Suppr超能文献

使用新型整合酶缺陷型慢病毒进行靶向抗癌治疗,该治疗由生存素启动子驱动白喉毒素A。

Use of a Novel Integrase-Deficient Lentivirus for Targeted Anti-Cancer Therapy With Survivin Promoter-Driven Diphtheria Toxin A.

作者信息

Lin Baoshun, Gao Anding, Zhang Rui, Ma Hongyu, Shen Haifeng, Hu Qiong, Zhang Hua, Zhao Meng, Lan Xiaopeng, Liu Kuancan

机构信息

From the Institute for Laboratory Medicine, Fuzhou General Hospital, PLA, Fuzhou, Fujian, P.R. China (BL, AG, RZ, HM, MZ, XL, KL); Dong Fang Hospital, Xiamen University, Fuzhou, Fujian, P.R. China (BL, AG, QH, MZ, XL, KL); Institute for Laboratory Medicine, Fuzhou General Hospital, Second Military Medical University, Fuzhou, Fujian, P.R. China (HM); School of Pharmaceutical Science, Xiamen University, Xiamen, Fujian, P.R. China (HS); Agriculture and Animal Husbandry College, Tibet University, Nyingchi, P.R. China (HZ); and Fuzhou General Hospital Clinical Medical School, Fujian Medical University, Fuzhou, P.R. China (RZ, XL, KL).

出版信息

Medicine (Baltimore). 2015 Aug;94(31):e1301. doi: 10.1097/MD.0000000000001301.

Abstract

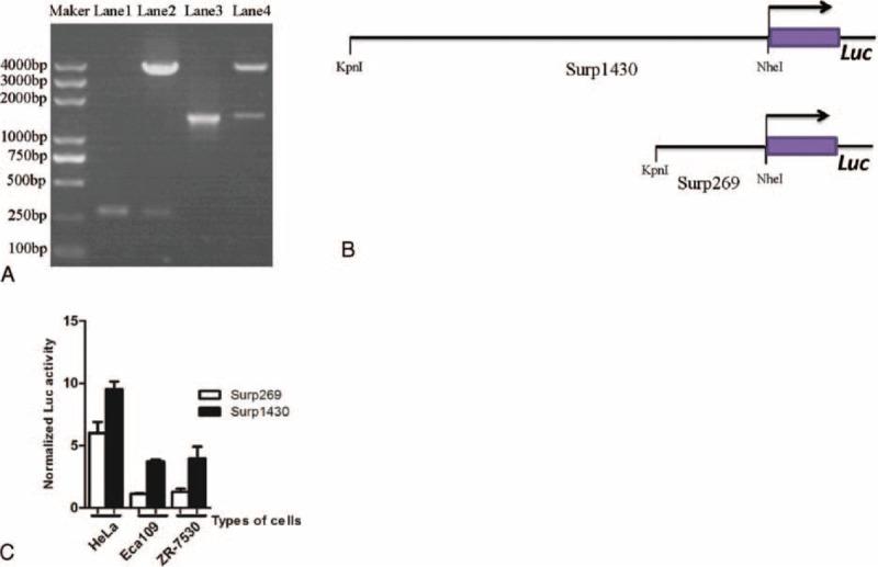
As an immunotoxin, diphtheria toxin has been widely used in gene therapy and gene function assays for its roles in protein synthesis inhibition, and the aim of our study is to set up a nonintegrating lentiviral system for specific expression of diphtheria toxin A (DTA) used in cancer gene therapy.Here, we established a lentiviral system that could coordinately express fluorescent protein and DTA driven by the cytomegalovirus (CMV) promoter, which is convenient for us to precisely trace the expression of DTA and monitor the process of lentivirus packaging. To achieve safer cancer therapy, we replaced the CMV promoter with the Survivin promoter, a specific promoter that is dramatically activated in cancer tissues and cells, but not in normal tissues and cells, and that will impose greater therapeutic potential because a significant expression difference occurred between these 2 groups. Meanwhile, we obtained integrase-deficient lentivirus (IDLV) after packaging with the integrase mutant, which expresses defective integrase RRK262263264AAH, to minimize the side effects that derived from the insertional mutagenesis of the host genome.Our results suggest that the IDLV system that we generated possesses therapeutic potential in cancers in vitro and in vivo.

摘要

作为一种免疫毒素,白喉毒素因其在蛋白质合成抑制中的作用而被广泛应用于基因治疗和基因功能检测,我们研究的目的是建立一种用于癌症基因治疗的非整合慢病毒系统,以特异性表达白喉毒素A(DTA)。在此,我们建立了一个慢病毒系统,该系统可在巨细胞病毒(CMV)启动子驱动下协同表达荧光蛋白和DTA,这便于我们精确追踪DTA的表达并监测慢病毒包装过程。为实现更安全的癌症治疗,我们用生存素启动子取代了CMV启动子,生存素启动子是一种在癌症组织和细胞中显著激活但在正常组织和细胞中不激活的特异性启动子,由于这两组之间存在显著的表达差异,它将具有更大的治疗潜力。同时,我们用表达缺陷整合酶RRK262263264AAH的整合酶突变体包装后获得了整合酶缺陷型慢病毒(IDLV),以尽量减少宿主基因组插入诱变产生的副作用。我们的结果表明,我们构建的IDLV系统在体外和体内癌症治疗中具有治疗潜力。

https://cdn.ncbi.nlm.nih.gov/pmc/blobs/1de3/4616595/98bf80179e30/medi-94-e1301-g001.jpg

文献AI研究员

20分钟写一篇综述,助力文献阅读效率提升50倍。

立即体验

用中文搜PubMed

大模型驱动的PubMed中文搜索引擎

马上搜索

文档翻译

学术文献翻译模型,支持多种主流文档格式。

立即体验