc/blobs/4120/4768236/66b24591ff3b/40618_2015_287_Fig1_HTML.jpg
https://cdn.ncbi.nlm.nih.gov/pmc/blobs/4120/4768236/916087696d86/40618_2015_287_Fig2_HTML.jpg
https://cdn.ncbi.nlm.nih.gov/pmc/blobs/4120/4768236/e1be1e3dad56/40618_2015_287_Fig3_HTML.jpg
https://cdn.ncbi.nlm.nih.gov/pmc/blobs/4120/4768236/5732685279f4/40618_2015_287_Fig4_HTML.jpg

相似文献

1
1,25(OH)2D3 downregulates the Toll-like receptor 4-mediated inflammatory pathway and ameliorates liver injury in diabetic rats.1,25-二羟维生素D3下调Toll样受体4介导的炎症通路并改善糖尿病大鼠的肝损伤。
J Endocrinol Invest. 2015 Oct;38(10):1083-91. doi: 10.1007/s40618-015-0287-6. Epub 2015 Apr 24.
2
1,25(OH)D provides protection against diabetic kidney disease by downregulating the TLR4-MyD88-NF-κB pathway.1,25(OH)D 通过下调 TLR4-MyD88-NF-κB 通路来预防糖尿病肾病。
Exp Mol Pathol. 2020 Jun;114:104434. doi: 10.1016/j.yexmp.2020.104434. Epub 2020 Mar 30.
3
[Inhibition of Toll-like receptor 4 pathway by TAK242 protects the liver in sepsis].TAK242对Toll样受体4通路的抑制作用在脓毒症中保护肝脏
Zhonghua Wei Zhong Bing Ji Jiu Yi Xue. 2022 Aug;34(8):814-818. doi: 10.3760/cma.j.cn121430-20220420-00395.
4
Effect of nuclear factor-κB and angiotensin II receptor type 1 on the pathogenesis of rat non-alcoholic fatty liver disease.核因子-κB及1型血管紧张素II受体在大鼠非酒精性脂肪性肝病发病机制中的作用
World J Gastroenterol. 2015 May 21;21(19):5877-83. doi: 10.3748/wjg.v21.i19.5877.
5
[Effects of soothing liver and invigorating spleen recipes on LPS-induced hepatocytes injury of rats and TLR4/p38MAPK signal pathway].疏肝健脾方对脂多糖诱导的大鼠肝细胞损伤及TLR4/p38丝裂原活化蛋白激酶信号通路的影响
Zhongguo Zhong Yao Za Zhi. 2014 Oct;39(20):4027-33.
6
Sophocarpine attenuates toll-like receptor 4 in steatotic hepatocytes to suppress pro-inflammatory cytokines synthesis.槐果碱减轻脂肪变性肝细胞中Toll样受体4的表达以抑制促炎细胞因子的合成。
J Gastroenterol Hepatol. 2015 Feb;30(2):405-12. doi: 10.1111/jgh.12691.
7
1,25(OH)2D3-mediated amelioration of aortic injury in streptozotocin-induced diabetic rats.1,25(OH)2D3 介导的对链脲佐菌素诱导的糖尿病大鼠主动脉损伤的改善作用。
Inflammation. 2013 Dec;36(6):1334-43. doi: 10.1007/s10753-013-9672-5.
8
Attenuation of hyperoxia-induced lung injury in neonatal rats by 1α,25-Dihydroxyvitamin D3.1α,25 - 二羟维生素D3减轻新生大鼠高氧诱导的肺损伤
Exp Lung Res. 2015;41(6):344-52. doi: 10.3109/01902148.2015.1039668. Epub 2015 Jul 7.
9
Liraglutide ameliorates inflammation and fibrosis by downregulating the TLR4/MyD88/NF-κB pathway in diabetic kidney disease.利拉鲁肽通过下调糖尿病肾病中 TLR4/MyD88/NF-κB 通路改善炎症和纤维化。
Am J Physiol Regul Integr Comp Physiol. 2024 Oct 1;327(4):R410-R422. doi: 10.1152/ajpregu.00083.2024. Epub 2024 Aug 12.
10
Pretreatment of lipopolysaccharide (LPS) ameliorates D-GalN/LPS induced acute liver failure through TLR4 signaling pathway.脂多糖(LPS)预处理通过Toll样受体4(TLR4)信号通路改善D-氨基半乳糖/脂多糖诱导的急性肝衰竭。
Int J Clin Exp Pathol. 2014 Sep 15;7(10):6626-34. eCollection 2014.

