Warrier Sanjay, Hwang Sang Y, Gibbings Keagan, Carmalt Hugh, O'Toole Sandra
Department of Breast Surgery, Royal Prince Alfred Hospital, Camperdown, NSW, Australia; Department of Surgery, Prince of Wales Hospital, Randwick, NSW, Australia; Faculty of Medicine, University of Sydney, Australia; RPA Institute of Academic Surgery, Sydney Local Health District, Australia.
Department of Surgery, Prince of Wales Hospital, Randwick, NSW, Australia; Prince of Wales Hospital Clinical School, University of New South Wales, Australia.
Int J Surg Case Rep. 2015;11:91-94. doi: 10.1016/j.ijscr.2015.02.009. Epub 2015 Feb 7.
Phyllodes tumours are rare fibroepithelial malignancies of the breast, accounting for less than 1% of malignant breast tumours. Further malignant differentiation of phyllodes tumours can occur, resulting in cases of extremely rare heterologous sarcomatous differentiation.
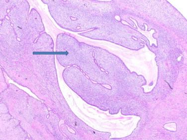
Two females in their fifties were diagnosed with malignant phyllodes tumour associated with heterologous sarcomatous differentiation. The first patient, aged 50 had phyllodes tumour with chondrosarcoma, osteosarcoma and ductal carcinoma-in-situ. The second patient, aged 53 had phyllodes tumour with osteosarcoma and liposarcoma.
The association of phyllodes tumour and heterologous sarcomatous differentiation is rare, with only 4 previously reported cases in English literature. The paucity of evidence presents challenges in its management with uncertain prognosis and monitoring requirements for two aforementioned patients.
Further case series and long-term follow up is required for accurate characterisation of phyllodes tumours with heterologous sarcomatous differentiation.
叶状肿瘤是罕见的乳腺纤维上皮性恶性肿瘤,占乳腺恶性肿瘤的比例不到1%。叶状肿瘤可进一步发生恶性分化,导致极罕见的异源性肉瘤样分化病例。
两名五十多岁的女性被诊断为伴有异源性肉瘤样分化的恶性叶状肿瘤。第一名患者50岁,患有伴有软骨肉瘤、骨肉瘤和原位导管癌的叶状肿瘤。第二名患者53岁,患有伴有骨肉瘤和脂肪肉瘤的叶状肿瘤。
叶状肿瘤与异源性肉瘤样分化的关联罕见,英文文献中此前仅报道过4例。证据的匮乏给其治疗带来了挑战,上述两名患者的预后和监测需求都不确定。
需要进一步的病例系列研究和长期随访,以准确描述伴有异源性肉瘤样分化的叶状肿瘤。