Clement Herlinda, Flores Vianey, Diego-Garcia Elia, Corrales-Garcia Ligia, Villegas Elba, Corzo Gerardo
Department of Molecular Medicine and Bioprocesses, Institute of Biotechnology, National Autonomous University of Mexico (UNAM), apartado postal 510-3, Cuernavaca, Morelos 61500 Mexico.
Department of Food, School of Pharmaceutical and Food Sciences, University of Antioquia (UdeA), Medellín, Colombia.
J Venom Anim Toxins Incl Trop Dis. 2015 Jun 17;21:19. doi: 10.1186/s40409-015-0018-7. eCollection 2015.
The choice between heterologous expression versus chemical synthesis for synthesizing short cysteine-rich insecticidal peptides from arthropods may impact the obtainment of yields and well-folded bioactive molecules for scientific research. Therefore, two recombinant expression systems were compared to that of chemical synthesis for producing Ba1, a cysteine-rich spider neurotoxin.
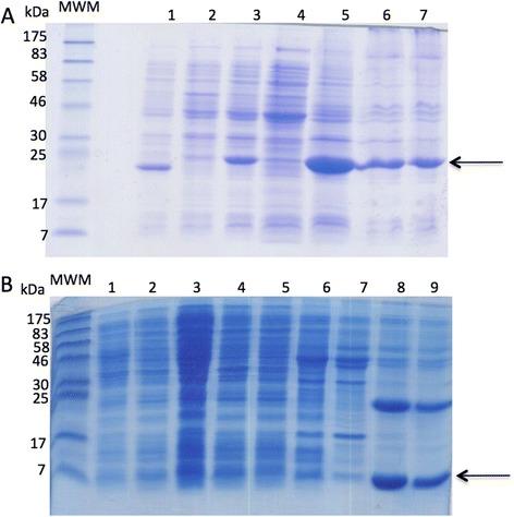
The transcription of the insecticidal neurotoxin Ba1 was obtained from a cDNA library of venom glands of the spider Brachypelma albiceps. It was cloned into the pCR®2.1-TOPO® cloning vector and then introduced in two different expression vectors, pQE40 and pET28a(+). Each vector was transfected into E. coli M15 and BL21 cells, respectively, and expressed under induction with isopropyl thiogalactoside (IPTG). The chemical synthesis of Ba1 was performed in an Applied Biosystems 433A peptide synthesizer.
Both expression systems pQE40 and pET28a(+) expressed the His-tagged recombinant protein products, HisrDFHRBa1 and HisrBa1, respectively, as inclusion bodies. The recombinant proteins HisrDFHRBa1 and HisrBa1 presented respective molecular masses of 28,289 and 8274.6 Da, and were not biologically active. These results suggested that both HisrDFHRBa1 and HisrBa1 were oxidized after cell extraction, and that their insecticidal activities were affected by their N-terminal pro-peptides and different disulfide bridge arrangements. The respective protein expression yields for HisrDFHRBa1 and HisrBa1 were 100 μg/L and 900 μg/L of culture medium. HisrBa1 was reduced and folded under in vitro conditions. The in vitro folding of HisrBa1 produced several isoforms, one of which, after removing its N-terminal pro-peptide by enzymatic cleavage, presented elevated insecticidal activities compared to the native Ba1. Furthermore, the His-tagged protein HisrDFHRBa1 underwent enzymatic cleavage to obtain recombinant Ba1 (rBa1). As expected, the molecular mass of rBa1 was 4406.4 Da. On the other hand, Ba1 was chemically synthesized (sBa1) with a yield of 11 mg per 0.1 mmol of amino acid assembly.
The two recombinant insecticidal peptides and the one synthesized chemically were as active as the native Ba1; however, toxin yields differed drastically.
在从节肢动物中合成富含半胱氨酸的杀虫肽时,选择异源表达还是化学合成可能会影响科研中生物活性分子的产量和正确折叠的获取。因此,将两种重组表达系统与化学合成方法进行比较,用于生产富含半胱氨酸的蜘蛛神经毒素Ba1。
从墨西哥金背蜘蛛毒液腺的cDNA文库中获取杀虫神经毒素Ba1的转录本。将其克隆到pCR®2.1-TOPO®克隆载体中,然后导入两种不同的表达载体pQE40和pET28a(+)。每个载体分别转染到大肠杆菌M15和BL21细胞中,并在异丙基硫代半乳糖苷(IPTG)诱导下表达。Ba1的化学合成在应用生物系统公司的433A肽合成仪中进行。
pQE40和pET28a(+)这两种表达系统均表达出带有His标签的重组蛋白产物,分别为HisrDFHRBa1和HisrBa1,以包涵体形式存在。重组蛋白HisrDFHRBa1和HisrBa1的分子量分别为28,289和8274.6 Da,且无生物活性。这些结果表明,HisrDFHRBa1和HisrBa1在细胞提取后被氧化,其杀虫活性受到N端前肽和不同二硫键排列的影响。HisrDFHRBa1和HisrBa1在培养基中的蛋白表达产量分别为100 μg/L和900 μg/L。HisrBa1在体外条件下被还原并折叠。HisrBa1的体外折叠产生了几种异构体形式,其中一种在通过酶切去除其N端前肽后,与天然Ba1相比具有更高的杀虫活性。此外,带有His标签的蛋白HisrDFHRBa1经酶切获得重组Ba1(rBa1)。正如预期的那样,rBa1的分子量为4406.4 Da。另一方面,化学合成的Ba1(sBa1),每0.1 mmol氨基酸组装体的产量为11 mg。
两种重组杀虫肽和一种化学合成的肽与天然Ba1具有相同的活性;然而,毒素产量差异巨大。