Suppr超能文献

第四脑室原发性孤立性淋巴瘤

Primary solitary lymphoma of the fourth ventricle.

作者信息

Hsu Huang-I, Lai Ping-Hong, Tseng Hui-Hwa, Hsu Shu-Shong

机构信息

Division of Neurosurgery, Department of Surgery, Kaohsiung Veterans General Hospital, Taiwan, ROC.

Department of Radiology, Kaohsiung Veterans General Hospital, Taiwan, ROC.

出版信息

Int J Surg Case Rep. 2015;14:23-5. doi: 10.1016/j.ijscr.2015.07.006. Epub 2015 Jul 15.

Abstract

INTRODUCTION

Primary central nervous lymphoma(PCNSL) is a rare form of non-Hodgkin lymphoma confined to the central nervous system. Most of the lesions are supratentorial and periventricular, often involving deep structures such as corpus callosum and basal ganglion. Isolated intraventricular lymphoma is rare and only a few case reports. We report, to the best of our knowledge, the seventh case of isolated PCNSL in the fourth ventricle in an immunocompetent patient.

PRESENTATION OF CASE

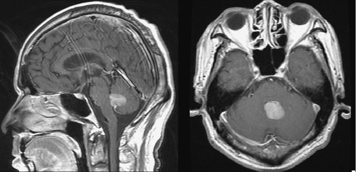
A 61-year-old male presenting with 3 months of headache and dizziness followed with unsteady gait for days. The MR imaging of brain revealed a homogeneously enhancing lesion occupying almost the whole 4th ventricle.The tumor was removed subtotally via suboccipital craniotomy. Histopathology revealed the lesion be a diffuse large B-cell lymphoma.

DISCUSSION

PCNSL is an important consideration in the differential diagnosis of intracranial mass lesion. The unusual location in surgically accessible fourth ventricle in posterior fossa, the isolation of the tumor may present a compelling indication for surgical resection.

CONCLUSION

We suggest that primary lymphoma should be considered with homogenous lesions of the 4th ventricle. Also aggressive surgical resection in this surgically accessible location, instead of biopsy only, is rational.

摘要

引言

原发性中枢神经系统淋巴瘤(PCNSL)是一种局限于中枢神经系统的罕见非霍奇金淋巴瘤形式。大多数病变位于幕上和脑室周围,常累及深部结构,如胼胝体和基底神经节。孤立性脑室内淋巴瘤罕见,仅有少数病例报告。据我们所知,我们报告了免疫功能正常患者中第四脑室内孤立性PCNSL的第七例病例。

病例介绍

一名61岁男性,出现3个月的头痛和头晕,随后步态不稳数天。脑部磁共振成像显示一个均匀强化的病变几乎占据整个第四脑室。通过枕下开颅术部分切除肿瘤。组织病理学显示病变为弥漫性大B细胞淋巴瘤。

讨论

PCNSL是颅内占位性病变鉴别诊断中的一个重要考虑因素。肿瘤位于后颅窝手术可及的第四脑室内这一不寻常位置,且肿瘤孤立,可能是手术切除的有力指征。

结论

我们建议对于第四脑室的均匀性病变应考虑原发性淋巴瘤。在这个手术可及的位置进行积极的手术切除,而不是仅进行活检,是合理的。

https://cdn.ncbi.nlm.nih.gov/pmc/blobs/8753/4573413/a11f45c22ee0/gr1.jpg

文献AI研究员

20分钟写一篇综述,助力文献阅读效率提升50倍。

立即体验

用中文搜PubMed

大模型驱动的PubMed中文搜索引擎

马上搜索

文档翻译

学术文献翻译模型,支持多种主流文档格式。

立即体验