• 文献检索
  • 文档翻译
  • 深度研究
  • 学术资讯
  • Suppr Zotero 插件Zotero 插件
  • 邀请有礼
  • 套餐&价格
  • 历史记录
应用&插件
Suppr Zotero 插件Zotero 插件浏览器插件Mac 客户端Windows 客户端微信小程序
定价
高级版会员购买积分包购买API积分包
服务
文献检索文档翻译深度研究API 文档MCP 服务
关于我们
关于 Suppr公司介绍联系我们用户协议隐私条款
关注我们

Suppr 超能文献

核心技术专利:CN118964589B侵权必究
粤ICP备2023148730 号-1Suppr @ 2026

文献检索

告别复杂PubMed语法,用中文像聊天一样搜索,搜遍4000万医学文献。AI智能推荐,让科研检索更轻松。

立即免费搜索

文件翻译

保留排版,准确专业,支持PDF/Word/PPT等文件格式,支持 12+语言互译。

免费翻译文档

深度研究

AI帮你快速写综述,25分钟生成高质量综述,智能提取关键信息,辅助科研写作。

立即免费体验

肾外神经外胚层血管母细胞瘤:临床病理诊断面临的挑战。

Extraneural hemangioblastoma of the kidney: the challenge for clinicopathological diagnosis.

作者信息

Wu Yong, Wang Tao, Zhang Pei-Pei, Yang Xiaoqun, Wang Jian, Wang Chao-Fu

机构信息

Department of Pathology, Fudan University Shanghai Cancer Center, Shanghai, China Department of Oncology, Shanghai Medical College, Fudan University, Shanghai, China.

出版信息

J Clin Pathol. 2015 Dec;68(12):1020-5. doi: 10.1136/jclinpath-2015-202900. Epub 2015 Jul 22.

DOI:10.1136/jclinpath-2015-202900
PMID:26201545
原文链接:https://pmc.ncbi.nlm.nih.gov/articles/PMC4717387/
Abstract

BACKGROUND

Hemangioblastoma is a benign cerebellar tumour which may occur as a sporadic entity or in association with von Hippel-Lindau (VHL) disease in approximately 25% of cases. Renal hemangioblastoma (RH) is an extremely rare and newly recognised tumour. Here, we describe five cases of RH, one discovered by CT in an accident and the other four detected during routine examinations.

METHODS

Five cases of renal hemangioblastoma retrieved from the Department of Pathology, Fudan University Shanghai Cancer Center were studied and the literatures were reviewed. Immunohistochemistry was used to differentiate and confirm this tumour.

RESULTS

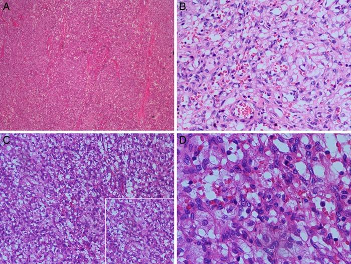
Pathological examination following tumour resection revealed RH in all cases, the first patient was also diagnosed with renal cell carcinoma (RCC), suggesting the possibility of VHL syndrome, but PCR sequencing analysis of the VHL gene confirmed no mutation in any of the three exons, implying sporadic disease. Histologically, the tumours were circumscribed, composed of sheets of oval or polygonal cells and a prominent vascular network. Tumour cells had pleomorphic nuclei, but mitotic figures were rare. The diagnosis of hemangioblastoma was confirmed by immunohistochemistry.

CONCLUSIONS

RH is very rare and is challenging to differentially diagnose. Distinguishing RCC and RH is difficult and each has a different prognosis, so differentiating between them is essential for avoiding over-diagnosis and unnecessary treatment.

