Suppr超能文献

A Unique Case of Hematemesis in a 17-Year-Old Female.

作者信息

Zuchelli Tobias, Alsheik Eva, Bhandari Bhavik, Ringold Daniel

机构信息

Division of Gastroenterology and Hepatology, Drexel University College of Medicine, Philadelphia, PA.

出版信息

ACG Case Rep J. 2014 Apr 4;1(3):151-3. doi: 10.14309/crj.2014.34. eCollection 2014 Apr.

Abstract

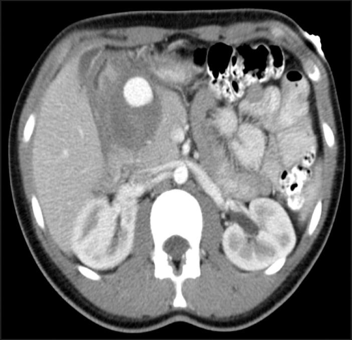
Hemosuccus pancreaticus (HP) is a rare cause of gastrointestinal bleeding (GIB) that should be considered in a patient with a history of pancreatitis and GIB. A 17-year-old female presented with nausea followed by an episode of hematemesis. Fourteen weeks prior to presentation, she had 3 episodes of vomiting within a week. Six weeks prior to presentation, she developed abdominal pain and was diagnosed with acute idiopathic pancreatitis. Computed tomography (CT) revealed a cystic lesion arising in the gastroduodenal artery (GDA), and coil embolization was performed. There are no reported cases of HP in an adolescent with acute idiopathic pancreatitis.

摘要
https://cdn.ncbi.nlm.nih.gov/pmc/blobs/498b/4435304/c7f6f102cae3/crj-01-151-g001.jpg

文献AI研究员

20分钟写一篇综述,助力文献阅读效率提升50倍。

立即体验

用中文搜PubMed

大模型驱动的PubMed中文搜索引擎

马上搜索

文档翻译

学术文献翻译模型,支持多种主流文档格式。

立即体验