引用本文的文献

1
Active Vitamin D Ameliorates Arsenite-Induced Thyroid Dysfunction in Sprague-Dawley Rats by Inhibiting the Toll-like Receptor 4/NF-KappaB-Mediated Inflammatory Response.活性维生素D通过抑制Toll样受体4/核因子-κB介导的炎症反应改善亚砷酸盐诱导的Sprague-Dawley大鼠甲状腺功能障碍。
Toxics. 2024 Dec 6;12(12):887. doi: 10.3390/toxics12120887.
2
Vitamin D and Metabolic Dysfunction-Associated Steatotic Liver Disease (MASLD): Novel Mechanistic Insights.维生素 D 与代谢相关脂肪性肝病(MASLD):新的机制见解。
Int J Mol Sci. 2024 Apr 30;25(9):4901. doi: 10.3390/ijms25094901.
3
MicroRNAs in Anticancer Drugs Hepatotoxicity: From Pathogenic Mechanism and Early Diagnosis to Therapeutic Targeting by Natural Products.

本文引用的文献

1
The effect of calcitriol on lipid profile and oxidative stress in hyperlipidemic patients with type 2 diabetes mellitus.骨化三醇对2型糖尿病高脂血症患者血脂谱及氧化应激的影响。
ARYA Atheroscler. 2014 Mar;10(2):82-8.
2
Does vitamin D improve liver enzymes, oxidative stress, and inflammatory biomarkers in adults with non-alcoholic fatty liver disease? A randomized clinical trial.维生素D能否改善非酒精性脂肪性肝病成人患者的肝酶、氧化应激和炎症生物标志物?一项随机临床试验。
Endocrine. 2014 Sep;47(1):70-80. doi: 10.1007/s12020-014-0336-5. Epub 2014 Jun 27.
3
Marked 25-hydroxyvitamin D deficiency is associated with poor prognosis in patients with alcoholic liver disease.
微小 RNA 在抗癌药物肝毒性中的作用:从发病机制和早期诊断到天然产物的治疗靶点。
Curr Pharm Biotechnol. 2024;25(14):1791-1806. doi: 10.2174/0113892010282155231222071903.
4
The Anti-Inflammatory Mechanism of Flaxseed Linusorbs on Lipopolysaccharide-Induced RAW 264.7 Macrophages by Modulating TLR4/NF-κB/MAPK Pathway.亚麻籽木酚素通过调节TLR4/NF-κB/MAPK信号通路对脂多糖诱导的RAW 264.7巨噬细胞的抗炎机制
Foods. 2023 Jun 16;12(12):2398. doi: 10.3390/foods12122398.
5
Protective Effect of Vitamin D against Hepatic Molecular Apoptosis Caused by a High-Fat Diet in Rats.维生素D对高脂饮食所致大鼠肝脏分子凋亡的保护作用
Curr Issues Mol Biol. 2023 Jan 5;45(1):479-489. doi: 10.3390/cimb45010031.
6
Vitamin D-VDR Novel Anti-Inflammatory Molecules-New Insights into Their Effects on Liver Diseases.维生素 D-VDR 新型抗炎分子——其对肝脏疾病影响的新见解。
Int J Mol Sci. 2022 Jul 30;23(15):8465. doi: 10.3390/ijms23158465.
7
Vitamin D Combined with Pioglitazone Mitigates Type-2 Diabetes-induced Hepatic Injury Through Targeting Inflammation, Apoptosis, and Oxidative Stress.维生素D联合吡格列酮通过靶向炎症、细胞凋亡和氧化应激减轻2型糖尿病诱导的肝损伤。
Inflammation. 2022 Feb;45(1):156-171. doi: 10.1007/s10753-021-01535-7. Epub 2021 Sep 1.
8