摘要

背景

成血管细胞瘤是一种良性小脑肿瘤,可散发出现,约25%的病例与冯·希佩尔-林道(VHL)病相关。肾成血管细胞瘤(RH)是一种极其罕见且新发现的肿瘤。在此,我们描述5例RH,1例在意外事故中经CT发现,另外4例在常规检查中被检测到。

方法

对复旦大学附属肿瘤医院病理科检索出的5例肾成血管细胞瘤病例进行研究,并复习相关文献。采用免疫组织化学方法对该肿瘤进行鉴别和确诊。

结果

肿瘤切除后的病理检查显示所有病例均为RH,首例患者还被诊断为肾细胞癌(RCC),提示可能存在VHL综合征,但VHL基因的PCR测序分析证实三个外显子均无突变,提示为散发性疾病。组织学上,肿瘤边界清晰,由成片的椭圆形或多边形细胞和显著的血管网络组成。肿瘤细胞核具有多形性,但有丝分裂象罕见。免疫组织化学证实为成血管细胞瘤。

结论

RH非常罕见,鉴别诊断具有挑战性。区分RCC和RH很困难,且二者预后不同,因此对它们进行鉴别对于避免过度诊断和不必要的治疗至关重要。

https://cdn.ncbi.nlm.nih.gov/pmc/blobs/2285/4717387/a865f4a76f76/jclinpath-2015-202900f07.jpg
https://cdn.ncbi.nlm.nih.gov/pmc/blobs/2285/4717387/9822b3b664cb/jclinpath-2015-202900f01.jpg
https://cdn.ncbi.nlm.nih.gov/pmc/blobs/2285/4717387/761ae518d52f/jclinpath-2015-202900f02.jpg
https://cdn.ncbi.nlm.nih.gov/pmc/blobs/2285/4717387/1f7418017d18/jclinpath-2015-202900f03.jpg
https://cdn.ncbi.nlm.nih.gov/pmc/blobs/2285/4717387/dcbb6c2d901e/jclinpath-2015-202900f04.jpg
https://cdn.ncbi.nlm.nih.gov/pmc/blobs/2285/4717387/e5f0c03ffcae/jclinpath-2015-202900f05.jpg
https://cdn.ncbi.nlm.nih.gov/pmc/blobs/2285/4717387/1a43a1e4723b/jclinpath-2015-202900f06.jpg
https://cdn.ncbi.nlm.nih.gov/pmc/blobs/2285/4717387/a865f4a76f76/jclinpath-2015-202900f07.jpg
https://cdn.ncbi.nlm.nih.gov/pmc/blobs/2285/4717387/9822b3b664cb/jclinpath-2015-202900f01.jpg
https://cdn.ncbi.nlm.nih.gov/pmc/blobs/2285/4717387/761ae518d52f/jclinpath-2015-202900f02.jpg
https://cdn.ncbi.nlm.nih.gov/pmc/blobs/2285/4717387/1f7418017d18/jclinpath-2015-202900f03.jpg
https://cdn.ncbi.nlm.nih.gov/pmc/blobs/2285/4717387/dcbb6c2d901e/jclinpath-2015-202900f04.jpg
https://cdn.ncbi.nlm.nih.gov/pmc/blobs/2285/4717387/e5f0c03ffcae/jclinpath-2015-202900f05.jpg
https://cdn.ncbi.nlm.nih.gov/pmc/blobs/2285/4717387/1a43a1e4723b/jclinpath-2015-202900f06.jpg
https://cdn.ncbi.nlm.nih.gov/pmc/blobs/2285/4717387/a865f4a76f76/jclinpath-2015-202900f07.jpg

