Mayer Steffi, Decaluwe Herbert, Ruol Michele, Manodoro Stefano, Kramer Manuel, Till Holger, Deprest Jan
Center for Surgical Technologies and Organ Systems Cluster, Department of Development and Regeneration, Faculty of Medicine, KU Leuven, Leuven, Belgium; Department of Pediatric Surgery, University Hospital Leipzig, Leipzig, Germany.
Department of Thoracic Surgery, University Hospital Gasthuisberg, KU Leuven, Leuven, Belgium.
PLoS One. 2015 Jul 6;10(7):e0132021. doi: 10.1371/journal.pone.0132021. eCollection 2015.
Neonates with congenital diaphragmatic hernia and large defects often require patch closure. Acellular collagen matrices (ACM) have been suggested as an alternative to synthetic durable patches as they are remodeled by the host or could also be used for tissue engineering purposes.
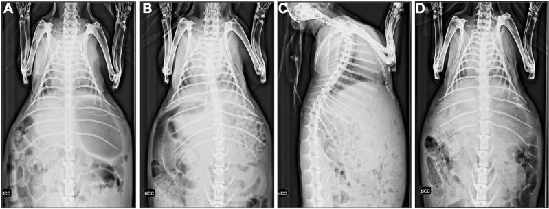
2.0x1.0 cm diaphragmatic defects were created in 6-weeks old New-Zealand white rabbits. We compared reconstruction with a purpose-designed cross-linked ACM (Matricel) to 4-layer non-cross-linked small intestinal submucosa (SIS) and a 1-layer synthetic Dual Mesh (Gore-Tex). Unoperated animals or animals undergoing primary closure (4/0 polyglecaprone) served as age-matched controls. 60 (n = 25) resp. 90 (n = 17) days later, animals underwent chest x-ray and obduction for gross examination of explants, scoring of adhesion and inflammatory response. Also, uniaxial tensiometry was done, comparing explants to contralateral native diaphragmatic tissue.
Overall weight nearly doubled from 1,554±242 g at surgery to 2,837±265 g at obduction (+84%). X-rays did show rare elevation of the left diaphragm (SIS = 1, Gore-Tex = 1, unoperated control = 1), but no herniation of abdominal organs. 56% of SIS and 10% of Matricel patches degraded with visceral bulging in four (SIS = 3, Matricel = 1). Adhesion scores were limited: 0.5 (Matricel) to 1 (SIS, Gore-Tex) to the left lung (p = 0.008) and 2.5 (Gore-Tex), 3 (SIS) and 4 (Matricel) to the liver (p<0.0001). Tensiometry revealed a reduced bursting strength but normal compliance for SIS. Compliance was reduced in Matricel and Gore-Tex (p<0.01). Inflammatory response was characterized by a more polymorphonuclear cell (SIS) resp. macrophage (Matricel) type of infiltrate (p<0.05). Fibrosis was similar for all groups, except there was less mature collagen deposited to Gore-Tex implants (p<0.05).
Matricel induced a macrophage-dominated inflammatory response, more adhesions, had appropriate strength but a lesser compliance compared to native tissue. The herein investigated ACM is not a viable option for CDH repair.
患有先天性膈疝且缺损较大的新生儿通常需要使用补片进行修补。脱细胞胶原基质(ACM)已被提议作为合成耐用补片的替代品,因为它们可被宿主重塑,也可用于组织工程目的。
在6周龄的新西兰白兔身上制造2.0×1.0厘米的膈缺损。我们将使用专门设计的交联ACM(Matricel)进行重建与4层非交联小肠黏膜下层(SIS)以及1层合成双网(戈尔泰斯)进行比较。未手术的动物或接受一期缝合(4-0聚乙醇酸)的动物作为年龄匹配的对照。60(n = 25)或90(n = 17)天后,对动物进行胸部X光检查并解剖,对外植体进行大体检查、粘连评分和炎症反应评分。此外,进行单轴张力测定,将外植体与对侧天然膈组织进行比较。
总体体重从手术时的1554±242克增加到解剖时的2837±265克,几乎翻倍(增加84%)。X光检查确实显示左膈罕见升高(SIS = 1例,戈尔泰斯 = 1例,未手术对照 = 1例),但无腹腔脏器疝出。56%的SIS补片和10%的Matricel补片发生降解,并伴有4例(SIS = 3例,Matricel = 1例)内脏膨出。粘连评分有限:与左肺的粘连评分为0.5(Matricel)至1(SIS、戈尔泰斯)(p = 0.008),与肝脏的粘连评分为2.5(戈尔泰斯)、3(SIS)和4(Matricel)(p<0.0001)。张力测定显示SIS的破裂强度降低但顺应性正常。Matricel和戈尔泰斯的顺应性降低(p<0.01)。炎症反应的特征是多形核细胞浸润(SIS)或巨噬细胞浸润(Matricel)更为明显(p<0.05)。除戈尔泰斯植入物中沉积的成熟胶原较少外(p<0.05),所有组的纤维化情况相似。
Matricel诱导了以巨噬细胞为主的炎症反应,粘连更多,强度合适,但与天然组织相比顺应性较差。本文研究中的ACM不是先天性膈疝修复的可行选择。