• 文献检索
  • 文档翻译
  • 深度研究
  • 学术资讯
  • Suppr Zotero 插件Zotero 插件
  • 邀请有礼
  • 套餐&价格
  • 历史记录
应用&插件
Suppr Zotero 插件Zotero 插件浏览器插件Mac 客户端Windows 客户端微信小程序
定价
高级版会员购买积分包购买API积分包
服务
文献检索文档翻译深度研究API 文档MCP 服务
关于我们
关于 Suppr公司介绍联系我们用户协议隐私条款
关注我们

Suppr 超能文献

核心技术专利:CN118964589B侵权必究
粤ICP备2023148730 号-1Suppr @ 2026

文献检索

告别复杂PubMed语法,用中文像聊天一样搜索,搜遍4000万医学文献。AI智能推荐,让科研检索更轻松。

立即免费搜索

文件翻译

保留排版,准确专业,支持PDF/Word/PPT等文件格式,支持 12+语言互译。

免费翻译文档

深度研究

AI帮你快速写综述,25分钟生成高质量综述,智能提取关键信息,辅助科研写作。

立即免费体验

埃及血吸虫DNA的等温重组酶聚合酶扩增(RPA)及寡色层析侧向流动检测

Isothermal Recombinase Polymerase amplification (RPA) of Schistosoma haematobium DNA and oligochromatographic lateral flow detection.

作者信息

Rosser A, Rollinson D, Forrest M, Webster B L

机构信息

Faculty of Infectious and Tropical Diseases, London School of Hygiene and Tropical Medicine, London, UK.

Department of Life Sciences, Natural History Museum, London, UK.

出版信息

Parasit Vectors. 2015 Sep 4;8:446. doi: 10.1186/s13071-015-1055-3.

DOI:10.1186/s13071-015-1055-3
PMID:26338510
原文链接:https://pmc.ncbi.nlm.nih.gov/articles/PMC4559068/
Abstract

BACKGROUND

Accurate diagnosis of urogenital schistosomiasis is vital for surveillance/control programs. Amplification of schistosome DNA in urine by PCR is sensitive and specific but requires infrastructure, financial resources and skilled personnel, often not available in endemic areas. Recombinase Polymerase Amplification (RPA) is an isothermal DNA amplification/detection technology that is simple, rapid, portable and needs few resources.

FINDINGS

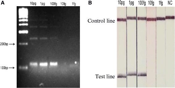
Here a Schistosoma haematobium RPA assay was developed and adapted so that DNA amplicons could be detected using oligochromatographic Lateral Flow (LF) strips. The assay successfully amplified S. haematobium DNA at 30-45 °C in 10 mins and was sensitive to a lower limit of 100 fg of DNA. The assay was also successful with the addition of crude urine, up to 5% of the total reaction volume. Cross amplification occurred with other schistosome species but not with other common urine microorganisms.

CONCLUSION

The LF-RPA assay developed here can amplify and detect low levels of S. haematobium DNA. Reactions are rapid, require low temperatures and positive reactions are interpreted using lateral flow strips, reducing the need for infrastructure and resources. This together with an ability to withstand inhibitors within urine makes RPA a promising technology for further development as a molecular diagnostic tool for urogenital schistosomiasis.

摘要

背景

准确诊断泌尿生殖系统血吸虫病对监测/控制项目至关重要。通过聚合酶链反应(PCR)扩增尿液中的血吸虫DNA具有敏感性和特异性,但需要基础设施、资金和技术人员,而这些在流行地区往往难以获得。重组酶聚合酶扩增(RPA)是一种等温DNA扩增/检测技术,操作简单、快速、便携,且所需资源较少。

研究结果

在此开发并改进了一种埃及血吸虫RPA检测方法,以便能够使用寡色层析侧向流动(LF)试纸条检测DNA扩增子。该检测方法在30-45°C下10分钟内成功扩增了埃及血吸虫DNA,对低至100 fg的DNA敏感。在加入粗尿液(占总反应体积的5%)的情况下,该检测方法也取得了成功。其他血吸虫物种会出现交叉扩增,但其他常见尿液微生物则不会。