相似文献

1
Extraneural hemangioblastoma of the kidney: the challenge for clinicopathological diagnosis.肾外神经外胚层血管母细胞瘤:临床病理诊断面临的挑战。
J Clin Pathol. 2015 Dec;68(12):1020-5. doi: 10.1136/jclinpath-2015-202900. Epub 2015 Jul 22.
2
Metastases to hemangioblastomas in von Hippel-Lindau disease.冯·希佩尔-林道病中血管母细胞瘤的转移
J Neurosurg. 2006 Aug;105(2):256-63. doi: 10.3171/jns.2006.105.2.256.
3
A case of von Hippel-Lindau disease with bilateral pheochromocytoma, renal cell carcinoma, pelvic tumor, spinal hemangioblastoma and primary hyperparathyroidism.1例伴有双侧嗜铬细胞瘤、肾细胞癌、盆腔肿瘤、脊髓血管母细胞瘤和原发性甲状旁腺功能亢进的冯·希佩尔-林道病患者。
Endocr J. 2002 Apr;49(2):181-8. doi: 10.1507/endocrj.49.181.
4
GLUT1 immunoreaction patterns reliably distinguish hemangioblastoma from metastatic renal cell carcinoma.葡萄糖转运蛋白1免疫反应模式能可靠地将血管母细胞瘤与肾细胞癌转移灶区分开来。
Clin Neuropathol. 2000 May-Jun;19(3):131-7.
5
A 41-year-old woman with von Hippel-Lindau and a cerebellar lesion.一位 41 岁的女性,患有 von Hippel-Lindau 病和小脑病变。
Brain Pathol. 2010 Mar;20(2):511-4. doi: 10.1111/j.1750-3639.2009.00363.x.
6
A Cerebellar Tumor-to-Tumor Metastasis in a Patient With Von Hippel-Lindau Disease.伴 von Hippel-Lindau 病小脑肿瘤对肿瘤转移。
Appl Immunohistochem Mol Morphol. 2024;32(5):244-248. doi: 10.1097/PAI.0000000000001197. Epub 2024 May 7.
7
Sporadic hemangioblastoma of the kidney in a 29-year-old man.一名29岁男性的散发性肾血管母细胞瘤。
Int J Surg Pathol. 2012 Oct;20(5):519-22. doi: 10.1177/1066896911434548. Epub 2012 Jan 23.
8
Renal cell carcinoma to haemangioblastoma metastasis: a rare manifestation of Von Hippel-Lindau syndrome.肾细胞癌转移至成血管细胞瘤:冯·希佩尔-林道综合征的罕见表现。
J Clin Neurosci. 2015 Jan;22(1):215-8. doi: 10.1016/j.jocn.2014.04.024. Epub 2014 Jul 23.
9
Metastatic renal cell carcinoma to hemangioblastoma in von Hippel-Lindau disease.冯·希佩尔-林道病中转移性肾细胞癌至成血管细胞瘤
Arch Pathol Lab Med. 2007 Apr;131(4):641-5. doi: 10.5858/2007-131-641-MRCCTH.
10
Primary hemangioblastoma of the kidney with molecular analyses by next generation sequencing: a case report and review of the literature.肾脏原发性血管母细胞瘤的下一代测序分子分析:病例报告及文献复习。
Diagn Pathol. 2022 Feb 27;17(1):34. doi: 10.1186/s13000-022-01213-8.

引用本文的文献

1
Sporadic Renal Hemangioblastoma: A Case Report of a Rare Entity.散发性肾血管母细胞瘤:一例罕见病例报告
Cureus. 2023 Oct 16;15(10):e47102. doi: 10.7759/cureus.47102. eCollection 2023 Oct.
2
Current Knowledge and Prospects for Renal Hemangioblastoma and Renal Cell Carcinoma with Hemangioblastoma-like Features.肾血管母细胞瘤及具有血管母细胞瘤样特征的肾细胞癌的当前认知与前景
Biomedicines. 2023 May 17;11(5):1467. doi: 10.3390/biomedicines11051467.
3
Primary hemangioblastoma of the kidney with molecular analyses by next generation sequencing: a case report and review of the literature.

