Suppr超能文献

全口义齿修复中的联合修复

Combination restoration in full mouth rehabilitation.

作者信息

Nayar Sanjna, Bhuminathan S, Mahadevan R

机构信息

Department of Prsothodontics, Sree Balaji Dental College and Hospital, Chennai, Tamil Nadu, India.

出版信息

J Pharm Bioallied Sci. 2015 Apr;7(Suppl 1):S288-90. doi: 10.4103/0975-7406.155959.

Abstract

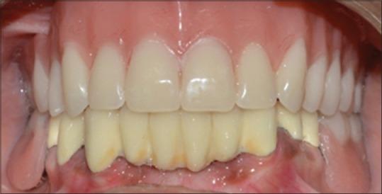
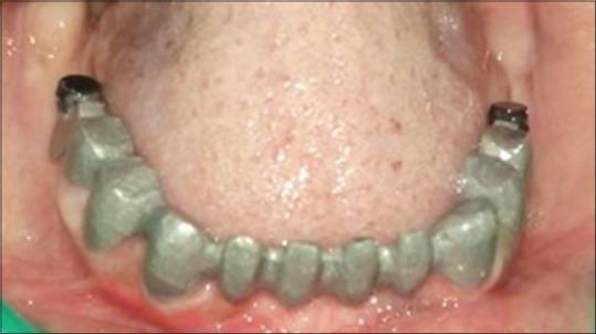
Successful restoration of the dentition requires plenty of contemporary and conventional treatment techniques and planning and attachment retained partial dentures are one such kind of treatment modality in prosthodontics. Satisfactory restoration in a patient with a partially edentulous situation can be challenging especially when unilateral or bilateral posterior segment of teeth is missing. One such treatment modality is attachment-retained cast partial dentures. The purpose of this article is to provide an overview of a case with maxillary complete denture and opposing cast partial denture with precision attachment.

摘要

牙列的成功修复需要大量现代和传统的治疗技术,附着体固位局部义齿是口腔修复学中的一种治疗方式。在部分牙列缺失的患者中实现满意的修复可能具有挑战性,尤其是当单侧或双侧后牙段缺失时。一种这样的治疗方式是附着体固位铸造局部义齿。本文旨在概述一例上颌全口义齿与带精密附着体的对颌铸造局部义齿的病例。

https://cdn.ncbi.nlm.nih.gov/pmc/blobs/82e3/4439695/fbd8a242e3a2/JPBS-7-288-g001.jpg

相似文献

1
Combination restoration in full mouth rehabilitation.
J Pharm Bioallied Sci. 2015 Apr;7(Suppl 1):S288-90. doi: 10.4103/0975-7406.155959.
2
Achieving an esthetic smile with fixed and removal prosthesis using extracoronal castable precision attachments.
J Indian Prosthodont Soc. 2015 Jul-Sep;15(3):284-8. doi: 10.4103/0972-4052.155048.
3
Combined prosthesis with extracoronal castable precision attachments.
Case Rep Dent. 2013;2013:282617. doi: 10.1155/2013/282617. Epub 2013 Dec 9.
4
Precision attachments for aesthetics and function: a case report.
J Clin Diagn Res. 2014 Jan;8(1):268-70. doi: 10.7860/JCDR/2014/6403.3949. Epub 2014 Jan 12.
9
Prosthetic considerations in reconstructive implantology.
Dent Clin North Am. 1986 Jan;30(1):69-83.
10
Maxillary rehabilitation using fixed and removable partial dentures with attachments: a clinical report.
J Prosthodont. 2014 Jan;23(1):58-63. doi: 10.1111/jopr.12069. Epub 2013 May 31.

引用本文的文献

2
Retraction: Combination restoration in full mouth rehabilitation.
J Pharm Bioallied Sci. 2016 Oct;8(Suppl 1):S192. doi: 10.4103/0975-7406.191958.

文献AI研究员

20分钟写一篇综述,助力文献阅读效率提升50倍。

立即体验

用中文搜PubMed

大模型驱动的PubMed中文搜索引擎

马上搜索

文档翻译

学术文献翻译模型,支持多种主流文档格式。

立即体验