• 文献检索
  • 文档翻译
  • 深度研究
  • 学术资讯
  • Suppr Zotero 插件Zotero 插件
  • 邀请有礼
  • 套餐&价格
  • 历史记录
应用&插件
Suppr Zotero 插件Zotero 插件浏览器插件Mac 客户端Windows 客户端微信小程序
定价
高级版会员购买积分包购买API积分包
服务
文献检索文档翻译深度研究API 文档MCP 服务
关于我们
关于 Suppr公司介绍联系我们用户协议隐私条款
关注我们

Suppr 超能文献

核心技术专利:CN118964589B侵权必究
粤ICP备2023148730 号-1Suppr @ 2026

文献检索

告别复杂PubMed语法,用中文像聊天一样搜索,搜遍4000万医学文献。AI智能推荐,让科研检索更轻松。

立即免费搜索

文件翻译

保留排版,准确专业,支持PDF/Word/PPT等文件格式,支持 12+语言互译。

免费翻译文档

深度研究

AI帮你快速写综述,25分钟生成高质量综述,智能提取关键信息,辅助科研写作。

立即免费体验

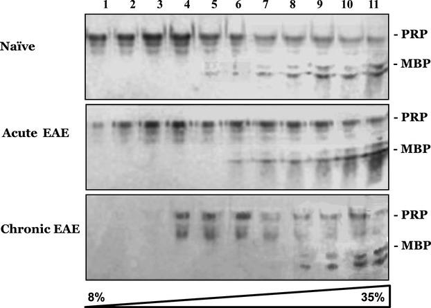
髓鞘碱性蛋白在慢性脱髓鞘中的聚集。

Aggregation of MBP in chronic demyelination.

机构信息

Department of Neurology, The Agnes Ginges Center for Human Neurogenetics, Hadassah University Hospital Jerusalem, 91120, Israel.

出版信息

Ann Clin Transl Neurol. 2015 Jul;2(7):711-21. doi: 10.1002/acn3.207. Epub 2015 Jun 6.

DOI:10.1002/acn3.207
PMID:26273684
原文链接:https://pmc.ncbi.nlm.nih.gov/articles/PMC4531054/
Abstract

OBJECTIVES

Misfolding of key disease proteins to an insoluble state is associated with most neurodegenerative conditions, such as prion, Parkinson, and Alzheimer's diseases. In this work, and by studying animal models of multiple sclerosis, we asked whether this is also the case for myelin basic protein (MBP) in the late and neurodegenerative phases of demyelinating diseases.

METHODS

To this effect, we tested whether MBP, an essential myelin component, present prion-like properties in animal models of MS, as is the case for Cuprizone-induced chronic demyelination or chronic phases of Experimental Autoimmune Encephalomyelitis (EAE).

RESULTS

We show here that while total levels of MBP were not reduced following extensive demyelination, part of these molecules accumulated thereafter as aggregates inside oligodendrocytes or around neuronal cells. In chronic EAE, MBP precipitated concomitantly with Tau, a marker of diverse neurodegenerative conditions, including MS. Most important, analysis of fractions from Triton X-100 floatation gradients suggest that the lipid composition of brain membranes in chronic EAE differs significantly from that of naïve mice, an effect which may relate to oxidative insults and subsequently prevent the appropriate insertion and compaction of new MBP in the myelin sheath, thereby causing its misfolding and aggregation.

INTERPRETATION

Prion-like aggregation of MBP following chronic demyelination may result from an aberrant lipid composition accompanying this pathological status. Such aggregation of MBP may contribute to neuronal damage that occurs in the progressive phase of MS.

