Suppr超能文献

增强CT上的节段性低密度区是诊断分支动脉纤维肌发育不良的一个可能线索。

Segmental low-density area on contrast-enhanced CT is a possible clue to diagnosing branch artery fibromuscular dysplasia.

作者信息

Kiyohara Yuko, Hirose Rei, Kawamata Hiroshi, Nakai Kazuki, Hirataka Akane, Saito Jun, Tsurutani Yuya

机构信息

Department of Medicine, Yokohama Rosai Hospital, Yokohama, Japan.

Endocrinology and Diabetes Center, Yokohama Rosai Hospital, Yokohama, Japan.

出版信息

Endocrinol Diabetes Metab Case Rep. 2023 Nov 23;2023(4). doi: 10.1530/EDM-23-0054. Print 2023 Oct 1.

Abstract

SUMMARY

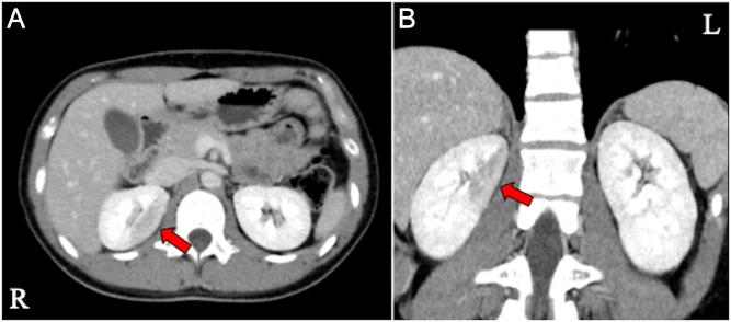
Fibromuscular dysplasia can cause renovascular hypertension. Since fibromuscular dysplasia may be underdiagnosed, precise diagnosis and management are crucial, especially for young women. A 20-year-old woman with hypertension and hypokalemia was referred to our hospital for further evaluation of secondary hypertension. At the previous hospital, her blood pressure was 160/110 mmHg and the serum potassium level was 2.9 mEq/L. The equilibrium phase on contrast-enhanced computed tomography revealed a low-density area in the upper median portion of the right kidney. On admission to our hospital, her blood pressure was 141/96 mmHg under 5 mg of amlodipine. Laboratory tests revealed plasma renin activity of 11.3 ng/mL/h and plasma aldosterone concentration of 117.1 pg/mL. Renal venous sampling of active renin concentration showed a right-to-left renin ratio of 3.13, confirming a significant increase in renin secretion from the right kidney. Selective reno-angiography detected focal stenosis with adjacent aneurysmal dilation and tortuosity in the proximal branch of the right renal artery. She was diagnosed with branch artery fibromuscular dysplasia and successfully treated with percutaneous transluminal angioplasty. After the treatment, she was free from hypertension and hypokalemia without any medications. Since branch artery fibromuscular dysplasia is sometimes difficult to diagnose, contrast-enhanced computed tomography can be a promising diagnostic tool as shown in this case. Concerning treatment, our patient was treated with percutaneous transluminal angioplasty, which should be considered for women of reproductive age because recommended antihypertensive medications can be teratogenic even in the first trimester of pregnancy.

LEARNING POINTS

Although branch artery fibromuscular dysplasia (FMD) is sometimes difficult to diagnose, it should be considered in patients with high-renin, high-aldosterone hypertension. Branch artery FMD can present with a low-density area of the kidney on contrast-enhanced computed tomography, as shown in this case. Percutaneous transluminal angioplasty (PTA) can be an appropriate treatment for branch artery FMD, especially in young female patients. PTA may immediately improve hypertension and hypokalemia without the need for medications.

摘要

摘要

纤维肌发育异常可导致肾血管性高血压。由于纤维肌发育异常可能未得到充分诊断,因此精确的诊断和管理至关重要,尤其是对于年轻女性。一名20岁患有高血压和低钾血症的女性被转诊至我院以进一步评估继发性高血压。在之前的医院,她的血压为160/110 mmHg,血清钾水平为2.9 mEq/L。对比增强计算机断层扫描的平衡期显示右肾中上部分有一个低密度区。入院时,在服用5 mg氨氯地平的情况下她的血压为141/96 mmHg。实验室检查显示血浆肾素活性为11.3 ng/mL/h,血浆醛固酮浓度为117.1 pg/mL。肾静脉活性肾素浓度采样显示右肾与左肾肾素比值为3.13,证实右肾肾素分泌显著增加。选择性肾血管造影检测到右肾动脉近端分支有局灶性狭窄并伴有相邻动脉瘤样扩张和迂曲。她被诊断为分支动脉纤维肌发育异常,并成功接受了经皮腔内血管成形术治疗。治疗后,她无需任何药物即可摆脱高血压和低钾血症。由于分支动脉纤维肌发育异常有时难以诊断,如本病例所示,对比增强计算机断层扫描可能是一种有前景的诊断工具。关于治疗,我们的患者接受了经皮腔内血管成形术,对于育龄女性应考虑采用这种治疗方法,因为推荐的抗高血压药物即使在妊娠早期也可能具有致畸性。

学习要点

尽管分支动脉纤维肌发育异常(FMD)有时难以诊断,但对于高肾素、高醛固酮性高血压患者应予以考虑。如本病例所示,分支动脉FMD在对比增强计算机断层扫描上可表现为肾脏的低密度区。经皮腔内血管成形术(PTA)可能是分支动脉FMD的一种合适治疗方法,尤其是在年轻女性患者中。PTA可能立即改善高血压和低钾血症,而无需药物治疗。

https://cdn.ncbi.nlm.nih.gov/pmc/blobs/dbec/10762593/0167c3e82332/EDM23-0054fig1.jpg

文献AI研究员

20分钟写一篇综述,助力文献阅读效率提升50倍。

立即体验

用中文搜PubMed

大模型驱动的PubMed中文搜索引擎

马上搜索

文档翻译

学术文献翻译模型,支持多种主流文档格式。

立即体验