Suppr超能文献

转移性纤维板层型肝细胞癌累及胰腺

Metastatic Fibrolamellar Hepatocellular Carcinoma to the Pancreas.

作者信息

Villa Nicolas A, Pannala Rahul, Faigel Douglas O, Haakinson Danielle J, Katariya Nitin, Ramanathan Ramesh, Jaroszewski Dawn, Lidner Thomas K, Byrne Thomas

机构信息

Division of Gastroenterology and Hepatology, Scottsdale, Ariz., USA.

Department of General Surgery, Mayo Clinic Arizona, Scottsdale, Ariz., USA.

出版信息

Case Rep Gastroenterol. 2015 Jul 29;9(2):266-71. doi: 10.1159/000437290. eCollection 2015 May-Aug.

Abstract

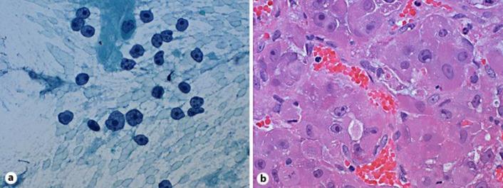
Fibrolamellar hepatocellular carcinoma (FL-HCC) is a rare variant of hepatocellular carcinoma, usually presenting in the younger population (<40 years) without underlying liver disease. Although it has a better prognosis than hepatocellular carcinoma, it has a high rate of recurrence months to years after primary resection. While sites of recurrence usually involve the liver, regional lymph nodes, peritoneum, and lung, metastasis to the pancreas is extremely rare, with only 2 other cases reported in the literature. We present the case of a 46-year-old patient with metastatic FL-HCC to the pancreas 30 years after diagnosis and 26 years since his last resected liver recurrence.

摘要

纤维板层型肝细胞癌(FL-HCC)是肝细胞癌的一种罕见变异类型,通常发生于较年轻人群(<40岁),且无潜在肝脏疾病。尽管其预后比肝细胞癌好,但在初次切除后数月至数年有较高的复发率。复发部位通常累及肝脏、区域淋巴结、腹膜和肺,转移至胰腺极为罕见,文献中仅报道过另外2例。我们报告1例46岁患者,其在确诊30年后及上次肝脏复发切除26年后发生了FL-HCC胰腺转移。

https://cdn.ncbi.nlm.nih.gov/pmc/blobs/9d61/4560303/6afb2743d3ef/crg-0009-0266-g01.jpg

文献AI研究员

20分钟写一篇综述,助力文献阅读效率提升50倍。

立即体验

用中文搜PubMed

大模型驱动的PubMed中文搜索引擎

马上搜索

文档翻译

学术文献翻译模型,支持多种主流文档格式。

立即体验