结论

此处开发的LF-RPA检测方法能够扩增并检测低水平的埃及血吸虫DNA。反应快速,所需温度低,阳性反应通过侧向流动试纸条判读,减少了对基础设施和资源的需求。再加上能够耐受尿液中的抑制剂,RPA作为泌尿生殖系统血吸虫病分子诊断工具具有进一步开发的潜力。

https://cdn.ncbi.nlm.nih.gov/pmc/blobs/5d97/4559068/a42a99af0b14/13071_2015_1055_Fig2_HTML.jpg
https://cdn.ncbi.nlm.nih.gov/pmc/blobs/5d97/4559068/a46890162455/13071_2015_1055_Fig1_HTML.jpg
https://cdn.ncbi.nlm.nih.gov/pmc/blobs/5d97/4559068/a42a99af0b14/13071_2015_1055_Fig2_HTML.jpg
https://cdn.ncbi.nlm.nih.gov/pmc/blobs/5d97/4559068/a46890162455/13071_2015_1055_Fig1_HTML.jpg
https://cdn.ncbi.nlm.nih.gov/pmc/blobs/5d97/4559068/a42a99af0b14/13071_2015_1055_Fig2_HTML.jpg

相似文献

1
Isothermal Recombinase Polymerase amplification (RPA) of Schistosoma haematobium DNA and oligochromatographic lateral flow detection.埃及血吸虫DNA的等温重组酶聚合酶扩增(RPA)及寡色层析侧向流动检测
Parasit Vectors. 2015 Sep 4;8:446. doi: 10.1186/s13071-015-1055-3.
2
Evaluation of a real-time recombinase polymerase amplification assay for rapid detection of Schistosoma haematobium infection in resource-limited setting.评价一种实时重组酶聚合酶扩增检测法在资源有限环境下快速检测埃及血吸虫感染的效果。
Acta Trop. 2021 Apr;216:105847. doi: 10.1016/j.actatropica.2021.105847. Epub 2021 Jan 23.
3
Refining the Schistosoma haematobium recombinase polymerase amplification (Sh-RPA) assay: moving towards point-of-care use in endemic settings.优化曼氏血吸虫重组酶聚合酶扩增(Sh-RPA)检测法:向流行地区的即时检测方向发展。
Parasit Vectors. 2024 Jul 28;17(1):321. doi: 10.1186/s13071-024-06380-9.
4
Development of a recombinase polymerase amplification (RPA) fluorescence assay for the detection of Schistosoma haematobium.建立一种重组酶聚合酶扩增(RPA)荧光检测法用于检测埃及血吸虫。
Parasit Vectors. 2019 Nov 4;12(1):514. doi: 10.1186/s13071-019-3755-6.
5
Analytical and Clinical Assessment of a Portable, Isothermal Recombinase Polymerase Amplification (RPA) Assay for the Molecular Diagnosis of Urogenital Schistosomiasis.经尿道前列腺等离子剜除术与电切术治疗良性前列腺增生的临床疗效对比
Molecules. 2020 Sep 11;25(18):4175. doi: 10.3390/molecules25184175.
6
Validation of the isothermal Schistosoma haematobium Recombinase Polymerase Amplification (RPA) assay, coupled with simplified sample preparation, for diagnosing female genital schistosomiasis using cervicovaginal lavage and vaginal self-swab samples.验证等温 Schistosoma haematobium 重组酶聚合酶扩增(RPA)检测法,结合简化的样本制备方法,用于通过宫颈阴道灌洗和阴道自我拭子样本诊断女性生殖道血吸虫病。
PLoS Negl Trop Dis. 2022 Mar 14;16(3):e0010276. doi: 10.1371/journal.pntd.0010276. eCollection 2022 Mar.
7
Development of a lateral flow recombinase polymerase assay for the diagnosis of Schistosoma mansoni infections.用于诊断曼氏血吸虫感染的侧向流动重组酶聚合酶检测法的开发。
Anal Biochem. 2018 Apr 1;546:65-71. doi: 10.1016/j.ab.2018.01.031. Epub 2018 Feb 7.
8
Recombinase polymerase amplification combined with a lateral flow dipstick for rapid and visual detection of Schistosoma japonicum.重组酶聚合酶扩增结合侧流试纸条用于日本血吸虫的快速可视化检测
Parasit Vectors. 2016 Aug 31;9(1):476. doi: 10.1186/s13071-016-1745-5.
9
Point of care diagnosis of multiple schistosome parasites: Species-specific DNA detection in urine by loop-mediated isothermal amplification (LAMP).多种血吸虫寄生虫的即时诊断:通过环介导等温扩增技术(LAMP)对尿液中的物种特异性DNA进行检测。
Acta Trop. 2017 Sep;173:125-129. doi: 10.1016/j.actatropica.2017.06.015. Epub 2017 Jun 12.
10
The Rapid-Heat LAMPellet Method: A Potential Diagnostic Method for Human Urogenital Schistosomiasis.快速热灯芯法:一种用于人类泌尿生殖系统血吸虫病的潜在诊断方法。
PLoS Negl Trop Dis. 2015 Jul 31;9(7):e0003963. doi: 10.1371/journal.pntd.0003963. eCollection 2015.

