Laboratório de Investigação Médica 36, Instituto da Criança, Faculdade de Medicina, Universidade de São Paulo, São Paulo, SP, Brazil.
Unidade de Reumatologia, Instituto da Criança, Faculdade de Medicina, Universidade de São Paulo, São Paulo, SP, Brazil.
Clinics (Sao Paulo). 2015 Mar;70(3):220-7. doi: 10.6061/clinics/2015(03)12. Epub 2015 Mar 1.
To perform a molecular characterization of the C1q, C2 and C4 genes in patients with juvenile systemic lupus erythematosus.
Patient 1 (P1) had undetectable C1q, patient 2 (P2) and patient 3 (P3) had decreased C2 and patient 4 (P4) had decreased C4 levels. All exons and non-coding regions of the C1q and C2 genes were sequenced. Mononuclear cells were cultured and stimulated with interferon gamma to evaluate C1q, C2 and C4 mRNA expression by quantitative real-time polymerase chain reaction.
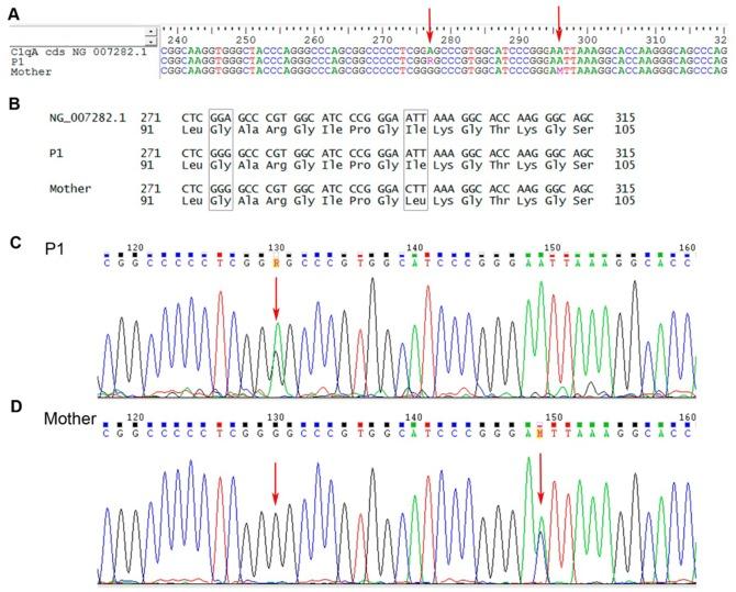
C1q sequencing revealed heterozygous silent mutations in the A (c.276 A>G Gly) and C (c.126 C>T Pro) chains, as well as a homozygous single-base change in the 3' non-coding region of the B chain (c*78 A>G). C1qA mRNA expression without interferon was decreased compared with that of healthy controls (p<0.05) and was decreased after stimulation compared with that of non-treated cells. C1qB mRNA expression was decreased compared with that of controls and did not change with stimulation. C1qC mRNA expression was increased compared with that of controls and was even higher after stimulation. P2 and P3 had Type I C2 deficiency (heterozygous 28 bp deletion at exon 6). The C2 mRNA expression in P3 was 23 times lower compared with that of controls and did not change after stimulation. The C4B mRNA expression of P4 was decreased compared with that of controls and increased after stimulation.
Silent mutations and single-base changes in the 3' non-coding regions may modify mRNA transcription and C1q production. Type I C2 deficiency should be evaluated in JSLE patients with decreased C2 serum levels. Further studies are needed to clarify the role of decreased C4B mRNA expression in JSLE pathogenesis.
对幼年系统性红斑狼疮患者的 C1q、C2 和 C4 基因进行分子特征分析。
患者 1(P1)的 C1q 水平无法检测到,患者 2(P2)和患者 3(P3)的 C2 水平降低,患者 4(P4)的 C4 水平降低。对 C1q 和 C2 基因的所有外显子和非编码区进行测序。培养单核细胞并使用干扰素 γ刺激,通过实时定量聚合酶链反应评估 C1q、C2 和 C4mRNA 的表达。
C1q 测序显示 A(c.276A>G Gly)和 C(c.126C>T Pro)链存在杂合性沉默突变,以及 B 链 3'非编码区的一个纯合单碱基变化(c*78A>G)。与健康对照组相比,干扰素无刺激时 C1qA mRNA 的表达降低(p<0.05),与未经处理的细胞相比,刺激后 C1qA mRNA 的表达进一步降低。与对照组相比,C1qB mRNA 的表达降低,且刺激后无变化。C1qC mRNA 的表达与对照组相比升高,刺激后甚至更高。P2 和 P3 存在 C2 缺陷 I 型(第 6 外显子存在 28bp 缺失杂合子)。P3 的 C2mRNA 表达水平比对照组低 23 倍,刺激后无变化。与对照组相比,P4 的 C4BmRNA 表达降低,刺激后升高。
3'非编码区的沉默突变和单碱基变化可能改变 mRNA 转录和 C1q 的产生。对 C2 血清水平降低的幼年系统性红斑狼疮患者应进行 C2 缺陷 I 型的评估。进一步的研究需要阐明 C4BmRNA 表达降低在幼年系统性红斑狼疮发病机制中的作用。