• 文献检索
  • 文档翻译
  • 深度研究
  • 学术资讯
  • Suppr Zotero 插件Zotero 插件
  • 邀请有礼
  • 套餐&价格
  • 历史记录
应用&插件
Suppr Zotero 插件Zotero 插件浏览器插件Mac 客户端Windows 客户端微信小程序
定价
高级版会员购买积分包购买API积分包
服务
文献检索文档翻译深度研究API 文档MCP 服务
关于我们
关于 Suppr公司介绍联系我们用户协议隐私条款
关注我们

Suppr 超能文献

核心技术专利:CN118964589B侵权必究
粤ICP备2023148730 号-1Suppr @ 2026

文献检索

告别复杂PubMed语法,用中文像聊天一样搜索,搜遍4000万医学文献。AI智能推荐,让科研检索更轻松。

立即免费搜索

文件翻译

保留排版,准确专业,支持PDF/Word/PPT等文件格式,支持 12+语言互译。

免费翻译文档

深度研究

AI帮你快速写综述,25分钟生成高质量综述,智能提取关键信息,辅助科研写作。

立即免费体验

奥美拉唑起始治疗后表现为横纹肌溶解的多发性肌炎

Polymyositis Presenting as Rhabdomyolysis After the Initiation of Omeprazole.

作者信息

Jakubowski Jonathan K, Patel Rosemina, Buddharaju Venkata

机构信息

Internal Medicine, Chicago Medical School - Rosalind Franklin University of Medicine and Science, North Chicago, USA.

Nephrology, Chicago Medical School - Rosalind Franklin University of Medicine and Science, North Chicago, USA.

出版信息

Cureus. 2020 May 14;12(5):e8125. doi: 10.7759/cureus.8125.

DOI:10.7759/cureus.8125
PMID:32432010
原文链接:https://pmc.ncbi.nlm.nih.gov/articles/PMC7234030/
Abstract

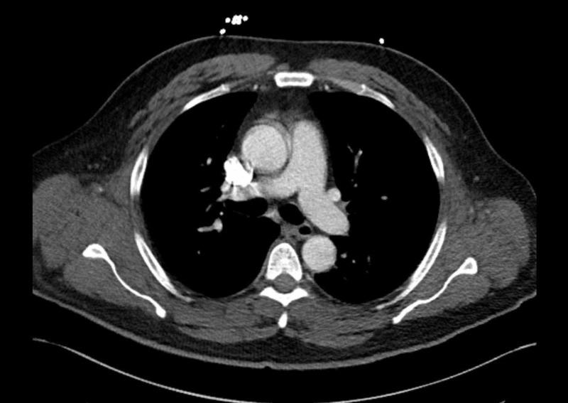
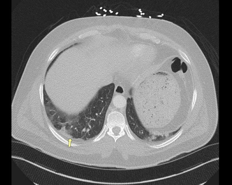
Rhabdomyolysis is a clinical syndrome with a wide range of presentations; it results in muscle necrosis and release of intracellular muscle contents into the circulation. Inflammatory myopathies are a rare cause of rhabdomyolysis. We present a case of a 46-year-old male with a two-week history of progressively worsening diffuse muscle pain after he had been prescribed omeprazole one month prior. A creatine phosphokinase (CPK) elevation was noted, which persisted despite treatment with IV fluids, sodium bicarbonate, and close correction of electrolytes. Further workup, including autoimmune and infectious etiologies, was notable for elevated antinuclear antibodies (ANA), erythrocyte sedimentation rate (ESR), and C-reactive protein (CRP). Furthermore, a muscle biopsy showed evidence of endomysial inflammatory cells, consistent with a diagnosis of polymyositis. Steroids were initiated with significant improvement in symptoms and a decrease in CPK levels. The patient was discharged on a tapering dose of steroids and, on follow-up with the rheumatologist, transitioned to methotrexate with control of symptoms. In patients with rhabdomyolysis who do not respond to first-line therapy, obtaining a detailed medication history and screening with ANA and ESR are encouraged. Given the link between medication and autoimmune disease, clinicians should consider autoimmune myopathy in the differential for cases with persistently elevated creatine kinase. Prompt diagnosis with early initiation of immunosuppressive medication may improve outcomes and avoid complications associated with untreated rhabdomyolysis or polymyositis.