引用本文的文献

1
Advances in the recombinase polymerase amplification platform for urogenital schistosomiasis diagnosis (ShDraI-RPA) towards implementation at the point-of-care.用于泌尿生殖系统血吸虫病诊断的重组酶聚合酶扩增平台(ShDraI-RPA)在即时检测方面的进展。
Sci Rep. 2025 Apr 19;15(1):13590. doi: 10.1038/s41598-025-95887-x.
2
The research contribution of the Schistosomiasis Collection at the Natural History Museum (SCAN): highlights, challenges and future directions.自然历史博物馆血吸虫病藏品(SCAN)的研究贡献:亮点、挑战与未来方向
Infect Dis Poverty. 2025 Apr 18;14(1):29. doi: 10.1186/s40249-025-01302-y.
3
Recombinase-based amplification coupled with lateral flow chromatography for the specific and sensitive detection and identification of in cutaneous leishmaniasis patients.

本文引用的文献

1
Classification of the lesions observed in female genital schistosomiasis.女性生殖器血吸虫病中观察到的病变分类。
Int J Gynaecol Obstet. 2014 Dec;127(3):227-8. doi: 10.1016/j.ijgo.2014.07.014. Epub 2014 Aug 13.
2
Diagnostics for schistosomiasis in Africa and Arabia: a review of present options in control and future needs for elimination.非洲和阿拉伯地区血吸虫病的诊断:当前控制选项及消除该病未来需求的综述
Parasitology. 2014 Dec;141(14):1947-61. doi: 10.1017/S0031182014001152. Epub 2014 Aug 27.
3
Schistosoma haematobium detection in snails by DraI PCR and Sh110/Sm-Sl PCR: further evidence of the interruption of schistosomiasis transmission in Morocco.
基于重组酶的扩增技术结合侧向流动层析法用于皮肤利什曼病患者的特异性灵敏检测与鉴定
Front Microbiol. 2025 Jan 27;15:1514684. doi: 10.3389/fmicb.2024.1514684. eCollection 2024.
4
Diagnosis of Human Trematode Infections.人体吸虫感染的诊断。
Adv Exp Med Biol. 2024;1454:541-582. doi: 10.1007/978-3-031-60121-7_14.
5
Zipime-Weka-Schista study protocol: a longitudinal cohort study and economic evaluation of an integrated home-based approach for genital multipathogen screening in women, including female genital schistosomiasis, human papillomavirus, Trichomonas and HIV in Zambia.Zipime-Weka-Schista 研究方案:赞比亚一项基于家庭的女性生殖道多病原体综合筛查方法的纵向队列研究和经济评价,包括女性生殖道血吸虫病、人乳头瘤病毒、滴虫和艾滋病毒。
BMJ Open. 2024 Jun 10;14(6):e080395. doi: 10.1136/bmjopen-2023-080395.
6
Detection of pathogenic Leptospira with rapid extraction followed by recombinase polymerase amplification (RPA) and quantitative polymerase chain reaction (qPCR) assay-A comprehensive study from Sri Lanka.应用快速提取联合重组酶聚合酶扩增(RPA)和实时荧光定量聚合酶链反应(qPCR)检测法检测致病性钩端螺旋体:来自斯里兰卡的一项综合研究。
PLoS One. 2024 Mar 15;19(3):e0295287. doi: 10.1371/journal.pone.0295287. eCollection 2024.
7
Rapid visual nucleic acid detection of Vibrio alginolyticus by recombinase polymerase amplification combined with CRISPR/Cas13a.基于重组酶聚合酶扩增联合 CRISPR/Cas13a 的创伤弧菌快速可视化核酸检测
World J Microbiol Biotechnol. 2023 Dec 26;40(2):51. doi: 10.1007/s11274-023-03847-2.
8
