Suppr超能文献

幼儿肾纤维肌性发育异常的外科治疗

Surgical Treatment of Renal Fibromuscular Dysplasia in a Young Child.

作者信息

Hoksbergen Arjan W J, Renwarin Lennaert, Wisselink Willem

机构信息

Department of Surgery, VU University Medical Center, P.O. Box 7057, 1007 MB Amsterdam, Netherlands.

出版信息

Case Rep Surg. 2015;2015:180393. doi: 10.1155/2015/180393. Epub 2015 May 21.

Abstract

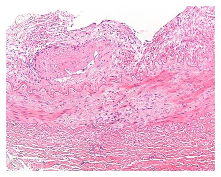
During a routine checkup in a 10-year-old male with Attention-Deficit Hyperactivity Disorder, blood pressure of 180/120 mmHg was found. Physical examination was completely normal. Ultrasound examination showed poststenotic dilatation of the left renal artery which was confirmed by CT-angiography showing a short, high grade stenosis of the left renal artery. Percutaneous Transluminal Angioplasty of the stenosis was not successful and therefore the stenosis was excised with reimplantation of the renal artery in the aorta. Pathological examination of the excised segment showed media-type Fibromuscular Dysplasia (FMD). Six years after surgery, the kidney is completely normal regarding size and function. There are no signs of restenosis of the left renal artery. Nevertheless, the hypertension remained although less severe and requiring less medication.

摘要

在对一名患有注意力缺陷多动障碍的10岁男性进行常规体检时,发现血压为180/120 mmHg。体格检查完全正常。超声检查显示左肾动脉狭窄后扩张,CT血管造影证实左肾动脉有一段短而严重的狭窄。经皮腔内血管成形术治疗狭窄未成功,因此切除狭窄段并将肾动脉重新植入主动脉。切除段的病理检查显示为中膜型纤维肌发育不良(FMD)。手术后六年,肾脏大小和功能完全正常。左肾动脉没有再狭窄的迹象。然而,高血压仍然存在,尽管程度较轻,所需药物也较少。

https://cdn.ncbi.nlm.nih.gov/pmc/blobs/63e4/4454712/a688f44e5844/CRIS2015-180393.001.jpg

文献AI研究员

20分钟写一篇综述,助力文献阅读效率提升50倍。

立即体验

用中文搜PubMed

大模型驱动的PubMed中文搜索引擎

马上搜索

文档翻译

学术文献翻译模型,支持多种主流文档格式。

立即体验