摘要

目的

关键疾病蛋白错误折叠为不溶性状态与大多数神经退行性疾病有关,如朊病毒病、帕金森病和阿尔茨海默病。在这项工作中,通过研究多发性硬化症的动物模型,我们询问了这种情况是否也发生在脱髓鞘疾病的晚期和神经退行性阶段的髓鞘碱性蛋白(MBP)中。

方法

为此,我们测试了 MBP 是否具有朊病毒样特性,作为 Cuprizone 诱导的慢性脱髓鞘或实验性自身免疫性脑脊髓炎(EAE)的慢性阶段的情况,MBP 是髓鞘的重要组成部分,存在于多发性硬化症的动物模型中。

结果

我们在这里表明,尽管在广泛脱髓鞘后总 MBP 水平没有降低,但这些分子中的一部分此后作为聚集体在少突胶质细胞内或围绕神经元细胞积累。在慢性 EAE 中,MBP 与 Tau 沉淀,Tau 是多种神经退行性疾病的标志物,包括 MS。最重要的是,Triton X-100 漂浮梯度的分数分析表明,慢性 EAE 中大脑膜的脂质组成与天真小鼠有显著差异,这种效应可能与氧化损伤有关,并随后阻止新 MBP 适当插入和致密化到髓鞘中,从而导致其错误折叠和聚集。

解释

慢性脱髓鞘后 MBP 的类朊病毒聚集可能是由伴随这种病理状态的异常脂质组成引起的。MBP 的这种聚集可能导致 MS 进行性阶段发生的神经元损伤。

https://cdn.ncbi.nlm.nih.gov/pmc/blobs/07c0/4531054/b9b49e83d249/acn30002-0711-f6.jpg
https://cdn.ncbi.nlm.nih.gov/pmc/blobs/07c0/4531054/b9b49e83d249/acn30002-0711-f6.jpg
https://cdn.ncbi.nlm.nih.gov/pmc/blobs/07c0/4531054/b9b49e83d249/acn30002-0711-f6.jpg

相似文献

1
Aggregation of MBP in chronic demyelination.髓鞘碱性蛋白在慢性脱髓鞘中的聚集。
Ann Clin Transl Neurol. 2015 Jul;2(7):711-21. doi: 10.1002/acn3.207. Epub 2015 Jun 6.
2
Thymosin beta4 promotes oligodendrogenesis in the demyelinating central nervous system.胸腺素β4促进脱髓鞘中枢神经系统中的少突胶质细胞生成。
Neurobiol Dis. 2016 Apr;88:85-95. doi: 10.1016/j.nbd.2016.01.010. Epub 2016 Jan 12.
3
Time-Dependent Progression of Demyelination and Axonal Pathology in MP4-Induced Experimental Autoimmune Encephalomyelitis.MP4诱导的实验性自身免疫性脑脊髓炎中脱髓鞘和轴突病理的时间依赖性进展
PLoS One. 2015 Dec 11;10(12):e0144847. doi: 10.1371/journal.pone.0144847. eCollection 2015.
4
Abnormal morphology of myelin and axon pathology in murine models of multiple sclerosis.多发性硬化症小鼠模型中髓鞘的异常形态和轴突病理
Neurochem Int. 2015 Feb;81:16-27. doi: 10.1016/j.neuint.2015.01.002. Epub 2015 Jan 13.
5
The distribution of inflammatory demyelinated lesions in the central nervous system of rats with antibody-augmented demyelinating experimental allergic encephalomyelitis.抗体增强型脱髓鞘实验性变应性脑脊髓炎大鼠中枢神经系统炎性脱髓鞘病变的分布
Exp Neurol. 1994 Oct;129(2):299-310. doi: 10.1006/exnr.1994.1172.
6
Regional regulation of glutamate signaling during cuprizone-induced demyelination in the brain.脑内 cuprizone 诱导脱髓鞘过程中谷氨酸信号的区域性调节。
Ann Anat. 2013 Oct;195(5):415-23. doi: 10.1016/j.aanat.2013.03.004. Epub 2013 Apr 28.
7
Lentivirus-mediated estrogen receptor α overexpression in the central nervous system ameliorates experimental autoimmune encephalomyelitis in mice.慢病毒介导的中枢神经系统雌激素受体 α 过表达可改善实验性自身免疫性脑脊髓炎小鼠的病情。
Int J Mol Med. 2013 May;31(5):1209-21. doi: 10.3892/ijmm.2013.1306. Epub 2013 Mar 15.
8
Experimental autoimmune encephalomyelitis induced with a combination of myelin basic protein and myelin oligodendrocyte glycoprotein is ameliorated by administration of a single myelin basic protein peptide.用髓鞘碱性蛋白和髓鞘少突胶质细胞糖蛋白联合诱导的实验性自身免疫性脑脊髓炎,通过给予单一的髓鞘碱性蛋白肽得以改善。
J Immunol. 1998 Jul 1;161(1):504-12.
9
Experimental autoimmune encephalomyelitis. Augmentation of demyelination by different myelin lipids.实验性自身免疫性脑脊髓炎。不同髓磷脂脂质对脱髓鞘的增强作用。
Lab Invest. 1984 Oct;51(4):416-24.
10
Experimental in vivo and in vitro models of multiple sclerosis: EAE and beyond.多发性硬化症的体内和体外实验模型:实验性自身免疫性脑脊髓炎及其他。
Mult Scler Relat Disord. 2012 Jan;1(1):15-28. doi: 10.1016/j.msard.2011.09.002. Epub 2011 Sep 16.

