Suppr超能文献

迷走神经切断术可减轻博来霉素诱导的小鼠肺纤维化。

Vagotomy attenuates bleomycin-induced pulmonary fibrosis in mice.

作者信息

Song Nana, Liu Jun, Shaheen Saad, Du Lei, Proctor Mary, Roman Jesse, Yu Jerry

机构信息

Robley Rex VA Medical Center, Louisville, KY, USA.

Division of Pulmonary, Critical Care and Sleep Disorders, Department of Medicine, University of Louisville, Louisville, KY, USA.

出版信息

Sci Rep. 2015 Aug 20;5:13419. doi: 10.1038/srep13419.

Abstract

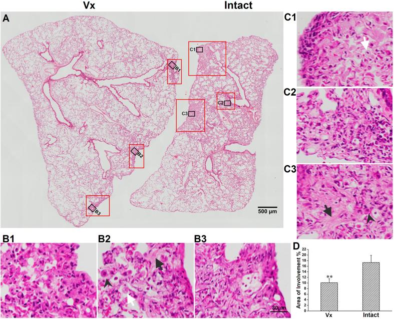
The progression of pulmonary fibrosis (PF) entails a complex network of interactions between multiple classes of molecules and cells, which are closely related to the vagus nerve. Stimulation of the vagus nerve increases fibrogenic cytokines in humans, therefore, activation of the nerve may promote PF. The hypothesis was tested by comparing the extent and severity of fibrosis in lungs with and without vagal innervation in unilaterally vagotomized mice. The results show that in vagotomized lungs, there were less collagen staining, less severe fibrotic foci (subpleural, peri-vascular and peri-bronchiolar lesions) and destruction of alveolar architecture; decreased collagen deposition (denervated vs intact: COL1α1, 19.1 ± 2.2 vs 22.0 ± 2.6 ng/mg protein; COL1α2, 4.5 ± 0.3 vs 5.7 ± 0.5 ng/mg protein; p < 0.01, n = 21) and protein levels of transforming growth factor beta and interleukin 4; and fewer myofibroblast infiltration (denervated vs intact: 1.2 ± 0.2 vs 3.2 ± 0.6 cells/visual field; p < 0.05, n = 6) and M2 macrophages [though the infiltration of macrophages was increased (denervated vs intact: 112 ± 8 vs 76 ± 9 cells/visual field; p < 0.01, n = 6), the percentage of M2 macrophages was decreased (denervated vs intact: 31 ± 4 vs 57 ± 9%; p < 0.05, n = 5)]. It indicated that the vagus nerve may influence PF by enhancing fibrogenic factors and fibrogenic cells.

摘要

肺纤维化(PF)的进展涉及多类分子和细胞之间复杂的相互作用网络,这些与迷走神经密切相关。刺激迷走神经会增加人体中的促纤维化细胞因子,因此,该神经的激活可能会促进PF。通过比较单侧迷走神经切断术小鼠中有无迷走神经支配的肺组织中纤维化的程度和严重程度来验证这一假设。结果显示,在迷走神经切断的肺组织中,胶原染色减少,纤维化病灶(胸膜下、血管周围和支气管周围病变)不那么严重,肺泡结构破坏减少;胶原沉积减少(去神经支配组与完整组:COL1α1,19.1±2.2 vs 22.0±2.6 ng/mg蛋白质;COL1α2,4.5±0.3 vs 5.7±0.5 ng/mg蛋白质;p<0.01,n = 21)以及转化生长因子β和白细胞介素4的蛋白质水平降低;肌成纤维细胞浸润减少(去神经支配组与完整组:1.2±0.2 vs 3.2±0.6个细胞/视野;p<0.05,n = 6)和M2巨噬细胞减少[尽管巨噬细胞浸润增加(去神经支配组与完整组:112±8 vs 76±9个细胞/视野;p<0.01,n = 6),但M2巨噬细胞的百分比降低(去神经支配组与完整组:31±4 vs 57±9%;p<0.05,n = 5)]。这表明迷走神经可能通过增强促纤维化因子和促纤维化细胞来影响PF。

https://cdn.ncbi.nlm.nih.gov/pmc/blobs/5418/4542162/bac4daf19380/srep13419-f1.jpg

文献AI研究员

20分钟写一篇综述,助力文献阅读效率提升50倍。

立即体验

用中文搜PubMed

大模型驱动的PubMed中文搜索引擎

马上搜索

文档翻译

学术文献翻译模型,支持多种主流文档格式。

立即体验