Suppr超能文献

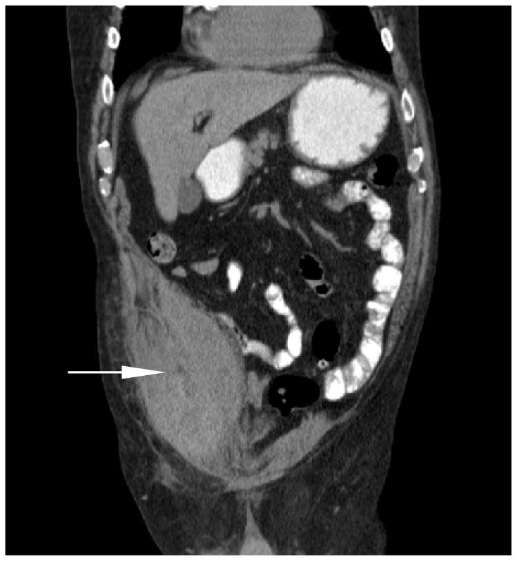
Rectus sheath hematoma: an unfortunate consequence of novel anticoagulants.

作者信息

Stillman Kimberly, Kellar Jesse

机构信息

Lakeland Regional Medical Center, Department of Emergency Medicine, St. Joseph, Michigan.

出版信息

West J Emerg Med. 2015 May;16(3):420-1. doi: 10.5811/westjem.2015.2.25631. Epub 2015 Apr 2.

Abstract
摘要
https://cdn.ncbi.nlm.nih.gov/pmc/blobs/fcda/4427215/5b614886c4cc/wjem-16-420-g001.jpg

文献AI研究员

20分钟写一篇综述,助力文献阅读效率提升50倍。

立即体验

用中文搜PubMed

大模型驱动的PubMed中文搜索引擎

马上搜索

文档翻译

学术文献翻译模型,支持多种主流文档格式。

立即体验