Suppr超能文献

利用磁共振成像三维重建评估超顺磁性氧化铁标记的间充质干细胞在大鼠光血栓性脑梗死模型中的植入情况。

Evaluation of engraftment of superparamagnetic iron oxide-labeled mesenchymal stem cells using three-dimensional reconstruction of magnetic resonance imaging in photothrombotic cerebral infarction models of rats.

作者信息

Shim Jaehyun, Kwak Byung Kook, Jung Jisung, Park Serah

机构信息

Department of Convergence Medicine and Pharmaceutical Biosciences, Chung-Ang University, Seoul 156-756, Korea.

Department of Radiology, Chung-Ang University Hospital, Chung-Ang University College of Medicine, Seoul 156-755, Korea.

出版信息

Korean J Radiol. 2015 May-Jun;16(3):575-85. doi: 10.3348/kjr.2015.16.3.575. Epub 2015 May 13.

Abstract

OBJECTIVE

To evaluate engraftment by visualizing the location of human bone marrow-derived mesenchymal stem cells (hBM-MSCs) three-dimensionally in photothrombotic cerebral infarction (PTCI) models of rats.

MATERIALS AND METHODS

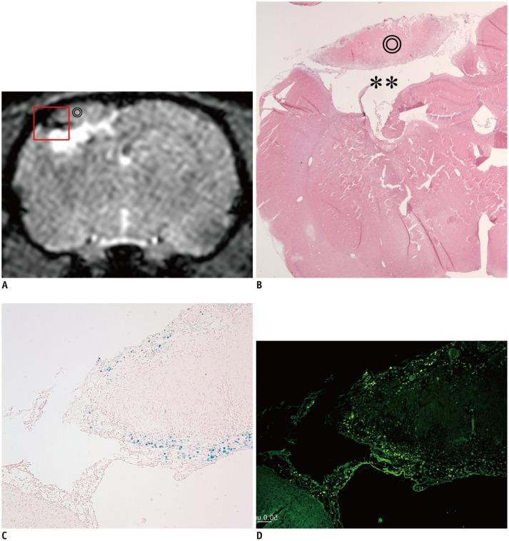
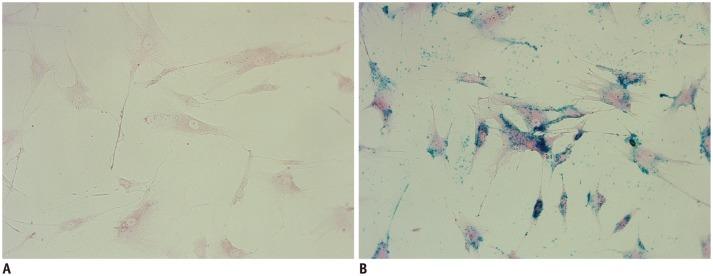
Magnetic resonance imaging (MRI) of an agarose block containing superparamagnetic iron oxide (SPIO)-labeled hBM-MSCs was performed using a 3.0-T MRI, T2-(T2WI), T2()-(T2()WI), and susceptibility-weighted images (SWI). PTCI was induced in 6 rats, and 2.5 × 10(5) SPIO-labeled hBM-MSCs were infused through the ipsilateral internal carotid artery (ICA group) or tail vein (IV group). MRI was performed on days 1, 3, 7, and 14 after stem cell injection. Dark signal regions were confirmed using histology. Three-dimensional MRI reconstruction was performed using the clinical workflow solution to evaluate the engraftment of hBM-MSCs. Volumetric analysis of the engraftment was also performed.

RESULTS

The volumes of SPIO-labeled hBM-MSCs in the phantom MRI were 129.3, 68.4, and 25.9 µL using SWI, T2(*)WI, and T2WI, respectively. SPIO-labeled hBM-MSCs appeared on day 1 after injection, encircling the cerebral infarction from the ventral side. Dark signal regions matched iron positive cells and human origin (positive) cells. The volume of the engraftment was larger in the ICA group on days 1, 3, and 7, after stem cell injection (p < 0.05 on SWI). SWI was the most sensitive MRI pulse sequence (p < 0.05). The volume of infarction decreased until day 14.

CONCLUSION

The engraftment of SPIO-labeled hBM-MSCs can be visualized and evaluated three-dimensionally in PTCI models of rats. The engraftment volume was larger in the ICA group than IV group on early stage within one week.

摘要

目的

通过在大鼠光血栓性脑梗死(PTCI)模型中三维可视化人骨髓间充质干细胞(hBM-MSCs)的位置来评估其植入情况。

材料与方法

使用3.0-T磁共振成像(MRI)对含有超顺磁性氧化铁(SPIO)标记的hBM-MSCs的琼脂糖块进行磁共振成像,包括T2加权成像(T2WI)、T2加权成像(T2WI)和磁敏感加权成像(SWI)。对6只大鼠诱导产生PTCI,并通过同侧颈内动脉(ICA组)或尾静脉(IV组)注入2.5×10⁵个SPIO标记的hBM-MSCs。在干细胞注射后的第1、3、7和14天进行MRI检查。通过组织学确认暗信号区域。使用临床工作流程解决方案进行三维MRI重建以评估hBM-MSCs的植入情况。还对植入情况进行了体积分析。

结果

在体模MRI中,使用SWI、T2*WI和T2WI时,SPIO标记的hBM-MSCs的体积分别为129.3、68.4和25.9微升。SPIO标记的hBM-MSCs在注射后第1天出现,从腹侧环绕脑梗死区域。暗信号区域与铁阳性细胞和人源(阳性)细胞相匹配。在干细胞注射后的第1、3和7天,ICA组的植入体积更大(SWI上p<0.05)。SWI是最敏感的MRI脉冲序列(p<0.05)。梗死体积在第14天前逐渐减小。

结论

在大鼠PTCI模型中,可以三维可视化并评估SPIO标记的hBM-MSCs的植入情况。在一周内的早期阶段,ICA组的植入体积大于IV组。

https://cdn.ncbi.nlm.nih.gov/pmc/blobs/384c/4435988/7380a8f5fd66/kjr-16-575-g001.jpg

文献AI研究员

20分钟写一篇综述,助力文献阅读效率提升50倍。

立即体验

用中文搜PubMed

大模型驱动的PubMed中文搜索引擎

马上搜索

文档翻译

学术文献翻译模型,支持多种主流文档格式。

立即体验