• 文献检索
  • 文档翻译
  • 深度研究
  • 学术资讯
  • Suppr Zotero 插件Zotero 插件
  • 邀请有礼
  • 套餐&价格
  • 历史记录
应用&插件
Suppr Zotero 插件Zotero 插件浏览器插件Mac 客户端Windows 客户端微信小程序
定价
高级版会员购买积分包购买API积分包
服务
文献检索文档翻译深度研究API 文档MCP 服务
关于我们
关于 Suppr公司介绍联系我们用户协议隐私条款
关注我们

Suppr 超能文献

核心技术专利:CN118964589B侵权必究
粤ICP备2023148730 号-1Suppr @ 2026

文献检索

告别复杂PubMed语法,用中文像聊天一样搜索,搜遍4000万医学文献。AI智能推荐,让科研检索更轻松。

立即免费搜索

文件翻译

保留排版,准确专业,支持PDF/Word/PPT等文件格式,支持 12+语言互译。

免费翻译文档

深度研究

AI帮你快速写综述,25分钟生成高质量综述,智能提取关键信息,辅助科研写作。

立即免费体验

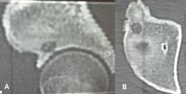
[Osteoid osteoma of the roof of the acetabulum: an exceptional location].

作者信息

Rhouni Fatima Zahra, Sasbou Youness

机构信息

Service d'Imagerie Médicale, Hôpital Militaire d'Instruction Mohammed V, Rabat, Maroc.

Service de Traumatologie-Orthopédie, Hôpital Militaire d'Instruction Mohammed V, Rabat, Maroc.

出版信息

Pan Afr Med J. 2015 Jun 17;21:134. doi: 10.11604/pamj.2015.21.134.7088. eCollection 2015.

DOI:10.11604/pamj.2015.21.134.7088
PMID:26327971
原文链接:https://pmc.ncbi.nlm.nih.gov/articles/PMC4546794/
Abstract
摘要
https://cdn.ncbi.nlm.nih.gov/pmc/blobs/b411/4546794/edc264c2755e/PAMJ-21-134-g001.jpg
https://cdn.ncbi.nlm.nih.gov/pmc/blobs/b411/4546794/edc264c2755e/PAMJ-21-134-g001.jpg
https://cdn.ncbi.nlm.nih.gov/pmc/blobs/b411/4546794/edc264c2755e/PAMJ-21-134-g001.jpg

相似文献

1
[Osteoid osteoma of the roof of the acetabulum: an exceptional location].髋臼顶部骨样骨瘤:一个特殊的部位
Pan Afr Med J. 2015 Jun 17;21:134. doi: 10.11604/pamj.2015.21.134.7088. eCollection 2015.
2
Acetabular osteoid osteoma excision by controlled hip dislocation: a case report.通过控制性髋关节脱位行髋臼骨样骨瘤切除术:一例报告
J Pediatr Orthop B. 2013 May;22(3):195-9. doi: 10.1097/BPB.0b013e32835f57fc.
3
Osteoid osteoma of the acetabular roof: a case report.髋臼顶骨样骨瘤:一例报告
J Med Case Rep. 2016 Aug 24;10(1):232. doi: 10.1186/s13256-016-1016-2.
4
Arthroscopic removal of an osteoid osteoma of the acetabulum.髋关节骨样骨瘤的关节镜切除术。
Knee Surg Sports Traumatol Arthrosc. 2011 Sep;19(9):1521-3. doi: 10.1007/s00167-011-1485-1. Epub 2011 Mar 29.
5
Intra-articular osteoid osteoma of the acetabulum in a 6 year old.一名6岁儿童髋臼内的关节内骨样骨瘤。
Orthopedics. 1997 Jul;20(7):654-5. doi: 10.3928/0147-7447-19970701-18.
6
Osteoid osteoma of the acetabulum. Three cases treated by percutaneous resection.髋臼骨样骨瘤。3例经皮切除术治疗。
Clin Orthop Relat Res. 1999 Aug(365):167-74.
7
Ectopic ossification associated with osteoid osteoma in the acetabulum. A case report.髋臼骨样骨瘤伴异位骨化。病例报告。
Clin Orthop Relat Res. 1994 Feb(299):209-11.
8
Osteoid osteoma of the trapezium: case report.大多角骨骨样骨瘤:病例报告
J Hand Surg Am. 2010 Apr;35(4):636-8. doi: 10.1016/j.jhsa.2009.12.032. Epub 2010 Feb 19.
9
Multicentric, multifocal, and recurrent osteoid osteoma of the hip: first case report.髋关节多中心、多灶性及复发性骨样骨瘤:首例病例报告。
BMC Musculoskelet Disord. 2019 Apr 16;20(1):171. doi: 10.1186/s12891-019-2552-x.
10
[Osteoid osteoma of the floor of the acetabulum in children. Apropos of a case].[儿童髋臼底部骨样骨瘤。附一例报告]
Rev Chir Orthop Reparatrice Appar Mot. 1986;72(7):501-4.