本文引用的文献

1
A rare case of peripheral nerve hemangioblastoma—case report and literature review.1例罕见的周围神经血管母细胞瘤——病例报告及文献复习
Neurosurg Rev. 2015 Jan;38(1):205-9; discussion 209. doi: 10.1007/s10143-014-0587-x. Epub 2014 Oct 17.
2
Peripheral hemangioblastoma: clinicopathologic characterization in a series of 22 cases.外周性血管母细胞瘤:22 例系列的临床病理特征。
Am J Surg Pathol. 2014 Jan;38(1):119-27. doi: 10.1097/PAS.0b013e3182a266c1.
3
Sporadic renal haemangioblastoma: Case report and review of the literature.
肾脏原发性血管母细胞瘤的下一代测序分子分析:病例报告及文献复习。
Diagn Pathol. 2022 Feb 27;17(1):34. doi: 10.1186/s13000-022-01213-8.
4
Adrenal hemangioblastoma.肾上腺血管母细胞瘤。
J Pathol Transl Med. 2022 May;56(3):161-166. doi: 10.4132/jptm.2021.12.28. Epub 2022 Feb 28.
5
Sporadic hemangioblastoma of the kidney: a clinicopathologic study of three cases and a literature review.散发性肾血管母细胞瘤:三例临床病理研究及文献复习。
J Int Med Res. 2021 Jul;49(7):3000605211027774. doi: 10.1177/03000605211027774.
6
Renal Hemangioblastoma with Mixed Mullerian tumour of endometrium: A tale of two rare primary tumours.肾血管母细胞瘤合并子宫内膜混合性苗勒管肿瘤:两种罕见原发性肿瘤的故事
World J Surg Oncol. 2020 Jul 6;18(1):154. doi: 10.1186/s12957-020-01929-1.
7
Sporadic renal hemangioblastoma: A case report of a rare benign renal tumor.散发性肾血管母细胞瘤:一例罕见的良性肾肿瘤病例报告。
Clin Case Rep. 2019 Oct 7;7(12):2321-2326. doi: 10.1002/ccr3.2466. eCollection 2019 Dec.
散发性肾血管母细胞瘤:病例报告及文献复习
Oncol Lett. 2013 Jan;5(1):360-362. doi: 10.3892/ol.2012.942. Epub 2012 Sep 27.
4
Sporadic hemangioblastoma of the kidney: a rare renal tumor.散发性肾血管母细胞瘤:一种罕见的肾肿瘤。
Diagn Pathol. 2012 May 1;7:49. doi: 10.1186/1746-1596-7-49.
5
Expression of brachyury in hemangioblastoma: potential use in differential diagnosis.短尾转录因子在血管母细胞瘤中的表达:在鉴别诊断中的潜在应用。
Am J Surg Pathol. 2012 Jul;36(7):1052-7. doi: 10.1097/PAS.0b013e31824f4ce3.
6
Sporadic hemangioblastoma of the kidney in a 29-year-old man.一名29岁男性的散发性肾血管母细胞瘤。
Int J Surg Pathol. 2012 Oct;20(5):519-22. doi: 10.1177/1066896911434548. Epub 2012 Jan 23.
7
Sporadic hemangioblastoma of the kidney: an underrecognized pseudomalignant tumor?散发性肾血管母细胞瘤:一种未被充分认识的假性恶性肿瘤?
Am J Surg Pathol. 2011 Apr;35(4):623-4. doi: 10.1097/PAS.0b013e31820f6d11.
8
Sporadic hemangioblastoma of the kidney: an underrecognized pseudomalignant tumor?肾脏散发性血管母细胞瘤:一种被低估的恶性潜能肿瘤?
Am J Surg Pathol. 2010 Nov;34(11):1695-700. doi: 10.1097/PAS.0b013e3181f2d9b8.
9
Distinguishing clear cell renal cell carcinoma, retroperitoneal paraganglioma, and adrenal cortical lesions on limited biopsy material: utility of immunohistochemical markers.在有限的活检材料上鉴别透明细胞肾细胞癌、腹膜后副神经节瘤和肾上腺皮质病变:免疫组化标志物的应用
Appl Immunohistochem Mol Morphol. 2010 Oct;18(5):414-21. doi: 10.1097/PAI.0b013e3181ddf7b9.
10
VHL gene mutations in renal cell carcinoma: role as a biomarker of disease outcome and drug efficacy.肾细胞癌中的VHL基因突变:作为疾病预后和药物疗效生物标志物的作用。
Curr Oncol Rep. 2009 Mar;11(2):94-101. doi: 10.1007/s11912-009-0015-5.