摘要

横纹肌溶解症是一种临床表现多样的临床综合征;它会导致肌肉坏死,并使细胞内的肌肉成分释放到循环系统中。炎性肌病是横纹肌溶解症的罕见病因。我们报告一例46岁男性病例,该患者在一个月前服用奥美拉唑后,出现了为期两周的进行性加重的弥漫性肌肉疼痛。发现其肌酸磷酸激酶(CPK)升高,尽管给予静脉输液、碳酸氢钠治疗以及密切纠正电解质,该指标仍持续升高。进一步检查,包括自身免疫和感染性病因检查,结果显示抗核抗体(ANA)、红细胞沉降率(ESR)和C反应蛋白(CRP)升高。此外,肌肉活检显示存在肌内膜炎性细胞,符合多发性肌炎的诊断。开始使用类固醇治疗后,症状有显著改善,CPK水平下降。患者出院时服用逐渐减量的类固醇,在风湿科医生的随访中,转为使用甲氨蝶呤,症状得到控制。对于对一线治疗无反应的横纹肌溶解症患者,建议获取详细的用药史,并进行ANA和ESR筛查。鉴于药物与自身免疫性疾病之间的联系,临床医生在鉴别肌酸激酶持续升高的病例时应考虑自身免疫性肌病。早期启动免疫抑制药物进行快速诊断可能会改善预后,并避免与未治疗的横纹肌溶解症或多发性肌炎相关的并发症。

https://cdn.ncbi.nlm.nih.gov/pmc/blobs/0446/7234030/1c465272f40a/cureus-0012-00000008125-i04.jpg
https://cdn.ncbi.nlm.nih.gov/pmc/blobs/0446/7234030/601183b7186a/cureus-0012-00000008125-i01.jpg
https://cdn.ncbi.nlm.nih.gov/pmc/blobs/0446/7234030/cce17ced70a1/cureus-0012-00000008125-i02.jpg
https://cdn.ncbi.nlm.nih.gov/pmc/blobs/0446/7234030/0fca13dd85db/cureus-0012-00000008125-i03.jpg
https://cdn.ncbi.nlm.nih.gov/pmc/blobs/0446/7234030/1c465272f40a/cureus-0012-00000008125-i04.jpg
https://cdn.ncbi.nlm.nih.gov/pmc/blobs/0446/7234030/601183b7186a/cureus-0012-00000008125-i01.jpg
https://cdn.ncbi.nlm.nih.gov/pmc/blobs/0446/7234030/cce17ced70a1/cureus-0012-00000008125-i02.jpg
https://cdn.ncbi.nlm.nih.gov/pmc/blobs/0446/7234030/0fca13dd85db/cureus-0012-00000008125-i03.jpg
https://cdn.ncbi.nlm.nih.gov/pmc/blobs/0446/7234030/1c465272f40a/cureus-0012-00000008125-i04.jpg

相似文献

1
Polymyositis Presenting as Rhabdomyolysis After the Initiation of Omeprazole.奥美拉唑起始治疗后表现为横纹肌溶解的多发性肌炎
Cureus. 2020 May 14;12(5):e8125. doi: 10.7759/cureus.8125.
2
Myopathy including polymyositis: a likely class adverse effect of proton pump inhibitors?肌病,包括多发性肌炎:质子泵抑制剂可能的类别不良反应?
Eur J Clin Pharmacol. 2006 Jun;62(6):473-9. doi: 10.1007/s00228-006-0131-1. Epub 2006 Apr 22.
3
Severe Rhabdomyolysis without Systemic Involvement: A Rare Case of Idiopathic Eosinophilic Polymyositis.无全身累及的严重横纹肌溶解症:一例罕见的特发性嗜酸性粒细胞性多肌炎病例
Case Rep Rheumatol. 2015;2015:908109. doi: 10.1155/2015/908109. Epub 2015 Jul 1.
4
A Case of COVID-19-Triggered Polymyositis Leading to Rhabdomyolysis.一例由新型冠状病毒肺炎引发的多发性肌炎导致横纹肌溶解症的病例。
Cureus. 2024 Jul 10;16(7):e64267. doi: 10.7759/cureus.64267. eCollection 2024 Jul.
5
[Acute rhabdomyolysis: a case report and literature review].[急性横纹肌溶解症:一例病例报告及文献综述]
Acta Med Croatica. 2008 Jul;62(3):317-22.
6
Necrotizing Autoimmune myopathy: A case report on statin induced rhabdomyolysis requiring immunosuppressive therapy.坏死性自身免疫性肌病:一例关于他汀类药物诱导的横纹肌溶解症需免疫抑制治疗的病例报告。
Drug Discov Ther. 2018;12(5):315-317. doi: 10.5582/ddt.2018.01049.
7
Overflow proteinuria as a manifestation of unrecognized polymyositis.溢出性蛋白尿作为未被识别的多发性肌炎的一种表现。
Int Med Case Rep J. 2014 Apr 1;7:71-4. doi: 10.2147/IMCRJ.S60885. eCollection 2014.
8
Rhabdomyolysis-Associated Acute Kidney Injury With Normal Creatine Phosphokinase.肌酸磷酸激酶正常的横纹肌溶解症相关急性肾损伤
Am J Med Sci. 2018 Jan;355(1):84-87. doi: 10.1016/j.amjms.2017.04.014. Epub 2017 Apr 24.
9
Acute heart failure and rhabdomyolysis: a clue for the diagnosis of polymyositis with cardiac involvement.急性心力衰竭与横纹肌溶解:提示伴心脏受累的多发性肌炎的诊断线索。
Reumatismo. 2017 Aug 3;69(2):78-83. doi: 10.4081/reumatismo.2017.924.
10
A Complex Case of Polymyositis Overlapping With Hypothyroid Myopathy Without Underlying Autoimmune Thyroid Disorder.一例重叠甲状腺功能减退性肌病但无潜在自身免疫性甲状腺疾病的多发性肌炎复杂病例。
Cureus. 2020 Jun 15;12(6):e8629. doi: 10.7759/cureus.8629.

