Suppr超能文献

VEPTR生长调节和应力屏蔽诱导的人腰椎形态变化

Metamorphosis of human lumbar vertebrae induced by VEPTR growth modulation and stress shielding.

作者信息

Hasler Carol C, Studer Daniel, Büchler Philippe

机构信息

Orthopaedic Department, University Children's Hospital, PO Box, Spitalstrasse 33, 4031, Basel, Switzerland,

出版信息

J Child Orthop. 2015 Aug;9(4):287-93. doi: 10.1007/s11832-015-0677-5. Epub 2015 Aug 11.

Abstract

INTRODUCTION

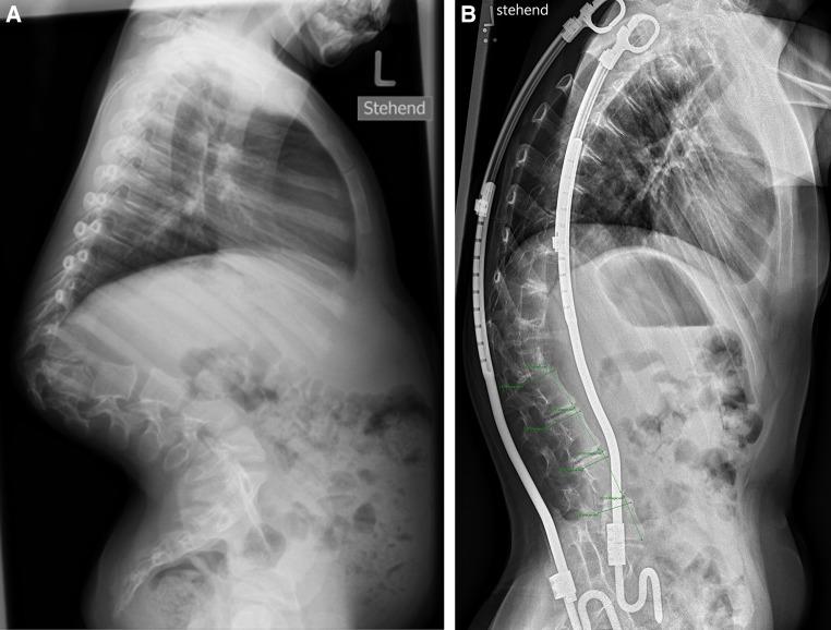
Distraction-based spinal growth modulation by growing rods or vertical expandable prosthetic titanium ribs (VEPTRs) is the mainstay of instrumented operative strategies to correct early onset spinal deformities. In order to objectify the benefits, it has become common sense to measure the gain in spine height by assessing T1-S1 distance on anteroposterior (AP) radiographs. However, by ignoring growth changes on vertebral levels and by limiting measurement to one plane, valuable data is missed regarding the three-dimensional (3D) effects of growth modulation. This information might be interesting when it comes to final fusion or, even more so, when the protective growing implants are removed and the spine re-exposed to physiologic forces at the end of growth.

METHODS

The goal of this retrospective radiographic study was to assess the growth modulating impact of year-long, distraction-based VEPTR treatment on the morphology of single vertebral bodies. We digitally measured lumbar vertebral body height (VBH) and upper endplate depth (VBD) at the time of the index procedure and at follow-up in nine patients with rib-to-ileum constructs (G1) spanning an anatomically normal lumbar spine. Nine patients with congenital thoracic scoliosis and VEPTR rib-to-rib constructs, but uninstrumented lumbar spines, served as controls (G2). All had undergone more than eight half-yearly VEPTR expansions. A Wilcoxon signed-rank test was used for statistical comparison of initial and follow-up VBH, VBD and height/depth (H/D) ratio (significance level 0.05).

RESULTS

The average age was 7.1 years (G1) and 5.2 year (G2, p > 0.05) at initial surgery; the average overall follow-up time was 5.5 years (p = 1). In both groups, VBH increased significantly without a significant intergroup difference. Group 1 did not show significant growth in depth, whereas VBD increased significantly in the control group. As a consequence, the H/D ratio increased significantly in group 1 whereas it remained unchanged in group 2. The growth rate for height in mm/year was 1.4 (group 1) and 1.1 (group 2, p = 0.45), and for depth, it was -0.3 and 1.1 (p < 0.05), respectively.

CONCLUSIONS

VEPTR growth modulating treatment alters the geometry of vertebral bodies by increasing the H/D ratio. We hypothesize that the implant-related deprivation from axial loads (stress-shielding) impairs anteroposterior growth. The biomechanical consequence of such slender vertebrae when exposed to unprotected loads in case of definitive VEPTR removal at the end of growth is uncertain.

摘要

引言

通过生长棒或垂直可扩张人工钛肋骨(VEPTR)进行基于撑开的脊柱生长调节是矫正早发性脊柱畸形的器械手术策略的主要手段。为了客观评估其益处,通过在前后位(AP)X线片上评估T1-S1距离来测量脊柱高度的增加已成为常识。然而,由于忽略了椎体水平的生长变化且将测量局限于一个平面,因此错过了关于生长调节的三维(3D)效应的有价值数据。当涉及最终融合时,甚至更重要的是,当在生长结束时移除保护性生长植入物且脊柱重新暴露于生理力时,这些信息可能会很有趣。

方法

这项回顾性影像学研究的目的是评估为期一年的基于撑开的VEPTR治疗对单个椎体形态的生长调节影响。我们在初次手术时和随访时,对9例采用肋骨至回肠固定装置(G1组)且腰椎解剖结构正常的患者,数字测量其腰椎椎体高度(VBH)和上端板深度(VBD)。9例患有先天性胸椎侧弯且采用VEPTR肋骨至肋骨固定装置但未固定腰椎的患者作为对照组(G2组)。所有患者均接受了超过8次半年一次的VEPTR撑开。采用Wilcoxon符号秩检验对初始和随访时的VBH、VBD及高度/深度(H/D)比值进行统计学比较(显著性水平为0.05)。

结果

初次手术时,G1组平均年龄为7.1岁,G2组为5.2岁(p>0.05);平均总随访时间为5.5年(p = 1)。两组的VBH均显著增加,组间差异无统计学意义。G1组深度未显示出显著增长,而对照组的VBD显著增加。因此,G1组的H/D比值显著增加,而G2组保持不变。G1组的高度年增长率为1.4mm,G2组为1.1mm(p = 0.45),深度年增长率分别为-0.3mm和1.1mm(p<0.05)。

结论

VEPTR生长调节治疗通过增加H/D比值改变了椎体的几何形状。我们推测,与植入物相关的轴向负荷剥夺(应力屏蔽)会损害前后方向的生长。在生长结束时确定性移除VEPTR后,这种细长椎体在暴露于无保护负荷时的生物力学后果尚不确定。

https://cdn.ncbi.nlm.nih.gov/pmc/blobs/c4d4/4549352/28463973d15f/11832_2015_677_Fig1_HTML.jpg

文献AI研究员

20分钟写一篇综述,助力文献阅读效率提升50倍。

立即体验

用中文搜PubMed

大模型驱动的PubMed中文搜索引擎

马上搜索

文档翻译

学术文献翻译模型,支持多种主流文档格式。

立即体验