Suppr超能文献

伴有听力损失的脑桥出血的长期随访

A Long-Term Follow-up of Pontine Hemorrhage With Hearing Loss.

作者信息

Kim Seung Ki, Kim Ae Ryoung, Kim Joon Yeop, Kim Deog Young

机构信息

Department of Rehabilitation Medicine and Research Institute of Rehabilitation Medicine, Yonsei University College of Medicine, Seoul, Korea.

出版信息

Ann Rehabil Med. 2015 Aug;39(4):634-9. doi: 10.5535/arm.2015.39.4.634. Epub 2015 Aug 25.

Abstract

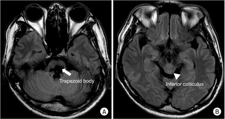
A pontine intracranial hemorrhage (ICH) evokes several neurological symptoms, due to the various nuclei and nerve fibers; however, hearing loss from a pontine ICH is rare. We have experienced a non-traumatic pontine ICH patient, with hearing loss. A 43-year-old male patient had a massive pontine hemorrhage; his brain magnetic resonance imaging revealed the hemorrhage on the bilateral dorsal pons, with the involvement of the trapezoid body. Also, profound hearing loss on the pure-tone audiogram and abnormal brainstem auditory evoked potential were noticed. Fifty-two months of long-term follow-up did not reveal any definite improvement on the patient's hearing ability.

摘要

桥脑出血(ICH)由于各种神经核团和神经纤维会引发多种神经症状;然而,桥脑出血导致的听力丧失较为罕见。我们遇到过一名非创伤性桥脑出血患者伴有听力丧失。一名43岁男性患者发生了大量桥脑出血;他的脑部磁共振成像显示双侧脑桥背侧出血,累及梯形体。此外,纯音听力图显示重度听力丧失,脑干听觉诱发电位异常。52个月的长期随访未发现该患者听力能力有任何明显改善。

https://cdn.ncbi.nlm.nih.gov/pmc/blobs/97fd/4564713/68686cb331bb/arm-39-634-g001.jpg

文献AI研究员

20分钟写一篇综述,助力文献阅读效率提升50倍。

立即体验

用中文搜PubMed

大模型驱动的PubMed中文搜索引擎

马上搜索

文档翻译

学术文献翻译模型,支持多种主流文档格式。

立即体验