Suppr超能文献

基于滚动引导滤波器和脉冲皮层模型的医学图像融合

Medical Image Fusion Based on Rolling Guidance Filter and Spiking Cortical Model.

作者信息

Shuaiqi Liu, Jie Zhao, Mingzhu Shi

机构信息

College of Electronic and Information Engineering, Hebei University, Baoding, Hebei 071002, China ; Key Laboratory of Digital Medical Engineering of Hebei Province, Baoding, Hebei 071002, China.

College of Electronic and Communication Engineering, Tianjin Normal University, Tianjin 300387, China.

出版信息

Comput Math Methods Med. 2015;2015:156043. doi: 10.1155/2015/156043. Epub 2015 Jun 3.

Abstract

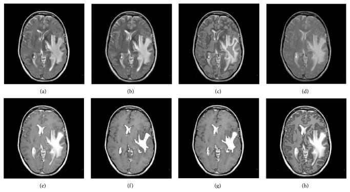
Medical image fusion plays an important role in diagnosis and treatment of diseases such as image-guided radiotherapy and surgery. Although numerous medical image fusion methods have been proposed, most of these approaches are sensitive to the noise and usually lead to fusion image distortion, and image information loss. Furthermore, they lack universality when dealing with different kinds of medical images. In this paper, we propose a new medical image fusion to overcome the aforementioned issues of the existing methods. It is achieved by combining with rolling guidance filter (RGF) and spiking cortical model (SCM). Firstly, saliency of medical images can be captured by RGF. Secondly, a self-adaptive threshold of SCM is gained by utilizing the mean and variance of the source images. Finally, fused image can be gotten by SCM motivated by RGF coefficients. Experimental results show that the proposed method is superior to other current popular ones in both subjectively visual performance and objective criteria.

摘要

医学图像融合在诸如图像引导放疗和手术等疾病的诊断和治疗中发挥着重要作用。尽管已经提出了许多医学图像融合方法,但这些方法大多对噪声敏感,通常会导致融合图像失真和图像信息丢失。此外,它们在处理不同类型的医学图像时缺乏通用性。在本文中,我们提出了一种新的医学图像融合方法来克服现有方法的上述问题。它是通过结合滚动引导滤波器(RGF)和脉冲皮层模型(SCM)实现的。首先,RGF可以捕捉医学图像的显著性。其次,利用源图像的均值和方差获得SCM的自适应阈值。最后,由RGF系数驱动的SCM可以得到融合图像。实验结果表明,该方法在主观视觉性能和客观标准方面均优于其他当前流行的方法。

https://cdn.ncbi.nlm.nih.gov/pmc/blobs/87c1/4469768/fa1301ba9464/CMMM2015-156043.001.jpg

文献AI研究员

20分钟写一篇综述,助力文献阅读效率提升50倍。

立即体验

用中文搜PubMed

大模型驱动的PubMed中文搜索引擎

马上搜索

文档翻译

学术文献翻译模型,支持多种主流文档格式。

立即体验