Suppr超能文献

结核分枝杆菌ClpP1P2蛋白酶与其ATP酶伴侣ClpX和ClpC1发生不对称相互作用。

The Mycobacterium tuberculosis ClpP1P2 Protease Interacts Asymmetrically with Its ATPase Partners ClpX and ClpC1.

作者信息

Leodolter Julia, Warweg Jannis, Weber-Ban Eilika

机构信息

Institute for Molecular Biology & Biophysics, ETH Zurich, Zurich, Switzerland.

出版信息

PLoS One. 2015 May 1;10(5):e0125345. doi: 10.1371/journal.pone.0125345. eCollection 2015.

Abstract

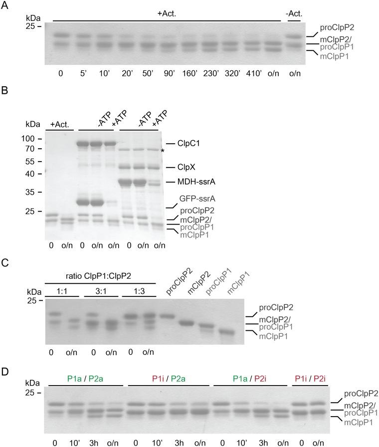
Clp chaperone-proteases are cylindrical complexes built from ATP-dependent chaperonerings that stack onto a proteolytic ClpP double-ring core to carry out substrate protein degradation.Interaction of the ClpP particle with the chaperone is mediated by an N-terminal loop and a hydrophobic surface patch on the ClpP ring surface. In contrast to E. coli, Myco bacterium tuberculosis harbors not only one but two ClpP protease subunits, ClpP1 and ClpP2,and a homo-heptameric ring of each assembles to form the ClpP1P2 double-ring core. Consequently,this hetero double-ring presents two different potential binding surfaces for the interaction with the chaperones ClpX and ClpC1. To investigate whether ClpX or ClpC1 might preferentially interact with one or the other double-ring face, we mutated the hydrophobicchaperone-interaction patch on either ClpP1 or ClpP2, generating ClpP1P2 particles that are defective in one of the two binding patches and thereby in their ability to interact with their chaperone partners. Using chaperone-mediated degradation of ssrA-tagged model substrates, we show that both Mycobacterium tuberculosis Clp chaperones require the intact interaction face of ClpP2 to support degradation, resulting in an asymmetric complex where chaperones only bind to the ClpP2 side of the proteolytic core. This sets the Clpproteases of Mycobacterium tuberculosis, and probably other Actinobacteria, apart from the well-studied E. coli system, where chaperones bind to both sides of the protease core,and it frees the ClpP1 interaction interface for putative new binding partners [corrected].

摘要

Clp伴侣蛋白酶是由依赖ATP的伴侣环构建而成的圆柱形复合物,这些伴侣环堆叠在一个蛋白水解性的ClpP双环核心上,以进行底物蛋白的降解。ClpP颗粒与伴侣的相互作用由ClpP环表面的一个N端环和一个疏水表面区域介导。与大肠杆菌不同,结核分枝杆菌不仅含有一个ClpP蛋白酶亚基,还含有两个,即ClpP1和ClpP2,每个亚基的同型七聚体环组装形成ClpP1P2双环核心。因此,这种异源双环为与伴侣ClpX和ClpC1的相互作用提供了两个不同的潜在结合表面。为了研究ClpX或ClpC1是否可能优先与双环的一个面或另一个面相互作用,我们对ClpP1或ClpP2上的疏水伴侣相互作用区域进行了突变,产生了在两个结合区域之一有缺陷的ClpP1P2颗粒,从而影响了它们与伴侣伙伴相互作用的能力。通过伴侣介导的对带有ssrA标签的模型底物的降解,我们表明结核分枝杆菌的两种Clp伴侣都需要ClpP2完整的相互作用面来支持降解,从而形成一种不对称复合物,其中伴侣只与蛋白水解核心的ClpP2面结合。这使得结核分枝杆菌以及可能其他放线菌的Clp蛋白酶与经过充分研究的大肠杆菌系统不同,在大肠杆菌系统中,伴侣与蛋白酶核心的两侧都结合,并且它为假定的新结合伙伴释放了ClpP1相互作用界面[已修正]。

https://cdn.ncbi.nlm.nih.gov/pmc/blobs/873f/4416901/5ea07d5f534b/pone.0125345.g001.jpg

文献AI研究员

20分钟写一篇综述,助力文献阅读效率提升50倍。

立即体验

用中文搜PubMed

大模型驱动的PubMed中文搜索引擎

马上搜索

文档翻译

学术文献翻译模型,支持多种主流文档格式。

立即体验