Suppr超能文献

术中硬化治疗头颈部静脉畸形

Intra-operative sclerotherapy for treatment of a head and neck venous malformation.

作者信息

Kourelis K, Johnson P, Girod D

机构信息

Kansas University Medical Center, Department of Otolaryngology, Kansas City, KS, USA;

Kansas University Medical Center, Department of Radiology, Kansas City, KS, USA.

出版信息

Acta Otorhinolaryngol Ital. 2015 Feb;35(1):62-5.

Abstract

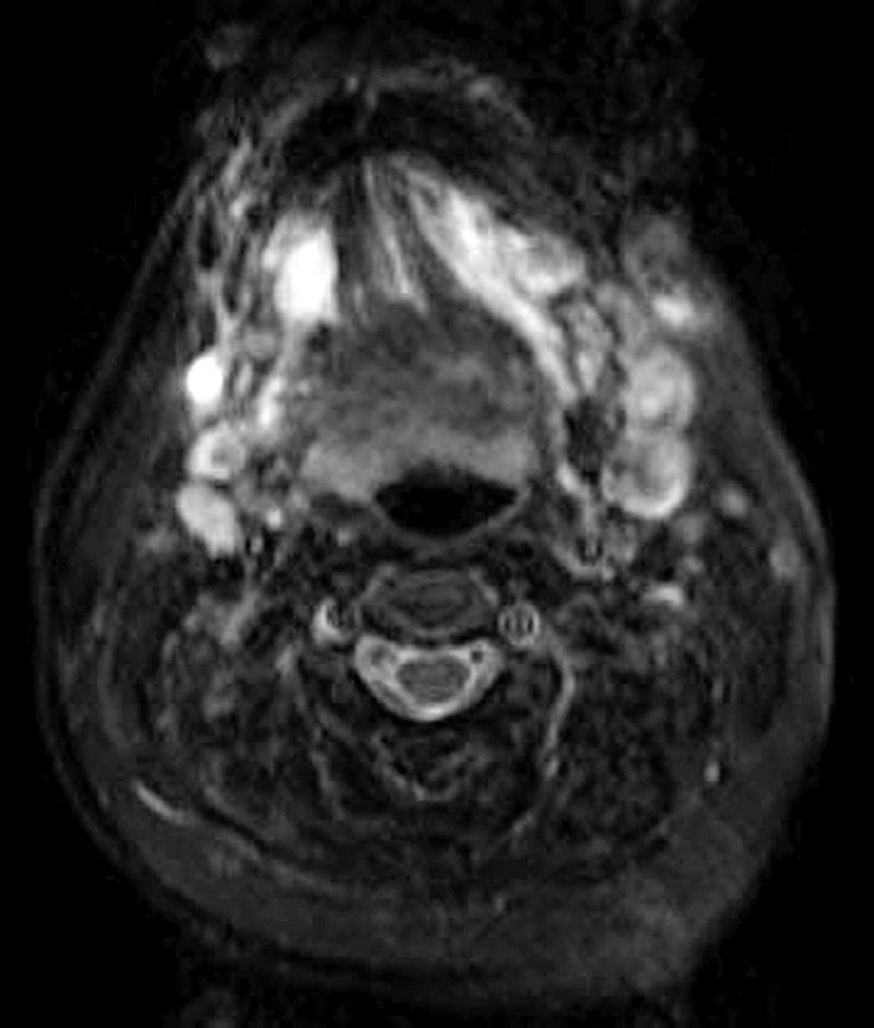
Venous malformations of the head and neck are congenital lesions that grow steadily without spontaneous regression. We describe the management of a 47-year-old woman with an extensive subcutaneous venous malformation of bilateral submandibular regions and the entire tongue, refractory to multiple surgical excisions and percutaneous sclerotherapy sessions. The tumour lacked prominent feeding arteries for embolisation, but maintained high blood outflow via a few substantial venous branches. Sclerotherapy to the lesion was prevented by major communicating branches from the mass to the internal jugular vein bilaterally. Our approach entailed direct surgical access to the malformation, ligation of these communicating veins and intraoperative sclerotherapy with ethanol injection into the vessel stumps.

摘要

头颈部静脉畸形是先天性病变,会持续生长且不会自发消退。我们描述了一名47岁女性的治疗过程,该患者双侧下颌下区域及整个舌头存在广泛的皮下静脉畸形,此前多次手术切除和经皮硬化治疗均无效。该肿瘤缺乏可用于栓塞的明显供血动脉,但通过一些粗大的静脉分支保持着较高的血液流出量。双侧从肿块至颈内静脉的主要交通支阻碍了对病变进行硬化治疗。我们的方法是直接手术暴露畸形,结扎这些交通静脉,并在术中进行硬化治疗,向血管残端注射乙醇。

https://cdn.ncbi.nlm.nih.gov/pmc/blobs/8bf0/4443573/a08ab762d64d/0392-100X-35-62-g001.jpg

文献AI研究员

20分钟写一篇综述,助力文献阅读效率提升50倍。

立即体验

用中文搜PubMed

大模型驱动的PubMed中文搜索引擎

马上搜索

文档翻译

学术文献翻译模型,支持多种主流文档格式。

立即体验