Young Jonathan B, Ghobrial Ibrahim I
Department of Medicine, UPMC McKeesport Hospital, McKeesport, PA, USA;
Department of Medicine, UPMC McKeesport Hospital, McKeesport, PA, USA.
J Community Hosp Intern Med Perspect. 2015 Sep 1;5(4):28374. doi: 10.3402/jchimp.v5.28374. eCollection 2015.
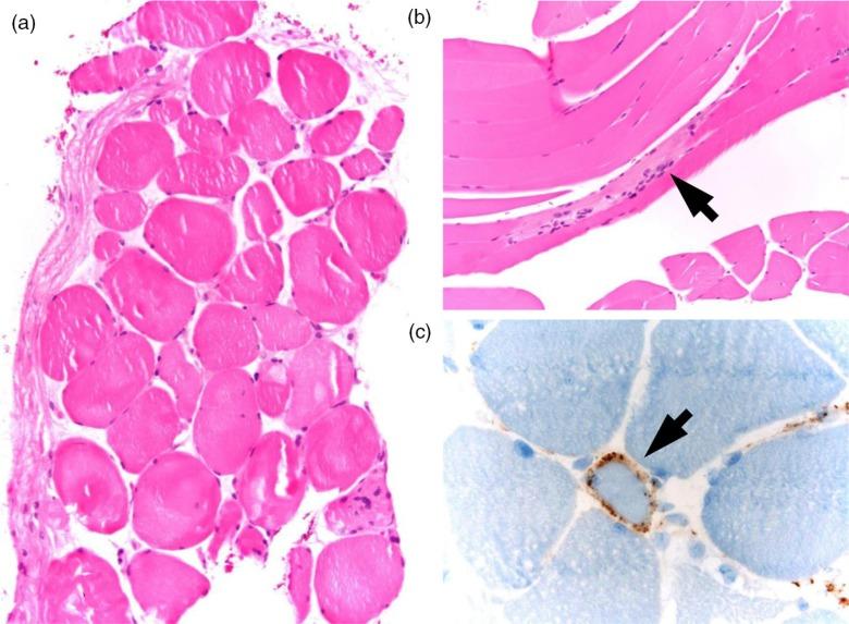
A 58-year-old woman with a history of statin use presented with a 4-month history of progressive weakness of both shoulders and thighs. Laboratory and electromyography testing confirmed the presence of generalized proximal myopathy and ruled out connective tissue disease, malignancy, or active viral infection. Muscle biopsy was consistent with necrotizing autoimmune myopathy.
一名有他汀类药物使用史的58岁女性,出现双肩和大腿进行性无力4个月。实验室检查和肌电图检查证实存在全身性近端肌病,并排除了结缔组织病、恶性肿瘤或活动性病毒感染。肌肉活检结果符合坏死性自身免疫性肌病。