引用本文的文献

1
Dermatomyositis, Rhabdomyolysis, and Statin-Induced Myopathy: A Case Report Illustrating the Spectrum of Myopathy.皮肌炎、横纹肌溶解症与他汀类药物所致肌病:一则说明肌病谱的病例报告
Cureus. 2025 May 26;17(5):e84854. doi: 10.7759/cureus.84854. eCollection 2025 May.
2
Omeprazole was safely reused in a rhabdomyolysis patient associated with proton pump inhibitors: A case report.奥美拉唑在一名与质子泵抑制剂相关的横纹肌溶解症患者中安全复用:一例报告。
Clin Case Rep. 2023 Nov 15;11(11):e8189. doi: 10.1002/ccr3.8189. eCollection 2023 Nov.
3
Proton pump inhibitors display anti-tumour potential in glioma.

本文引用的文献

1
Recurrent episodic myoglobinuric acute kidney injury as presenting manifestation of idiopathic polymyositis.复发性发作性肌红蛋白尿性急性肾损伤作为特发性多肌炎的表现形式
Saudi J Kidney Dis Transpl. 2018 Jan-Feb;29(1):210-213. doi: 10.4103/1319-2442.225181.
2
2017 European League Against Rheumatism/American College of Rheumatology classification criteria for adult and juvenile idiopathic inflammatory myopathies and their major subgroups.2017年欧洲抗风湿病联盟/美国风湿病学会成人及青少年特发性炎性肌病及其主要亚组的分类标准。
Ann Rheum Dis. 2017 Dec;76(12):1955-1964. doi: 10.1136/annrheumdis-2017-211468. Epub 2017 Oct 27.
3
质子泵抑制剂在神经胶质瘤中显示出抗肿瘤潜力。
Cell Prolif. 2023 Jul;56(7):e13321. doi: 10.1111/cpr.13321. Epub 2022 Aug 12.
4
Bone Scan in Identification, Assessment of Initial Extent and Response to Therapy in Polymyositis.骨扫描在多发性肌炎的识别、初始范围评估及治疗反应中的应用
Asia Ocean J Nucl Med Biol. 2022 Winter;10(1):64-67. doi: 10.22038/AOJNMB.2021.57818.1403.
Atorvastatin-induced necrotizing autoimmune myositis: An emerging dominant entity in patients with autoimmune myositis presenting with a pure polymyositis phenotype.
阿托伐他汀诱导的坏死性自身免疫性肌炎:在表现为单纯多发性肌炎表型的自身免疫性肌炎患者中一种新出现的主要病症。
Medicine (Baltimore). 2017 Jan;96(3):e5694. doi: 10.1097/MD.0000000000005694.
4
Decreased Activity and Genetic Polymorphisms of CYP2C19 in Behçet's Disease.白塞病中CYP2C19活性降低及基因多态性
Basic Clin Pharmacol Toxicol. 2017 Oct;121(4):266-271. doi: 10.1111/bcpt.12710.
5
Proton Pump Inhibitors and Risk of Rhabdomyolysis.质子泵抑制剂与横纹肌溶解症风险
Drug Saf. 2017 Jan;40(1):61-64. doi: 10.1007/s40264-016-0473-2.
6
Autoimmune statin-induced myopathy: a case report.自身免疫性他汀类药物诱发的肌病:一例报告。
J Community Hosp Intern Med Perspect. 2015 Sep 1;5(4):28374. doi: 10.3402/jchimp.v5.28374. eCollection 2015.
7
[Case of dermatomyositis with anti-CADM-140 antibody and alveolar hemorrhage].[抗CADM-140抗体相关皮肌炎合并肺泡出血病例]
Rinsho Shinkeigaku. 2014;54(5):408-12. doi: 10.5692/clinicalneurol.54.408.
8
Statin-associated polymyositis following omeprazole treatment.奥美拉唑治疗后出现的他汀类药物相关性多发性肌炎。
Clin Med Res. 2013 Jun;11(2):91-5. doi: 10.3121/cmr.2012.1110. Epub 2013 Apr 11.
9
Diffuse alveolar damage in patients with dermatomyositis: a six-case series.皮肌炎患者的弥漫性肺泡损伤:六例系列报告。
Mod Rheumatol. 2012 Apr;22(2):243-8. doi: 10.1007/s10165-011-0502-z. Epub 2011 Sep 9.
10
A first case report of a patient with paraneoplastic dermatomyositis developing diffuse alveolar haemorrhage.一名伴副肿瘤性皮肌炎的患者发生弥漫性肺泡出血的首例病例报告。
Br J Dermatol. 2010 Jul;163(1):227-8. doi: 10.1111/j.1365-2133.2010.09800.x. Epub 2010 Apr 12.