引用本文的文献

1
Impaired Aggrephagy, Interrupted Vesicular Trafficking, and Cellular Stress, Lead to Protein Aggregation, and Synaptic Dysfunction in Cerebellum of Children and Adults with Idiopathic Autism.自噬功能受损、囊泡运输中断和细胞应激导致特发性自闭症儿童和成人小脑内蛋白质聚集及突触功能障碍。
Cerebellum. 2025 Aug 8;24(5):140. doi: 10.1007/s12311-025-01880-5.
2
Betaine alleviates deficits in motor behavior, neurotoxic effects, and neuroinflammatory responses in a rat model of demyelination.甜菜碱可减轻脱髓鞘大鼠模型中的运动行为缺陷、神经毒性作用和神经炎症反应。
Toxicol Rep. 2025 Feb 28;14:101974. doi: 10.1016/j.toxrep.2025.101974. eCollection 2025 Jun.
3

本文引用的文献

1
Membrane protein oxidation determines neuronal degeneration.膜蛋白氧化决定神经元变性。
J Neurochem. 2015 May;133(3):352-67. doi: 10.1111/jnc.12987. Epub 2015 Feb 4.
2
Cholesterol depletion using methyl-β-cyclodextrin.使用甲基-β-环糊精去除胆固醇。
Methods Mol Biol. 2015;1232:91-102. doi: 10.1007/978-1-4939-1752-5_8.
3
Myelin basic protein induces neuron-specific toxicity by directly damaging the neuronal plasma membrane.髓鞘碱性蛋白通过直接损伤神经元质膜诱导神经元特异性毒性。
Berberine-loaded iron oxide nanoparticles alleviate cuprizone-induced astrocytic reactivity in a rat model of multiple sclerosis.
负载黄连素的氧化铁纳米颗粒减轻了铜离子螯合剂诱导的多发性硬化大鼠模型中的星形胶质细胞反应性。
Biometals. 2025 Feb;38(1):203-229. doi: 10.1007/s10534-024-00648-4. Epub 2024 Nov 14.
4
Autophagy in Oligodendrocyte Lineage Cells Controls Oligodendrocyte Numbers and Myelin Integrity in an Age-dependent Manner.少突胶质细胞谱系细胞中的自噬以年龄依赖性方式控制少突胶质细胞数量和髓鞘完整性。
Neurosci Bull. 2025 Mar;41(3):374-390. doi: 10.1007/s12264-024-01292-1. Epub 2024 Sep 16.
5
Comparative Neuroprotective Potential of Nanoformulated and Free Resveratrol Against Cuprizone-Induced Demyelination in Rats.纳米配方白藜芦醇和游离白藜芦醇对大鼠铜离子螯合剂诱导脱髓鞘的比较神经保护潜力
Mol Neurobiol. 2025 Mar;62(3):2710-2725. doi: 10.1007/s12035-024-04415-x. Epub 2024 Aug 17.
6
Evaluation of safety and early efficacy of AAV gene therapy in mouse models of vanishing white matter disease.评估 AAV 基因治疗在进行性脑白质营养不良小鼠模型中的安全性和早期疗效。
Mol Ther. 2024 Jun 5;32(6):1701-1720. doi: 10.1016/j.ymthe.2024.03.034. Epub 2024 Mar 27.
7
Advances in the Immunology of the Host-Parasite Interactions in African Trypanosomosis, including Single-Cell Transcriptomics.非洲锥虫病宿主-寄生虫相互作用的免疫学进展,包括单细胞转录组学
Pathogens. 2024 Feb 20;13(3):188. doi: 10.3390/pathogens13030188.
8
