Suppr超能文献

肌动蛋白结合蛋白作为一种分化标志物。在结肠肿瘤中的重新分布。

Fodrin as a differentiation marker. Redistributions in colonic neoplasia.

作者信息

Younes M, Harris A S, Morrow J S

机构信息

Department of Pathology, Yale University School of Medicine, New Haven, Connecticut 06510.

出版信息

Am J Pathol. 1989 Dec;135(6):1197-212.

Abstract

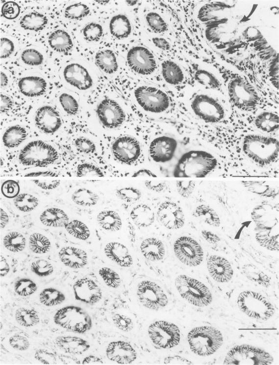
Fodrin (nonerythroid spectrin) is a 475,000 molecular weight (MW) (apparent) heterodimeric actin-binding protein usually found in mature cells at the cytoplasmic face of the plasma membrane. While its precise role is uncertain, it may participate in the establishment and/or maintenance of cell polarity, shape, and specialized receptor domains. In polarized epithelial cells, an asymmetric distribution of fodrin appears to signal phenotypic maturity. Using immunohistochemical techniques, the distribution of fodrin in enterocytes during normal crypt-to-villus maturation, and in adenomas, adenocarcinomas, and cultured Madin-Darby Canine Kidney (MDCK) cells has been studied and its abundance quantitated by immunoblotting and digital immunofluorescent confocal microscopy. During normal maturation, fodrin was found to assemble at the apex of the enterocyte, presumably in the terminal web, only in those cells near the villus tip. Villin was found in an apical location in both crypt and surface enterocytes. In adenocarcinomas of the colon (n = 11), there were enhanced levels of fodrin at the apex, and an approximately threefold increase in the total amount of fodrin per cell relative to normal crypt enterocytes. An increased percentage of this protein was also found in the cytoplasm. Adenomas (n = 7), nonconfluent MDCK cells in culture, and two (of two) cases of ductal carcinoma of the breast also demonstrated enhanced cytoplasmic and total fodrin. Supranormal levels of fodrin at the apex of enterocytes were also observed in Crohn's disease samples and in the normal-appearing enterocytes adjacent to a tumor. It is hypothesized that increased apical fodrin may signal a reaction of the microvillar brush border to pathologic stress, while increased cytoplasmic and total pools of fodrin may mark neoplastic activity. These findings may be of diagnostic value, particularly in the evaluation of small biopsies or cytologic material.

摘要

血影蛋白(非红细胞血影蛋白)是一种分子量为475,000(表观)的异源二聚体肌动蛋白结合蛋白,通常存在于成熟细胞的质膜胞质面。虽然其确切作用尚不确定,但它可能参与细胞极性、形状和特殊受体结构域的建立和/或维持。在极化上皮细胞中,血影蛋白的不对称分布似乎标志着表型成熟。利用免疫组织化学技术,研究了血影蛋白在正常隐窝到绒毛成熟过程中的肠上皮细胞、腺瘤、腺癌以及培养的犬肾Madin-Darby(MDCK)细胞中的分布,并通过免疫印迹和数字免疫荧光共聚焦显微镜对其丰度进行了定量。在正常成熟过程中,仅在绒毛顶端附近的那些细胞中,发现血影蛋白聚集在肠上皮细胞的顶端,可能在终末网中。在隐窝和表面肠上皮细胞的顶端均发现了绒毛蛋白。在11例结肠癌腺癌中,顶端血影蛋白水平升高,相对于正常隐窝肠上皮细胞,每个细胞中血影蛋白的总量增加了约三倍。在细胞质中也发现该蛋白的比例增加。7例腺瘤、培养的未汇合MDCK细胞以及2例(共2例)乳腺导管癌也显示细胞质和总血影蛋白增加。在克罗恩病样本以及肿瘤旁外观正常的肠上皮细胞中也观察到肠上皮细胞顶端血影蛋白水平超常。据推测,顶端血影蛋白增加可能标志着微绒毛刷状缘对病理应激的反应,而细胞质和总血影蛋白池增加可能标志着肿瘤活性。这些发现可能具有诊断价值,特别是在评估小活检或细胞学材料时。

https://cdn.ncbi.nlm.nih.gov/pmc/blobs/af7d/1880505/9c669b75ab9e/amjpathol00120-0237-a.jpg

文献检索

告别复杂PubMed语法,用中文像聊天一样搜索,搜遍4000万医学文献。AI智能推荐,让科研检索更轻松。

立即免费搜索

文件翻译

保留排版,准确专业,支持PDF/Word/PPT等文件格式,支持 12+语言互译。

免费翻译文档

深度研究

AI帮你快速写综述,25分钟生成高质量综述,智能提取关键信息,辅助科研写作。

立即免费体验