Tuncel Sedat Alpaslan, Gülcü Aytaç, Yılmaz Erdem, Çiftçi Taner, Göktay Ahmet Yiğit
Department of Radiology, Trakya University, Faculty of Medicine, Edirne, Turkey.
Department of Radiology, Dokuz Eylül University, İzmir, Turkey.
Pol J Radiol. 2015 Jul 13;80:356-9. doi: 10.12659/PJR.894377. eCollection 2015.
Visceral artery aneurysms (VAAs) comprise an uncommon but life-threatening vascular disease. When rupture is the first clinical presentation, mortality rate reaches 70%. Increased use of cross-sectional imaging has led to a greater rate of diagnosis (40-80%) of asymptomatic VAAs. In the past, surgery was the treatment of choice for VAAs carrying high risk of mortality and morbidity.
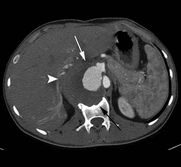
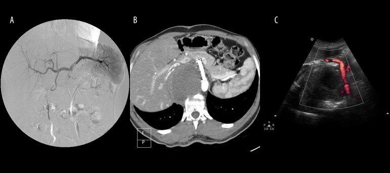
A 22-year-old man, who had undergone gastric, pancreatic and aortic surgery 2.5 years earlier, presented with progressive abdominal pain. Multidetector computed tomography scan revealed an 8-cm celiac pseudoaneurysm. We report a giant celiac pseudoaneurysm treated with stent-graft implantation.
Endovascular treatment of VAA is a safe and effective method alternative to surgery.
内脏动脉瘤(VAA)是一种罕见但危及生命的血管疾病。当破裂为首发临床表现时,死亡率可达70%。横断面成像技术的使用增加,使得无症状VAA的诊断率更高(40%-80%)。过去,手术是治疗具有高死亡和发病风险的VAA的首选方法。
一名22岁男性,2.5年前接受过胃、胰腺和主动脉手术,现出现进行性腹痛。多排计算机断层扫描显示一个8厘米的腹腔干假性动脉瘤。我们报告了一例采用支架移植物植入术治疗的巨大腹腔干假性动脉瘤。
VAA的血管内治疗是一种安全有效的手术替代方法。