Suppr超能文献

Lumbar stenosis: clinical case.

作者信息

Sá Pedro, Marques Pedro, Alpoim Bruno, Rodrigues Elisa, Félix António, Silva Luís, Leal Miguel

机构信息

Unidade Local de Saúde Alto Minho, Viana do Castelo, Portugal.

出版信息

Rev Bras Ortop. 2014 May 3;49(4):405-8. doi: 10.1016/j.rboe.2014.04.014. eCollection 2014 Jul-Aug.

Abstract

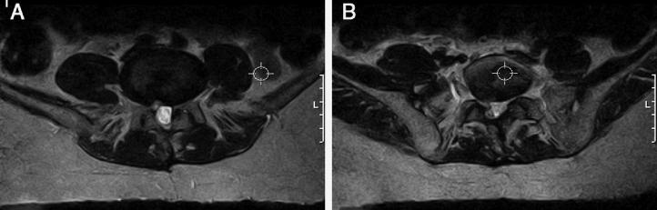
Lumbar stenosis is an increasingly common pathological condition that is becoming more frequent with increasing mean life expectancy, with high costs for society. It has many causes, among which degenerative, neoplastic and traumatic causes stand out. Most of the patients respond well to conservative therapy. Surgical treatment is reserved for patients who present symptoms after implementation of conservative measures. Here, a case of severe stenosis of the lumbar spine at several levels, in a female patient with pathological and surgical antecedents in the lumbar spine, is presented. The patient underwent two different decompression techniques within the same operation.

摘要
https://cdn.ncbi.nlm.nih.gov/pmc/blobs/7a3d/4511619/462ec3dc374d/gr1.jpg

文献AI研究员

20分钟写一篇综述,助力文献阅读效率提升50倍。

立即体验

用中文搜PubMed

大模型驱动的PubMed中文搜索引擎

马上搜索

文档翻译

学术文献翻译模型,支持多种主流文档格式。

立即体验