Suppr超能文献

胰岛素样生长因子结合蛋白5(IGFBP-5)独立于其向细胞核的转位及其与核仁素和胰岛素样生长因子(IGF)的相互作用促进纤维化。

IGFBP-5 Promotes Fibrosis Independently of Its Translocation to the Nucleus and Its Interaction with Nucleolin and IGF.

作者信息

Su Yunyun, Nishimoto Tetsuya, Feghali-Bostwick Carol

机构信息

Department of Medicine, Division of Rheumatology & Immunology, Medical University of South Carolina, Charleston, South Carolina, United States of America.

出版信息

PLoS One. 2015 Jun 23;10(6):e0130546. doi: 10.1371/journal.pone.0130546. eCollection 2015.

Abstract

BACKGROUND

Insulin-like growth factor binding protein (IGFBP)-5 levels are increased in systemic sclerosis (SSc) skin and lung. We previously reported that IGFBP-5 is a pro-fibrotic factor that induces extracellular matrix (ECM) production and deposition. Since IGFBP-5 contains a nuclear localization signal (NLS) that facilitates its nuclear translocation, we sought to examine the role of nuclear translocation on the fibrotic activity of IGFBP-5 and identify IGFBP-5 binding partners relevant for its nuclear compartmentalization.

METHODS

We generated functional wild type IGFBP-5 and IGFBP-5 with a mutated NLS or a mutated IGF binding site. Abrogation of nuclear translocation in the NLS mutant was confirmed using immunofluorescence and immunoblotting of nuclear and cytoplasmic cellular extracts. Abrogation of IGF binding was confirmed using western ligand blot. The fibrotic activity of wild type and mutant IGFBP-5 was examined in vitro in primary human fibroblasts and ex vivo in human skin. We identified IGFBP-5 binding partners using immunoprecipitation and mass spectrometry. We examined the effect of nucleolin on IGFBP-5 localization and function via sequence-specific silencing in primary human fibroblasts.

RESULTS

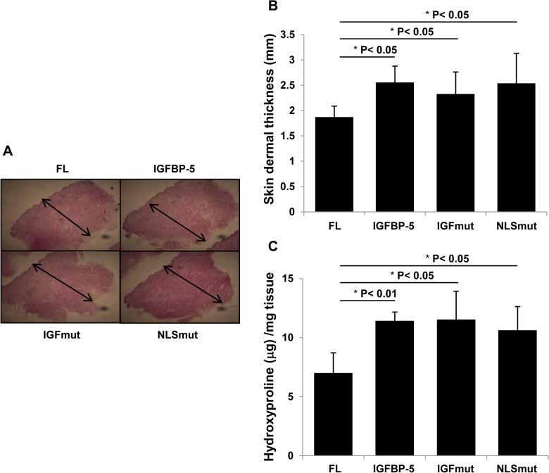
Our results show that IGFBP-5-induced ECM production in vitro in primary human fibroblasts is independent of its nuclear translocation. The NLS-mutant also induced fibrosis ex vivo in human skin, thus confirming and extending the in vitro findings. Similar findings were obtained with the IGF-binding mutant. Nucleolin, a nucleolar protein that can serve as a nuclear receptor, was identified as an IGFBP-5 binding partner. Silencing nucleolin reduced IGFBP-5 translocation to the nucleus but did not block the ability of IGFBP-5 to induce ECM production and a fibrotic phenotype.

CONCLUSIONS

IGFBP-5 transport to the nucleus requires an intact NLS and nucleolin. However, nuclear translocation is not necessary for IGFBP-5 fibrotic activity; neither is IGF binding. Our data provide further insights into the role of cellular compartmentalization in IGFBP-5-induced fibrosis.

摘要

背景

胰岛素样生长因子结合蛋白(IGFBP)-5在系统性硬化症(SSc)的皮肤和肺中水平升高。我们之前报道过IGFBP-5是一种促纤维化因子,可诱导细胞外基质(ECM)的产生和沉积。由于IGFBP-5含有促进其核转位的核定位信号(NLS),我们试图研究核转位在IGFBP-5纤维化活性中的作用,并确定与其核区室化相关的IGFBP-5结合伙伴。

方法

我们构建了功能性野生型IGFBP-5以及具有突变NLS或突变IGF结合位点的IGFBP-5。使用免疫荧光以及细胞核和细胞质细胞提取物的免疫印迹法证实NLS突变体中核转位的消除。使用western配体印迹法证实IGF结合的消除。在原代人成纤维细胞中体外检测野生型和突变型IGFBP-5的纤维化活性,并在人皮肤中进行离体检测。我们使用免疫沉淀和质谱法鉴定IGFBP-5结合伙伴。我们通过在原代人成纤维细胞中进行序列特异性沉默来检测核仁素对IGFBP-5定位和功能的影响。

结果

我们的结果表明,IGFBP-5在原代人成纤维细胞中体外诱导ECM产生与其核转位无关。NLS突变体在人皮肤中离体也诱导了纤维化,从而证实并扩展了体外研究结果。IGF结合突变体也得到了类似的结果。核仁素是一种可作为核受体的核仁蛋白,被鉴定为IGFBP-5结合伙伴。沉默核仁素可减少IGFBP-5向细胞核的转位,但并未阻断IGFBP-5诱导ECM产生和纤维化表型的能力。

结论

IGFBP-5转运至细胞核需要完整的NLS和核仁素。然而,核转位对于IGFBP-5的纤维化活性并非必需;IGF结合也不是必需的。我们的数据为细胞区室化在IGFBP-5诱导的纤维化中的作用提供了进一步的见解。

https://cdn.ncbi.nlm.nih.gov/pmc/blobs/065d/4478026/ddf160540e9c/pone.0130546.g001.jpg

文献AI研究员

20分钟写一篇综述,助力文献阅读效率提升50倍。

立即体验

用中文搜PubMed

大模型驱动的PubMed中文搜索引擎

马上搜索

文档翻译

学术文献翻译模型,支持多种主流文档格式。

立即体验