Unlocking the molecular realm: advanced approaches for identifying clinically and environmentally relevant bacteria.解锁分子领域:鉴定临床和环境相关细菌的先进方法。
Braz J Med Biol Res. 2023 Oct 13;56:e12894. doi: 10.1590/1414-431X2023e12894. eCollection 2023.
9
Diagnostic Efficacy of Plasma-Based Real-Time PCR for Schistosomiasis Japonica in Mice before and after Treatment with Praziquantel.吡喹酮治疗前后基于血浆的实时PCR对日本血吸虫病小鼠的诊断效能
Animals (Basel). 2023 Sep 29;13(19):3068. doi: 10.3390/ani13193068.
10
CRISPR/Cas12a-based approaches for efficient and accurate detection of .基于 CRISPR/Cas12a 的方法用于高效准确地检测 。
Front Cell Infect Microbiol. 2023 Jun 27;13:1218105. doi: 10.3389/fcimb.2023.1218105. eCollection 2023.
通过DraI聚合酶链反应和Sh110/Sm-Sl聚合酶链反应检测蜗牛体内的埃及血吸虫:摩洛哥血吸虫病传播阻断的进一步证据
Parasit Vectors. 2014 Jun 24;7:288. doi: 10.1186/1756-3305-7-288.
4
Development of a recombinase polymerase amplification assay for the detection of pathogenic Leptospira.建立一种用于检测致病性钩端螺旋体的重组酶聚合酶扩增检测方法。
Int J Environ Res Public Health. 2014 May 8;11(5):4953-64. doi: 10.3390/ijerph110504953.
5
Differentiating Schistosoma haematobium from Schistosoma magrebowiei and other closely related schistosomes by polymerase chain reaction amplification of a species specific mitochondrial gene.通过对物种特异性线粒体基因进行聚合酶链反应扩增,区分埃及血吸虫与马格里布血吸虫及其他密切相关的血吸虫。
Trop Parasitol. 2014 Jan;4(1):38-42. doi: 10.4103/2229-5070.129163.
6
Diagnostic performance of Schistosoma real-time PCR in urine samples from Kenyan children infected with Schistosoma haematobium: day-to-day variation and follow-up after praziquantel treatment.肯尼亚感染曼氏血吸虫的儿童尿液样本中实时 PCR 检测的诊断性能:日常变化及吡喹酮治疗后的随访。
PLoS Negl Trop Dis. 2014 Apr 17;8(4):e2807. doi: 10.1371/journal.pntd.0002807. eCollection 2014 Apr.
7
Field evaluation of a new antibody-based diagnostic for Schistosoma haematobium and S. mansoni at the point-of-care in northeast Zimbabwe.津巴布韦东北部现场评估新型抗体诊断试剂盒在即时护理点检测曼氏血吸虫和埃及血吸虫的效果。
BMC Infect Dis. 2014 Mar 26;14:165. doi: 10.1186/1471-2334-14-165.
8
Detection of parasite-specific DNA in urine sediment obtained by filtration differentiates between single and mixed infections of Schistosoma mansoni and S. haematobium from endemic areas in Ghana.通过过滤获得的尿沉渣中寄生虫特异性DNA的检测可区分来自加纳流行地区的曼氏血吸虫和埃及血吸虫的单一感染与混合感染。
PLoS One. 2014 Mar 14;9(3):e91144. doi: 10.1371/journal.pone.0091144. eCollection 2014.
9
Rapid detection of Plasmodium falciparum with isothermal recombinase polymerase amplification and lateral flow analysis.应用等温重组酶聚合酶扩增和侧流分析技术快速检测恶性疟原虫。
Malar J. 2014 Mar 15;13:99. doi: 10.1186/1475-2875-13-99.
10
Rapid molecular assays for the detection of yellow fever virus in low-resource settings.在资源有限的环境中快速检测黄热病病毒的分子检测方法。
PLoS Negl Trop Dis. 2014 Mar 6;8(3):e2730. doi: 10.1371/journal.pntd.0002730. eCollection 2014 Mar.