Leflunomide an immunomodulator with antineoplastic and antiviral potentials but drug-induced liver injury: A comprehensive review.来氟米特是一种具有免疫调节、抗肿瘤和抗病毒作用的免疫抑制剂,但也可能导致药物性肝损伤:全面综述。
Int Immunopharmacol. 2021 Apr;93:107398. doi: 10.1016/j.intimp.2021.107398. Epub 2021 Feb 8.
9
Curcumin prevents high-fat diet-induced hepatic steatosis in ApoE mice by improving intestinal barrier function and reducing endotoxin and liver TLR4/NF-κB inflammation.姜黄素通过改善肠道屏障功能、降低内毒素以及减轻肝脏TLR4/NF-κB炎症反应,预防高脂饮食诱导的ApoE小鼠肝脂肪变性。
Nutr Metab (Lond). 2019 Nov 15;16:79. doi: 10.1186/s12986-019-0410-3. eCollection 2019.
10
Bioinformatics analysis of hepatic gene expression profiles in type 2 diabetes mellitus.2型糖尿病肝脏基因表达谱的生物信息学分析
Exp Ther Med. 2019 Dec;18(6):4303-4312. doi: 10.3892/etm.2019.8092. Epub 2019 Oct 10.
维生素 D 缺乏与酒精性肝病患者预后不良相关。
J Hepatol. 2013 Aug;59(2):344-50. doi: 10.1016/j.jhep.2013.03.024. Epub 2013 Apr 1.
4
High serum vitamin D levels reduce the risk for nonalcoholic fatty liver disease in healthy men independent of metabolic syndrome.血清维生素 D 水平较高可降低健康男性非酒精性脂肪性肝病的风险,与代谢综合征无关。
Endocr J. 2013;60(6):743-52. doi: 10.1507/endocrj.ej12-0387. Epub 2013 Feb 13.
5
Saturated fatty acids activate TLR-mediated proinflammatory signaling pathways.饱和脂肪酸激活 TLR 介导的促炎信号通路。
J Lipid Res. 2012 Sep;53(9):2002-13. doi: 10.1194/jlr.D029546. Epub 2012 Jul 4.
6
Vitamin D deficiency in obese rats exacerbates nonalcoholic fatty liver disease and increases hepatic resistin and Toll-like receptor activation.肥胖大鼠的维生素 D 缺乏会加重非酒精性脂肪肝病,并增加肝抵抗素和 Toll 样受体的激活。
Hepatology. 2012 Apr;55(4):1103-11. doi: 10.1002/hep.24737. Epub 2012 Feb 15.
7
Vitamin D ameliorates stress ligand expression elicited by free fatty acids in the hepatic stellate cell line LX-2.维生素D可改善肝星状细胞系LX-2中游离脂肪酸引发的应激配体表达。
Turk J Gastroenterol. 2011 Aug;22(4):400-7. doi: 10.4318/tjg.2011.0254.
8
Vitamin D: an innate antiviral agent suppressing hepatitis C virus in human hepatocytes.维生素 D:一种先天抗病毒剂,可抑制人肝细胞中的丙型肝炎病毒。
Hepatology. 2011 Nov;54(5):1570-9. doi: 10.1002/hep.24575.
9
Low vitamin D levels correlate with the proinflammatory state in type 1 diabetic subjects with and without microvascular complications.维生素 D 水平低与 1 型糖尿病患者伴或不伴微血管并发症的促炎状态相关。
Am J Clin Pathol. 2011 Mar;135(3):429-33. doi: 10.1309/AJCPJGZQX42BIAXL.
10
Impact of artificial sunlight therapy on the progress of non-alcoholic fatty liver disease in rats.人工阳光疗法对大鼠非酒精性脂肪性肝病进展的影响。
J Hepatol. 2011 Aug;55(2):415-25. doi: 10.1016/j.jhep.2010.11.028. Epub 2010 Dec 22.