Suppr超能文献

诱导鲫(♀)×团头鲂(♂)异源四倍体产生全雌同源三倍体

Induced All-Female Autotriploidy in the Allotetraploids of Carassius auratus red var. (♀) × Megalobrama amblycephala (♂).

作者信息

Qin Qinbo, Wang Juan, Dai Jing, Wang YuDe, Liu Yun, Liu Shaojun

机构信息

Key Laboratory of Protein Chemistry and Developmental Biology of the State Education Ministry of China, College of Life Sciences, Hunan Normal University, Changsha, 410081, People's Republic of China.

出版信息

Mar Biotechnol (NY). 2015 Oct;17(5):604-12. doi: 10.1007/s10126-015-9647-7. Epub 2015 Aug 5.

Abstract

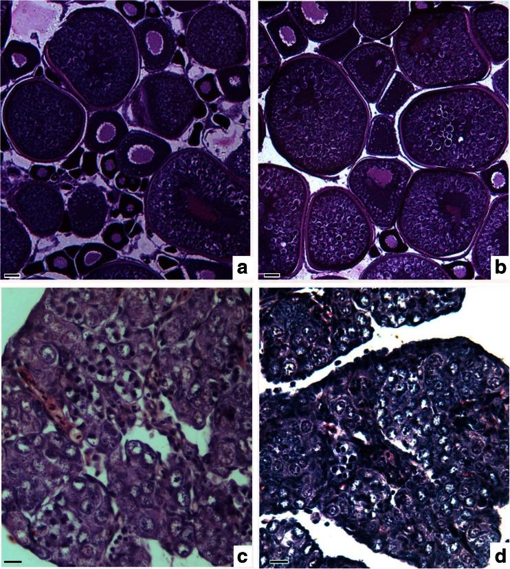
Following activation by UV-irradiated BSB sperm, the fertilized eggs of tetraploid hybrids (abbreviated as 4nF1) (4n = 148, AABB) of Carassius auratus red var. (abbreviated as RCC) (2n = 100, AA) (♀) × Megalobrama amblycephala (abbreviated as BSB) (2n = 48, BB) (♂) developed into normal live gynogenetic offspring without chromosome doubling treatment. Some of these were autotriploids with three sets of red crucian carp chromosomes (abbreviated as G1) (3n = 150, AAA). G1 were all-females, and can produce unreduced (3n) eggs at age 1 year. After activation by UV-irradiated BSB sperm, the fertilized eggs of G1 developed into a second generation of autotriploid gynogenetic offspring (abbreviated as G2) (3n = 150) without chromosome doubling treatment. G1 were obviously different from both 4nF1 and RCC in their morphological traits and showed a significantly higher growth rate than RCC. In aquaculture, the autotriploid fish could provide an important source of gametes for the production of all-female triploid fish and for the establishment of autotriploid gynogenetic lines.

摘要

经紫外线照射的团头鲂精子激活后,红鲫(简称RCC)(2n = 100,AA)(♀)×团头鲂(简称BSB)(2n = 48,BB)(♂)四倍体杂种(简称4nF1)(4n = 148,AABB)的受精卵在未经染色体加倍处理的情况下发育成正常存活的雌核发育后代。其中一些是具有三套红鲫染色体的同源三倍体(简称G1)(3n = 150,AAA)。G1全为雌性,1岁时可产生不减数(3n)的卵子。经紫外线照射的团头鲂精子激活后,G1的受精卵在未经染色体加倍处理的情况下发育成第二代同源三倍体雌核发育后代(简称G2)(3n = 150)。G1在形态特征上与4nF1和红鲫均明显不同,且生长速度显著高于红鲫。在水产养殖中,同源三倍体鱼类可为全雌三倍体鱼类的生产和同源三倍体雌核发育品系的建立提供重要的配子来源。

https://cdn.ncbi.nlm.nih.gov/pmc/blobs/d575/4540778/cccafc964b68/10126_2015_9647_Fig1_HTML.jpg

文献AI研究员

20分钟写一篇综述,助力文献阅读效率提升50倍。

立即体验

用中文搜PubMed

大模型驱动的PubMed中文搜索引擎

马上搜索

文档翻译

学术文献翻译模型,支持多种主流文档格式。

立即体验