Phase-Dependent Adsorption of Myelin Basic Protein to Phosphatidylcholine Lipid Bilayers.髓鞘碱性蛋白与磷脂酰胆碱脂质双层的相依赖性吸附
Membranes (Basel). 2024 Jan 4;14(1):15. doi: 10.3390/membranes14010015.
9
Roles of Adenosine Receptor (subtypes A and A) in Cuprizone-Induced Hippocampal Demyelination.腺苷受体(A 和 A 亚型)在 Cuprizone 诱导的海马脱髓鞘中的作用。
Mol Neurobiol. 2023 Oct;60(10):5878-5890. doi: 10.1007/s12035-023-03440-6. Epub 2023 Jun 26.
10
Surgically Induced Demyelination in Rat Sciatic Nerve.大鼠坐骨神经的手术诱导脱髓鞘
Brain Sci. 2023 May 3;13(5):754. doi: 10.3390/brainsci13050754.
PLoS One. 2014 Sep 25;9(9):e108646. doi: 10.1371/journal.pone.0108646. eCollection 2014.
4
Targeting of aquaporin 4 into lipid rafts and its biological significance.水通道蛋白4定位于脂筏及其生物学意义。
Brain Res. 2014 Oct 2;1583:237-44. doi: 10.1016/j.brainres.2014.08.014. Epub 2014 Aug 14.
5
Complex proteinopathy with accumulations of prion protein, hyperphosphorylated tau, α-synuclein and ubiquitin in experimental bovine spongiform encephalopathy of monkeys.在实验性猴海绵状脑病中,朊病毒蛋白、过度磷酸化的 tau 蛋白、α-突触核蛋白和泛素的复杂蛋白病变。
J Gen Virol. 2014 Jul;95(Pt 7):1612-1618. doi: 10.1099/vir.0.062083-0. Epub 2014 Apr 25.
6
Pomegranate seed oil nanoemulsions for the prevention and treatment of neurodegenerative diseases: the case of genetic CJD.用于预防和治疗神经退行性疾病的石榴籽油纳米乳剂:以遗传性克雅氏病为例
Nanomedicine. 2014 Aug;10(6):1353-63. doi: 10.1016/j.nano.2014.03.015. Epub 2014 Apr 2.
7
Molecular mechanisms linking neuroinflammation and neurodegeneration in MS.多发性硬化症中神经炎症与神经退行性变之间的分子机制。
Exp Neurol. 2014 Dec;262 Pt A:8-17. doi: 10.1016/j.expneurol.2014.02.006. Epub 2014 Feb 14.
8
Lipid domains control myelin basic protein adsorption and membrane interactions between model myelin lipid bilayers.脂质域控制髓鞘碱性蛋白的吸附和模型髓鞘类脂双层之间的膜相互作用。
Proc Natl Acad Sci U S A. 2014 Feb 25;111(8):E768-75. doi: 10.1073/pnas.1401165111. Epub 2014 Feb 10.
9
Amyloid-β and tau: the trigger and bullet in Alzheimer disease pathogenesis.淀粉样蛋白-β 和 tau:阿尔茨海默病发病机制中的扳机和子弹。
JAMA Neurol. 2014 Apr;71(4):505-8. doi: 10.1001/jamaneurol.2013.5847.
10
Phase separation of myelin sheath in Triton X-114 solution: predominant localization of the 21.5-kDa isoform of myelin basic protein in the lipid raft-associated domain.髓鞘在Triton X-114溶液中的相分离:髓鞘碱性蛋白21.5-kDa异构体在脂筏相关结构域中的主要定位。
J Biochem. 2014 Apr;155(4):265-71. doi: 10.1093/jb/mvu005. Epub 2014 Jan 22.